Radial head subluxation in a chondrodystrophic cat: aetiology, surgical treatment and outcome.

IF 0.7 Q3 VETERINARY SCIENCES
Journal of Feline Medicine and Surgery Open Reports Pub Date : 2025-09-19 eCollection Date: 2025-07-01 DOI:10.1177/20551169251366438
Katharina Lunde, Sorrel J Langley-Hobbs
{"title":"Radial head subluxation in a chondrodystrophic cat: aetiology, surgical treatment and outcome.","authors":"Katharina Lunde, Sorrel J Langley-Hobbs","doi":"10.1177/20551169251366438","DOIUrl":null,"url":null,"abstract":"<p><strong>Case summary: </strong>A 10-month-old male neutered Dwelf cat with bilateral thoracic angular limb deformity secondary to chondrodystrophism presented with an acute onset of left thoracic lameness due to elbow subluxation and radial head displacement. Financial restrictions limited treatment to a single surgical procedure consisting of a left ulnar osteotomy, radioulnar polypropylene toggle placement and two temporary radioulnar transosseous K-wires. The lameness resolved but a degree of radial head subluxation persisted, radiographically similar in degree to the contralateral limb.</p><p><strong>Relevance and novel information: </strong>Chondrodystrophism is not common in cats. Inbreeding and chondrodystrophism is likely to result in the diagnosis of musculoskeletal diseases that have not previously been reported in this species. To the authors' knowledge, this is the first case report of a developmental radial head subluxation in a chondrodystrophic cat.</p>","PeriodicalId":36588,"journal":{"name":"Journal of Feline Medicine and Surgery Open Reports","volume":"11 2","pages":"20551169251366438"},"PeriodicalIF":0.7000,"publicationDate":"2025-09-19","publicationTypes":"Journal Article","fieldsOfStudy":null,"isOpenAccess":false,"openAccessPdf":"https://www.ncbi.nlm.nih.gov/pmc/articles/PMC12450254/pdf/","citationCount":"0","resultStr":null,"platform":"Semanticscholar","paperid":null,"PeriodicalName":"Journal of Feline Medicine and Surgery Open Reports","FirstCategoryId":"1085","ListUrlMain":"https://doi.org/10.1177/20551169251366438","RegionNum":0,"RegionCategory":null,"ArticlePicture":[],"TitleCN":null,"AbstractTextCN":null,"PMCID":null,"EPubDate":"2025/7/1 0:00:00","PubModel":"eCollection","JCR":"Q3","JCRName":"VETERINARY SCIENCES","Score":null,"Total":0}
引用次数: 0

Abstract

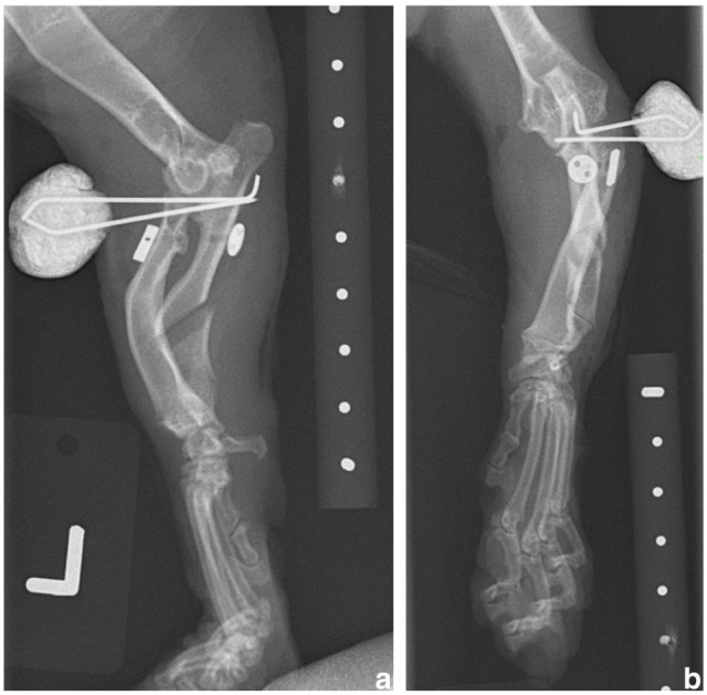
Case summary: A 10-month-old male neutered Dwelf cat with bilateral thoracic angular limb deformity secondary to chondrodystrophism presented with an acute onset of left thoracic lameness due to elbow subluxation and radial head displacement. Financial restrictions limited treatment to a single surgical procedure consisting of a left ulnar osteotomy, radioulnar polypropylene toggle placement and two temporary radioulnar transosseous K-wires. The lameness resolved but a degree of radial head subluxation persisted, radiographically similar in degree to the contralateral limb.

Relevance and novel information: Chondrodystrophism is not common in cats. Inbreeding and chondrodystrophism is likely to result in the diagnosis of musculoskeletal diseases that have not previously been reported in this species. To the authors' knowledge, this is the first case report of a developmental radial head subluxation in a chondrodystrophic cat.

Abstract Image

Abstract Image

Abstract Image

软骨营养不良猫桡骨头半脱位:病因、手术治疗和结果。
病例总结:一只10个月大的雄性绝育猫,患有继发于软骨营养不良的双侧胸椎角肢体畸形,由于肘关节半脱位和桡骨头移位,急性发作左胸椎跛行。财政限制限制了治疗的单一手术程序,包括左尺骨截骨,尺桡聚丙烯开关放置和两个临时尺桡经骨k针。跛行消退,但桡骨头半脱位程度持续存在,放射学上与对侧肢体相似。相关性和新信息:软骨营养不良症在猫中并不常见。近亲繁殖和软骨营养不良很可能导致肌肉骨骼疾病的诊断,这些疾病以前在该物种中没有报道过。据作者所知,这是第一例报告发育性桡骨头半脱位在软骨营养不良的猫。
本文章由计算机程序翻译,如有差异,请以英文原文为准。
求助全文
约1分钟内获得全文 求助全文
来源期刊
CiteScore
1.30
自引率
14.30%
发文量
57
审稿时长
15 weeks
×
引用
GB/T 7714-2015
复制
MLA
复制
APA
复制
导出至
BibTeX EndNote RefMan NoteFirst NoteExpress
×
提示
您的信息不完整,为了账户安全,请先补充。
现在去补充
×
提示
您因"违规操作"
具体请查看互助需知
我知道了
×
提示
确定
请完成安全验证×
copy
已复制链接
快去分享给好友吧!
我知道了
右上角分享
点击右上角分享
0
联系我们:info@booksci.cn Book学术提供免费学术资源搜索服务,方便国内外学者检索中英文文献。致力于提供最便捷和优质的服务体验。 Copyright © 2023 布克学术 All rights reserved.
京ICP备2023020795号-1
ghs 京公网安备 11010802042870号
Book学术文献互助
Book学术文献互助群
群 号:604180095
Book学术官方微信