Radiological extranodal extension in head and neck cancers: current evidence and challenges in imaging detection and prognostic impact.

IF 2.1
BJR open Pub Date : 2025-08-26 eCollection Date: 2025-01-01 DOI:10.1093/bjro/tzaf021
Nivedita Chakrabarty, Abhishek Mahajan
{"title":"Radiological extranodal extension in head and neck cancers: current evidence and challenges in imaging detection and prognostic impact.","authors":"Nivedita Chakrabarty, Abhishek Mahajan","doi":"10.1093/bjro/tzaf021","DOIUrl":null,"url":null,"abstract":"<p><p>Extranodal extension (ENE) is an established adverse prognostic indicator for head and neck cancers (HNC), and its presence entails adjuvant chemoradiotherapy, hence, it had been incorporated for the first time as the advanced regional node N3b category in the 8th edition of the Union for International Cancer Control (UICC)/American Joint Committee on Cancer (AJCC) Tumour Node Metastasis (TNM) classification for cancers of the oral cavity, human papillomavirus-negative oropharynx, hypopharynx, larynx and major salivary gland carcinomas. Pathological ENE is available for cases which are operated on, but cases which are managed non-surgically or unfit for surgery rely on imaging for providing the information on ENE, and this has prompted researchers across the globe to devise radiological grading for ENE. Radiological ENE has finally been given due credit and incorporated in the 9th version of AJCC TNM staging for nasopharyngeal carcinoma, which came into effect from January 2025. Knowledge of ENE status on baseline imaging prior to operation also helps in counselling patients regarding prognosis and planning adjuvant treatment. In this article, we have comprehensively reviewed the radiological/imaging ENE (rENE/iENE) grading proposed by researchers worldwide, extensively reviewed the existing evidence and challenges of using rENE/iENE for staging, grading, prognosticating and treating HNC, and also discussed the future scope of using rENE/iENE for managing patients with HNC of all the subsites, including thyroid cancers. Artificial intelligence-based studies for predicting rENE/iENE have also been discussed briefly.</p>","PeriodicalId":72419,"journal":{"name":"BJR open","volume":"7 1","pages":"tzaf021"},"PeriodicalIF":2.1000,"publicationDate":"2025-08-26","publicationTypes":"Journal Article","fieldsOfStudy":null,"isOpenAccess":false,"openAccessPdf":"https://www.ncbi.nlm.nih.gov/pmc/articles/PMC12449263/pdf/","citationCount":"0","resultStr":null,"platform":"Semanticscholar","paperid":null,"PeriodicalName":"BJR open","FirstCategoryId":"1085","ListUrlMain":"https://doi.org/10.1093/bjro/tzaf021","RegionNum":0,"RegionCategory":null,"ArticlePicture":[],"TitleCN":null,"AbstractTextCN":null,"PMCID":null,"EPubDate":"2025/1/1 0:00:00","PubModel":"eCollection","JCR":"","JCRName":"","Score":null,"Total":0}
引用次数: 0

Abstract

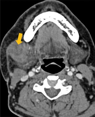
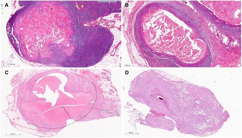
Extranodal extension (ENE) is an established adverse prognostic indicator for head and neck cancers (HNC), and its presence entails adjuvant chemoradiotherapy, hence, it had been incorporated for the first time as the advanced regional node N3b category in the 8th edition of the Union for International Cancer Control (UICC)/American Joint Committee on Cancer (AJCC) Tumour Node Metastasis (TNM) classification for cancers of the oral cavity, human papillomavirus-negative oropharynx, hypopharynx, larynx and major salivary gland carcinomas. Pathological ENE is available for cases which are operated on, but cases which are managed non-surgically or unfit for surgery rely on imaging for providing the information on ENE, and this has prompted researchers across the globe to devise radiological grading for ENE. Radiological ENE has finally been given due credit and incorporated in the 9th version of AJCC TNM staging for nasopharyngeal carcinoma, which came into effect from January 2025. Knowledge of ENE status on baseline imaging prior to operation also helps in counselling patients regarding prognosis and planning adjuvant treatment. In this article, we have comprehensively reviewed the radiological/imaging ENE (rENE/iENE) grading proposed by researchers worldwide, extensively reviewed the existing evidence and challenges of using rENE/iENE for staging, grading, prognosticating and treating HNC, and also discussed the future scope of using rENE/iENE for managing patients with HNC of all the subsites, including thyroid cancers. Artificial intelligence-based studies for predicting rENE/iENE have also been discussed briefly.

Abstract Image

Abstract Image

Abstract Image

头颈部肿瘤的淋巴结外延伸:影像学检测和预后影响的现有证据和挑战。
结外延伸(ENE)是头颈癌(HNC)的不良预后指标,其存在需要辅助放化疗,因此,在第8版国际癌症控制联盟(UICC)/美国癌症联合委员会(AJCC)肿瘤淋巴结转移(TNM)分类中,首次将其作为晚期区域性淋巴结N3b类别纳入口腔癌、人乳头瘤病毒阴性口咽癌、下咽癌、喉癌和大唾液腺癌。病理性ENE可用于手术治疗的病例,但非手术治疗或不适合手术治疗的病例依赖影像学提供ENE的信息,这促使全球研究人员设计ENE的放射分级。放射学ENE最终获得了应有的认可,并被纳入了从2025年1月起生效的AJCC鼻咽癌TNM分期的第9版。术前基线影像学对ENE状态的了解也有助于患者预后咨询和辅助治疗计划。在本文中,我们全面回顾了全球研究者提出的放射学/影像学ENE (rENE/iENE)分级,广泛回顾了使用rENE/iENE进行HNC分期、分级、预后和治疗的现有证据和挑战,并讨论了未来使用rENE/iENE治疗包括甲状腺癌在内的所有亚型HNC患者的范围。本文还简要讨论了基于人工智能的rENE/iENE预测研究。
本文章由计算机程序翻译,如有差异,请以英文原文为准。
求助全文
约1分钟内获得全文 求助全文
来源期刊
自引率
0.00%
发文量
0
审稿时长
18 weeks
×
引用
GB/T 7714-2015
复制
MLA
复制
APA
复制
导出至
BibTeX EndNote RefMan NoteFirst NoteExpress
×
提示
您的信息不完整,为了账户安全,请先补充。
现在去补充
×
提示
您因"违规操作"
具体请查看互助需知
我知道了
×
提示
确定
请完成安全验证×
copy
已复制链接
快去分享给好友吧!
我知道了
右上角分享
点击右上角分享
0
联系我们:info@booksci.cn Book学术提供免费学术资源搜索服务,方便国内外学者检索中英文文献。致力于提供最便捷和优质的服务体验。 Copyright © 2023 布克学术 All rights reserved.
京ICP备2023020795号-1
ghs 京公网安备 11010802042870号
Book学术文献互助
Book学术文献互助群
群 号:604180095
Book学术官方微信