Cervical spine MRI findings leading to diagnosis of hypothyroid myopathy in dropped head syndrome: A case report.

IF 1 Q4 RADIOLOGY, NUCLEAR MEDICINE & MEDICAL IMAGING
Acta radiologica open Pub Date : 2025-09-18 eCollection Date: 2025-09-01 DOI:10.1177/20584601251380870
Chiaki Sato, Asako Yamamoto, Megumi Katsumata, Minami Hirasawa, Yuki Hatanaka, Hiroshi Oba
{"title":"Cervical spine MRI findings leading to diagnosis of hypothyroid myopathy in dropped head syndrome: A case report.","authors":"Chiaki Sato, Asako Yamamoto, Megumi Katsumata, Minami Hirasawa, Yuki Hatanaka, Hiroshi Oba","doi":"10.1177/20584601251380870","DOIUrl":null,"url":null,"abstract":"<p><p>Dropped head syndrome, characterized by excessive flexion of the neck, frequently leads to significant impairment in quality of life. Among the various causes of this syndrome, some cases respond effectively to internal medicine. We report a case of a woman in her 70s who presented with dropped head syndrome and was finally diagnosed with hypothyroid myopathy limited to the extensor muscles of the neck. Cervical spine MRI at the initial examination indicated thyroid atrophy, increased subcutaneous fat, and a mild high signal in the right cervical extensor muscles on fat-suppressed T2-weighted images. Blood tests confirmed hypothyroidism. Treatment with levothyroxine improved the symptoms and normalized the blood test results. This case highlights the importance of careful evaluation of the thyroid gland and paravertebral muscles in cervical spine MRI. They can offer diagnostic clues for underlying the important causative role of thyroid disease in dropped head syndrome.</p>","PeriodicalId":72063,"journal":{"name":"Acta radiologica open","volume":"14 9","pages":"20584601251380870"},"PeriodicalIF":1.0000,"publicationDate":"2025-09-18","publicationTypes":"Journal Article","fieldsOfStudy":null,"isOpenAccess":false,"openAccessPdf":"https://www.ncbi.nlm.nih.gov/pmc/articles/PMC12446784/pdf/","citationCount":"0","resultStr":null,"platform":"Semanticscholar","paperid":null,"PeriodicalName":"Acta radiologica open","FirstCategoryId":"1085","ListUrlMain":"https://doi.org/10.1177/20584601251380870","RegionNum":0,"RegionCategory":null,"ArticlePicture":[],"TitleCN":null,"AbstractTextCN":null,"PMCID":null,"EPubDate":"2025/9/1 0:00:00","PubModel":"eCollection","JCR":"Q4","JCRName":"RADIOLOGY, NUCLEAR MEDICINE & MEDICAL IMAGING","Score":null,"Total":0}
引用次数: 0

Abstract

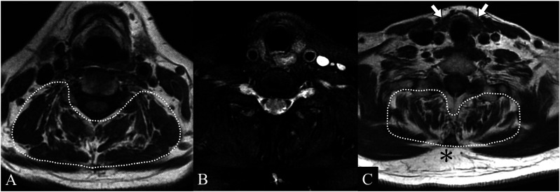
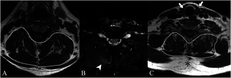
Dropped head syndrome, characterized by excessive flexion of the neck, frequently leads to significant impairment in quality of life. Among the various causes of this syndrome, some cases respond effectively to internal medicine. We report a case of a woman in her 70s who presented with dropped head syndrome and was finally diagnosed with hypothyroid myopathy limited to the extensor muscles of the neck. Cervical spine MRI at the initial examination indicated thyroid atrophy, increased subcutaneous fat, and a mild high signal in the right cervical extensor muscles on fat-suppressed T2-weighted images. Blood tests confirmed hypothyroidism. Treatment with levothyroxine improved the symptoms and normalized the blood test results. This case highlights the importance of careful evaluation of the thyroid gland and paravertebral muscles in cervical spine MRI. They can offer diagnostic clues for underlying the important causative role of thyroid disease in dropped head syndrome.

Abstract Image

Abstract Image

颈椎MRI显示导致诊断甲状腺功能减退症的低头综合征:1例报告。
以颈部过度屈曲为特征的低垂头综合征常常导致生活质量的严重损害。在这种综合征的各种原因中,有些病例对内科治疗有效。我们报告了一个70多岁的女性,她出现了头下垂综合征,最终被诊断为局限于颈部伸肌的甲状腺功能减退肌病。颈椎MRI初步检查显示甲状腺萎缩,皮下脂肪增加,脂肪抑制的t2加权图像显示右侧颈伸肌轻度高信号。血液检查证实是甲状腺功能减退左旋甲状腺素治疗改善了症状并使血液检查结果正常化。本病例强调了在颈椎MRI中仔细评估甲状腺和椎旁肌肉的重要性。它们可以为甲状腺疾病在垂头综合征中的重要致病作用提供诊断线索。
本文章由计算机程序翻译,如有差异,请以英文原文为准。
求助全文
约1分钟内获得全文 求助全文
来源期刊
自引率
0.00%
发文量
0
审稿时长
12 weeks
×
引用
GB/T 7714-2015
复制
MLA
复制
APA
复制
导出至
BibTeX EndNote RefMan NoteFirst NoteExpress
×
提示
您的信息不完整,为了账户安全,请先补充。
现在去补充
×
提示
您因"违规操作"
具体请查看互助需知
我知道了
×
提示
确定
请完成安全验证×
copy
已复制链接
快去分享给好友吧!
我知道了
右上角分享
点击右上角分享
0
联系我们:info@booksci.cn Book学术提供免费学术资源搜索服务,方便国内外学者检索中英文文献。致力于提供最便捷和优质的服务体验。 Copyright © 2023 布克学术 All rights reserved.
京ICP备2023020795号-1
ghs 京公网安备 11010802042870号
Book学术文献互助
Book学术文献互助群
群 号:604180095
Book学术官方微信