Demonstrating persistence of foot-and-mouth disease virus in African buffalo (Syncerus caffer) using BaseScope™ in situ hybridisation.

IF 2 3区 农林科学 Q2 VETERINARY SCIENCES
Alischa Henning, Lieza Odendaal, Angelika Loots, Melvyn Quan
{"title":"Demonstrating persistence of foot-and-mouth disease virus in African buffalo (Syncerus caffer) using BaseScope™ in situ hybridisation.","authors":"Alischa Henning, Lieza Odendaal, Angelika Loots, Melvyn Quan","doi":"10.1007/s11259-025-10898-3","DOIUrl":null,"url":null,"abstract":"<p><p>BaseScope™ in situ hybridisation (Advanced Cell Diagnostics, USA) was used to detect foot-and-mouth disease virus (FMDV), species Aphthovirus vesiculae, in formalin-fixed paraffin-embedded tissues from African buffalo (Syncerus caffer, n = 15) culled from the Kruger National Park - where the South African territories (SAT)-1, -2 and - 3 serotypes are endemic - as part of their population management program. Foot-and-mouth disease viral RNA was consistently detected in the palatine tonsils and lungs, demonstrating these as primary sites of viral persistence. Detection in the retropharyngeal lymph nodes and interdigital skin was less frequent, while oropharyngeal tissue showed rare positivity. Other sampled tissues - including the tip of the ear, eyelid, tongue, lip, and coronary band - proved suboptimal for identifying FMDV-positive buffalo or carriers. These findings highlight the value of BaseScope™ for detecting low viral loads of FMDV in persistently infected African buffalo, with a notable predilection for the palatine tonsils and lungs.</p>","PeriodicalId":23690,"journal":{"name":"Veterinary Research Communications","volume":"49 6","pages":"324"},"PeriodicalIF":2.0000,"publicationDate":"2025-09-23","publicationTypes":"Journal Article","fieldsOfStudy":null,"isOpenAccess":false,"openAccessPdf":"https://www.ncbi.nlm.nih.gov/pmc/articles/PMC12457507/pdf/","citationCount":"0","resultStr":null,"platform":"Semanticscholar","paperid":null,"PeriodicalName":"Veterinary Research Communications","FirstCategoryId":"97","ListUrlMain":"https://doi.org/10.1007/s11259-025-10898-3","RegionNum":3,"RegionCategory":"农林科学","ArticlePicture":[],"TitleCN":null,"AbstractTextCN":null,"PMCID":null,"EPubDate":"","PubModel":"","JCR":"Q2","JCRName":"VETERINARY SCIENCES","Score":null,"Total":0}
引用次数: 0

Abstract

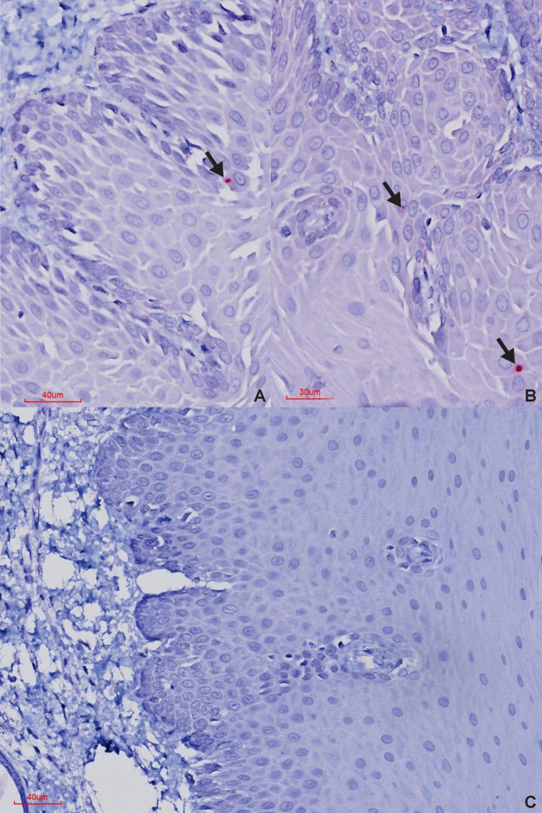
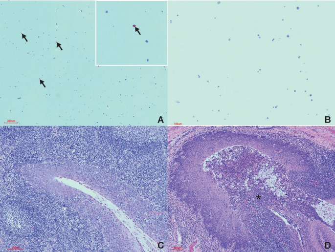
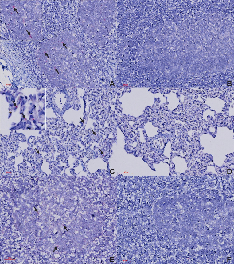
BaseScope™ in situ hybridisation (Advanced Cell Diagnostics, USA) was used to detect foot-and-mouth disease virus (FMDV), species Aphthovirus vesiculae, in formalin-fixed paraffin-embedded tissues from African buffalo (Syncerus caffer, n = 15) culled from the Kruger National Park - where the South African territories (SAT)-1, -2 and - 3 serotypes are endemic - as part of their population management program. Foot-and-mouth disease viral RNA was consistently detected in the palatine tonsils and lungs, demonstrating these as primary sites of viral persistence. Detection in the retropharyngeal lymph nodes and interdigital skin was less frequent, while oropharyngeal tissue showed rare positivity. Other sampled tissues - including the tip of the ear, eyelid, tongue, lip, and coronary band - proved suboptimal for identifying FMDV-positive buffalo or carriers. These findings highlight the value of BaseScope™ for detecting low viral loads of FMDV in persistently infected African buffalo, with a notable predilection for the palatine tonsils and lungs.

Abstract Image

Abstract Image

Abstract Image

利用BaseScope™原位杂交技术证明非洲水牛(Syncerus caffer)中口蹄疫病毒的持久性。
BaseScope™原位杂交技术(美国先进细胞诊断公司)用于检测从克鲁格国家公园(南非领土(SAT)-1、-2和- 3血清型流行的地方)采集的非洲水牛(Syncerus caffer, n = 15)的福尔马林固定石蜡包埋组织中发现的口蹄疫病毒(FMDV),即水疱型Aphthovirus vesiculae,作为其种群管理计划的一部分。在腭扁桃体和肺部持续检测到口蹄疫病毒RNA,表明这些是病毒持续存在的主要部位。在咽后淋巴结和指间皮肤的检测较少,而口咽组织显示罕见的阳性。其他取样组织——包括耳尖、眼睑、舌头、嘴唇和冠状动脉带——被证明不是确定口蹄疫阳性水牛或携带者的最佳方法。这些发现突出了BaseScope™在持续感染的非洲水牛中检测低病毒载量FMDV的价值,特别是对腭扁桃体和肺部的显著偏爱。
本文章由计算机程序翻译,如有差异,请以英文原文为准。
求助全文
约1分钟内获得全文 求助全文
来源期刊
Veterinary Research Communications
Veterinary Research Communications 农林科学-兽医学
CiteScore
2.50
自引率
0.00%
发文量
173
审稿时长
3 months
期刊介绍: Veterinary Research Communications publishes fully refereed research articles and topical reviews on all aspects of the veterinary sciences. Interdisciplinary articles are particularly encouraged, as are well argued reviews, even if they are somewhat controversial. The journal is an appropriate medium in which to publish new methods, newly described diseases and new pathological findings, as these are applied to animals. The material should be of international rather than local interest. As it deliberately seeks a wide coverage, Veterinary Research Communications provides its readers with a means of keeping abreast of current developments in the entire field of veterinary science.
×
引用
GB/T 7714-2015
复制
MLA
复制
APA
复制
导出至
BibTeX EndNote RefMan NoteFirst NoteExpress
×
提示
您的信息不完整,为了账户安全,请先补充。
现在去补充
×
提示
您因"违规操作"
具体请查看互助需知
我知道了
×
提示
确定
请完成安全验证×
copy
已复制链接
快去分享给好友吧!
我知道了
右上角分享
点击右上角分享
0
联系我们:info@booksci.cn Book学术提供免费学术资源搜索服务,方便国内外学者检索中英文文献。致力于提供最便捷和优质的服务体验。 Copyright © 2023 布克学术 All rights reserved.
京ICP备2023020795号-1
ghs 京公网安备 11010802042870号
Book学术文献互助
Book学术文献互助群
群 号:604180095
Book学术官方微信