Primary leptomeningeal histiocytic lymphoproliferative disorder associated with SARS-CoV-2 brain infection in k18-hACE2 mouse: a case report.

IF 2.9 Q3 MEDICINE, RESEARCH & EXPERIMENTAL
Néstor Porras, Lidia Sánchez-Morales, Marta Pérez-Sancho, Lucas Domínguez, Antonio Rodríguez-Bertos
{"title":"Primary leptomeningeal histiocytic lymphoproliferative disorder associated with SARS-CoV-2 brain infection in k18-hACE2 mouse: a case report.","authors":"Néstor Porras, Lidia Sánchez-Morales, Marta Pérez-Sancho, Lucas Domínguez, Antonio Rodríguez-Bertos","doi":"10.1186/s42826-025-00256-4","DOIUrl":null,"url":null,"abstract":"<p><strong>Background: </strong>Histiocytic proliferative disorders in the central nervous system are rare, and their potential association with viral infections remains largely unexplored. This case is relevant because it suggests a potential interaction between SARS-CoV-2 neuroinvasion and tumor development, providing insights into how viral infections might influence oncogenesis.</p><p><strong>Case presentation: </strong>A 4.5-month-old male k18-hACE-2 mouse, part of an experimental study of SARS-CoV-2, displayed a small mass in leptomeningeal area composed by neoplastic round cells. This process is associated with typical acute inflammatory and neurodegenerative lesions according to viral neuroinvasion. Histopathology revealed a well-demarcated tumor composed of lymphoblasts and intermixed with abundant histiocytic-like cells. Immunohistochemistry showed high expression of Iba-1 in histiocytes but negative PAX5, CD3 and IRF-4 labeling. Due to the critical role of PAX-5 in maintaining B-cell function, its reduction or inactivation may favor this loss of identity and differentiation to macrophages, which supports the possibility of a lymphoma undergoing transdifferentiation into a histiocytic/dendritic cells neoplasm. Additionally, SARS-CoV-2 was detected within the tumor histiocytes and adjacent neurons, raising questions about potential interactions between viral infection and tumor development.</p><p><strong>Conclusions: </strong>While the underlying mechanisms remain uncertain, this finding highlights the need for further investigation into the interplay between SARS-CoV-2 infection and oncogenesis. This case represents the first report of a primary brain histiocytic lymphoproliferative disorder associated with SARS-CoV-2 in k18-hACE2 mouse.</p>","PeriodicalId":17993,"journal":{"name":"Laboratory Animal Research","volume":"41 1","pages":"23"},"PeriodicalIF":2.9000,"publicationDate":"2025-09-22","publicationTypes":"Journal Article","fieldsOfStudy":null,"isOpenAccess":false,"openAccessPdf":"https://www.ncbi.nlm.nih.gov/pmc/articles/PMC12452023/pdf/","citationCount":"0","resultStr":null,"platform":"Semanticscholar","paperid":null,"PeriodicalName":"Laboratory Animal Research","FirstCategoryId":"1085","ListUrlMain":"https://doi.org/10.1186/s42826-025-00256-4","RegionNum":0,"RegionCategory":null,"ArticlePicture":[],"TitleCN":null,"AbstractTextCN":null,"PMCID":null,"EPubDate":"","PubModel":"","JCR":"Q3","JCRName":"MEDICINE, RESEARCH & EXPERIMENTAL","Score":null,"Total":0}
引用次数: 0

Abstract

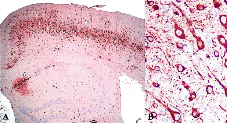
Background: Histiocytic proliferative disorders in the central nervous system are rare, and their potential association with viral infections remains largely unexplored. This case is relevant because it suggests a potential interaction between SARS-CoV-2 neuroinvasion and tumor development, providing insights into how viral infections might influence oncogenesis.

Case presentation: A 4.5-month-old male k18-hACE-2 mouse, part of an experimental study of SARS-CoV-2, displayed a small mass in leptomeningeal area composed by neoplastic round cells. This process is associated with typical acute inflammatory and neurodegenerative lesions according to viral neuroinvasion. Histopathology revealed a well-demarcated tumor composed of lymphoblasts and intermixed with abundant histiocytic-like cells. Immunohistochemistry showed high expression of Iba-1 in histiocytes but negative PAX5, CD3 and IRF-4 labeling. Due to the critical role of PAX-5 in maintaining B-cell function, its reduction or inactivation may favor this loss of identity and differentiation to macrophages, which supports the possibility of a lymphoma undergoing transdifferentiation into a histiocytic/dendritic cells neoplasm. Additionally, SARS-CoV-2 was detected within the tumor histiocytes and adjacent neurons, raising questions about potential interactions between viral infection and tumor development.

Conclusions: While the underlying mechanisms remain uncertain, this finding highlights the need for further investigation into the interplay between SARS-CoV-2 infection and oncogenesis. This case represents the first report of a primary brain histiocytic lymphoproliferative disorder associated with SARS-CoV-2 in k18-hACE2 mouse.

Abstract Image

Abstract Image

Abstract Image

k18-hACE2小鼠与SARS-CoV-2脑感染相关的原发性小脑膜组织细胞淋巴细胞增生性疾病1例报告
背景:中枢神经系统的组织细胞增殖性疾病是罕见的,它们与病毒感染的潜在联系在很大程度上仍未被探索。该病例具有相关性,因为它表明SARS-CoV-2神经侵袭与肿瘤发展之间存在潜在的相互作用,为病毒感染如何影响肿瘤发生提供了见解。病例介绍:一只4.5个月大的雄性k18-hACE-2小鼠,是SARS-CoV-2实验研究的一部分,在脑膜轻脑膜区显示由肿瘤圆形细胞组成的小肿块。这一过程与典型的急性炎症和神经退行性病变有关。组织病理学显示肿瘤由淋巴母细胞和大量组织细胞样细胞混合组成。免疫组化显示Iba-1在组织细胞中高表达,但PAX5、CD3和IRF-4标记阴性。由于PAX-5在维持b细胞功能中的关键作用,其减少或失活可能有利于这种身份丧失和向巨噬细胞分化,这支持了淋巴瘤向组织细胞/树突状细胞肿瘤转分化的可能性。此外,在肿瘤组织细胞和邻近神经元中检测到SARS-CoV-2,这提出了病毒感染与肿瘤发展之间潜在相互作用的问题。结论:虽然潜在的机制仍不确定,但这一发现强调了进一步研究SARS-CoV-2感染与肿瘤发生之间相互作用的必要性。本病例是k18-hACE2小鼠中与SARS-CoV-2相关的原发性脑组织细胞淋巴细胞增生性疾病的首次报道。
本文章由计算机程序翻译,如有差异,请以英文原文为准。
求助全文
约1分钟内获得全文 求助全文
来源期刊
CiteScore
4.40
自引率
0.00%
发文量
32
审稿时长
8 weeks
×
引用
GB/T 7714-2015
复制
MLA
复制
APA
复制
导出至
BibTeX EndNote RefMan NoteFirst NoteExpress
×
提示
您的信息不完整,为了账户安全,请先补充。
现在去补充
×
提示
您因"违规操作"
具体请查看互助需知
我知道了
×
提示
确定
请完成安全验证×
copy
已复制链接
快去分享给好友吧!
我知道了
右上角分享
点击右上角分享
0
联系我们:info@booksci.cn Book学术提供免费学术资源搜索服务,方便国内外学者检索中英文文献。致力于提供最便捷和优质的服务体验。 Copyright © 2023 布克学术 All rights reserved.
京ICP备2023020795号-1
ghs 京公网安备 11010802042870号
Book学术文献互助
Book学术文献互助群
群 号:604180095
Book学术官方微信