Elastographic and ultrasound findings of the dog`s kidneys exposed to cigarette smoke.

Brazilian journal of veterinary medicine Pub Date : 2025-09-15 eCollection Date: 2025-01-01 DOI:10.29374/2527-2179.bjvm003525
Samara Isis Rodrigues de Moraes, Giovanna Serpa Maciel Feliciano, Denise Jaques Ramos, Camila Silveira Stanquini, Diana Villa Verde Salazar, Luiz Paulo Nogueira Aires, Anna Carolina Mazeto Ercolin, Giovana Fumes Ghantous, Marcus Antônio Rossi Feliciano, Carlos Eduardo Ambrósio
{"title":"Elastographic and ultrasound findings of the dog`s kidneys exposed to cigarette smoke.","authors":"Samara Isis Rodrigues de Moraes, Giovanna Serpa Maciel Feliciano, Denise Jaques Ramos, Camila Silveira Stanquini, Diana Villa Verde Salazar, Luiz Paulo Nogueira Aires, Anna Carolina Mazeto Ercolin, Giovana Fumes Ghantous, Marcus Antônio Rossi Feliciano, Carlos Eduardo Ambrósio","doi":"10.29374/2527-2179.bjvm003525","DOIUrl":null,"url":null,"abstract":"<p><p>This study evaluated the effects of exposure to tobacco smoke on the kidneys of household dogs using B-mode ultrasonography and Shear-wave Elastography (SWE). Fifteen adult dogs were analyzed and divided into two groups: one exposed to passive smoking for at least two years (n=7) and another non-exposed group (n=8), both without a history of kidney disease. The animals underwent clinical evaluation and laboratory tests, followed by B-mode ultrasonography and renal elastography. Blood test were normal for all individuals. Ultrasonography demonstrated a significant increase in renal echogenicity (p=0.0070, for both right and left kidneys) and irregular contours (p=0.0256 for the right kidney, and p=0.0070 for the left kidney) in the exposed group. The variables echotexture, corticomedullary ratio, and presence of alterations did not vary between the groups (p>0.05). Tissues were harder in exposed dogs (p=0.0492). These findings indicate that exposure to passive smoking may compromise canine kidney health, with early alterations detectable through ultrasonography and elastography. This study highlights the importance of raising awareness about the risks of smoking in domestic environments and underscores the need for further research to deepen the understanding of passive smoking's impact on the renal morphology of domestic dogs.</p>","PeriodicalId":72458,"journal":{"name":"Brazilian journal of veterinary medicine","volume":"47 ","pages":"e003525"},"PeriodicalIF":0.0000,"publicationDate":"2025-09-15","publicationTypes":"Journal Article","fieldsOfStudy":null,"isOpenAccess":false,"openAccessPdf":"https://www.ncbi.nlm.nih.gov/pmc/articles/PMC12445912/pdf/","citationCount":"0","resultStr":null,"platform":"Semanticscholar","paperid":null,"PeriodicalName":"Brazilian journal of veterinary medicine","FirstCategoryId":"1085","ListUrlMain":"https://doi.org/10.29374/2527-2179.bjvm003525","RegionNum":0,"RegionCategory":null,"ArticlePicture":[],"TitleCN":null,"AbstractTextCN":null,"PMCID":null,"EPubDate":"2025/1/1 0:00:00","PubModel":"eCollection","JCR":"","JCRName":"","Score":null,"Total":0}
引用次数: 0

Abstract

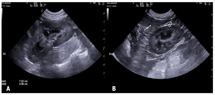
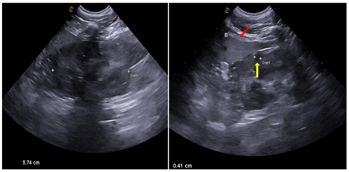
This study evaluated the effects of exposure to tobacco smoke on the kidneys of household dogs using B-mode ultrasonography and Shear-wave Elastography (SWE). Fifteen adult dogs were analyzed and divided into two groups: one exposed to passive smoking for at least two years (n=7) and another non-exposed group (n=8), both without a history of kidney disease. The animals underwent clinical evaluation and laboratory tests, followed by B-mode ultrasonography and renal elastography. Blood test were normal for all individuals. Ultrasonography demonstrated a significant increase in renal echogenicity (p=0.0070, for both right and left kidneys) and irregular contours (p=0.0256 for the right kidney, and p=0.0070 for the left kidney) in the exposed group. The variables echotexture, corticomedullary ratio, and presence of alterations did not vary between the groups (p>0.05). Tissues were harder in exposed dogs (p=0.0492). These findings indicate that exposure to passive smoking may compromise canine kidney health, with early alterations detectable through ultrasonography and elastography. This study highlights the importance of raising awareness about the risks of smoking in domestic environments and underscores the need for further research to deepen the understanding of passive smoking's impact on the renal morphology of domestic dogs.

Abstract Image

Abstract Image

Abstract Image

狗的肾脏暴露于香烟烟雾的弹性图和超声结果。
本研究利用b超和剪切波弹性成像(SWE)评估了暴露于烟草烟雾对家养狗肾脏的影响。对15只成年狗进行分析并分为两组:一组暴露于被动吸烟至少两年(n=7),另一组未暴露(n=8),均无肾脏疾病史。动物进行临床评估和实验室检查,随后进行b超和肾脏弹性成像。所有人的血液检查正常。超声检查显示,暴露组肾回声增强(左右肾均p=0.0070),肾轮廓不规则(右肾p=0.0256,左肾p=0.0070)。两组间超声质谱、皮质-髓质比值及有无病变无显著差异(p < 0.05)。暴露犬的组织较硬(p=0.0492)。这些发现表明,暴露于被动吸烟可能损害犬肾脏健康,通过超声和弹性成像可以检测到早期的改变。这项研究强调了提高人们对家庭环境中吸烟风险的认识的重要性,并强调了进一步研究以加深对被动吸烟对家养狗肾脏形态影响的理解的必要性。
本文章由计算机程序翻译,如有差异,请以英文原文为准。
求助全文
约1分钟内获得全文 求助全文
来源期刊
自引率
0.00%
发文量
0
×
引用
GB/T 7714-2015
复制
MLA
复制
APA
复制
导出至
BibTeX EndNote RefMan NoteFirst NoteExpress
×
提示
您的信息不完整,为了账户安全,请先补充。
现在去补充
×
提示
您因"违规操作"
具体请查看互助需知
我知道了
×
提示
确定
请完成安全验证×
copy
已复制链接
快去分享给好友吧!
我知道了
右上角分享
点击右上角分享
0
联系我们:info@booksci.cn Book学术提供免费学术资源搜索服务,方便国内外学者检索中英文文献。致力于提供最便捷和优质的服务体验。 Copyright © 2023 布克学术 All rights reserved.
京ICP备2023020795号-1
ghs 京公网安备 11010802042870号
Book学术文献互助
Book学术文献互助群
群 号:604180095
Book学术官方微信