Progesterone induction of tau phosphorylation during the differentiation of human embryonic stem cells into neuroectodermal rosettes.

IF 2.8 Q2 NEUROSCIENCES
Journal of Alzheimer's disease reports Pub Date : 2025-09-17 eCollection Date: 2025-01-01 DOI:10.1177/25424823251370643
Prashob Porayette, Maria M Kaltcheva, George Perry, Tracy Butler, Sivan Vadakkadath Meethal, Craig S Atwood
{"title":"Progesterone induction of tau phosphorylation during the differentiation of human embryonic stem cells into neuroectodermal rosettes.","authors":"Prashob Porayette, Maria M Kaltcheva, George Perry, Tracy Butler, Sivan Vadakkadath Meethal, Craig S Atwood","doi":"10.1177/25424823251370643","DOIUrl":null,"url":null,"abstract":"<p><strong>Background: </strong>Tau phosphorylation is associated with neuronal division and differentiation in the fetal brain, in neuroblastoma cells, in the hibernating brains of ground squirrels and black bears, and in post-mitotic neurons in the Alzheimer's disease (AD) brain. The disassembly of the rigid microtubule structure of neurons for neuronal division and neurite remodeling requires the removal of the microtubule stabilizing protein tau via its phosphorylation.</p><p><strong>Objective: </strong>To determine if tau phosphorylation is required during neural embryogenesis.</p><p><strong>Methods: </strong>Using an <i>in vitro</i> human model of early embryonic development, human embryonic stem cells (hESC) were differentiated into embryoid bodies (EBs; akin to an early blastocyst) and then into neuroectodermal rosettes (akin to a rudimentary neural tube containing neuroectodermal precursor cells) upon treatment with progesterone. The neuroectodermal rosettes were then treated with and without LiCl (Cdk5 inhibitor) or roscovitine (GSK-3β inhibitor) and assayed for the expression of tau, P-tau, nestin (an early marker of neurogenesis), Cdk5 and GSK-3β.</p><p><strong>Results: </strong>Tau was not expressed in hESC, but tau expression and its phosphorylation increase upon progesterone-induced differentiation of hESC into neuroectodermal rosettes. Both Cdk5 and GSK-3β, enzymes associated with tau phosphorylation, were expressed in hESCs, EBs, and neuroectodermal rosettes. The GSK-3β inhibitor LiCl, but not the Cdk-5 inhibitor roscovitine, prevented tau phosphorylation and nestin expression and the formation of neuroectodermal precursor cells.</p><p><strong>Conclusions: </strong>These preliminary results suggest that progesterone induces tau expression and its phosphorylation during the differentiation of neuroectodermal rosettes from hESC and suggest that tau and its phosphorylation is obligatory for neuronal precursor cell mitosis. The parallels between neural embryogenesis and neurodegeneration are discussed in the context of tau phosphorylation and the aberrant re-entry of neurons into the cell cycle in AD.</p>","PeriodicalId":73594,"journal":{"name":"Journal of Alzheimer's disease reports","volume":"9 ","pages":"25424823251370643"},"PeriodicalIF":2.8000,"publicationDate":"2025-09-17","publicationTypes":"Journal Article","fieldsOfStudy":null,"isOpenAccess":false,"openAccessPdf":"https://www.ncbi.nlm.nih.gov/pmc/articles/PMC12444067/pdf/","citationCount":"0","resultStr":null,"platform":"Semanticscholar","paperid":null,"PeriodicalName":"Journal of Alzheimer's disease reports","FirstCategoryId":"1085","ListUrlMain":"https://doi.org/10.1177/25424823251370643","RegionNum":0,"RegionCategory":null,"ArticlePicture":[],"TitleCN":null,"AbstractTextCN":null,"PMCID":null,"EPubDate":"2025/1/1 0:00:00","PubModel":"eCollection","JCR":"Q2","JCRName":"NEUROSCIENCES","Score":null,"Total":0}
引用次数: 0

Abstract

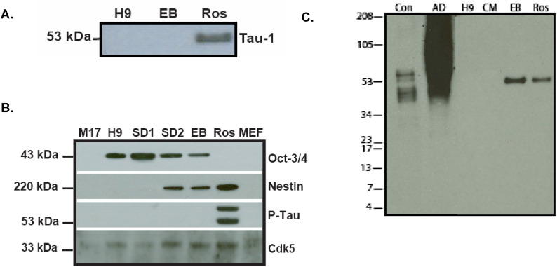
Background: Tau phosphorylation is associated with neuronal division and differentiation in the fetal brain, in neuroblastoma cells, in the hibernating brains of ground squirrels and black bears, and in post-mitotic neurons in the Alzheimer's disease (AD) brain. The disassembly of the rigid microtubule structure of neurons for neuronal division and neurite remodeling requires the removal of the microtubule stabilizing protein tau via its phosphorylation.

Objective: To determine if tau phosphorylation is required during neural embryogenesis.

Methods: Using an in vitro human model of early embryonic development, human embryonic stem cells (hESC) were differentiated into embryoid bodies (EBs; akin to an early blastocyst) and then into neuroectodermal rosettes (akin to a rudimentary neural tube containing neuroectodermal precursor cells) upon treatment with progesterone. The neuroectodermal rosettes were then treated with and without LiCl (Cdk5 inhibitor) or roscovitine (GSK-3β inhibitor) and assayed for the expression of tau, P-tau, nestin (an early marker of neurogenesis), Cdk5 and GSK-3β.

Results: Tau was not expressed in hESC, but tau expression and its phosphorylation increase upon progesterone-induced differentiation of hESC into neuroectodermal rosettes. Both Cdk5 and GSK-3β, enzymes associated with tau phosphorylation, were expressed in hESCs, EBs, and neuroectodermal rosettes. The GSK-3β inhibitor LiCl, but not the Cdk-5 inhibitor roscovitine, prevented tau phosphorylation and nestin expression and the formation of neuroectodermal precursor cells.

Conclusions: These preliminary results suggest that progesterone induces tau expression and its phosphorylation during the differentiation of neuroectodermal rosettes from hESC and suggest that tau and its phosphorylation is obligatory for neuronal precursor cell mitosis. The parallels between neural embryogenesis and neurodegeneration are discussed in the context of tau phosphorylation and the aberrant re-entry of neurons into the cell cycle in AD.

Abstract Image

Abstract Image

黄体酮诱导人胚胎干细胞向神经外胚层莲座分化过程中的tau磷酸化。
背景:Tau磷酸化与胎儿大脑、神经母细胞瘤细胞、地松鼠和黑熊冬眠大脑以及阿尔茨海默病(AD)大脑有丝分裂后神经元的神经元分裂和分化有关。为了神经元分裂和神经突重塑,神经元刚性微管结构的分解需要通过磷酸化去除微管稳定蛋白tau。目的:确定在神经胚胎发生过程中是否需要tau磷酸化。方法:利用体外人类早期胚胎发育模型,将人胚胎干细胞(hESC)分化为胚胎样体(EBs,类似于早期囊胚),然后在黄体酮处理下分化为神经外胚层莲座(类似于含有神经外胚层前体细胞的初级神经管)。然后用和不加LiCl (Cdk5抑制剂)或罗斯科维汀(GSK-3β抑制剂)处理神经外胚层莲座,并检测tau、P-tau、巢蛋白(神经发生的早期标志物)、Cdk5和GSK-3β的表达。结果:Tau蛋白在hESC中不表达,但黄体酮诱导hESC向神经外胚层玫瑰花组织分化时,Tau蛋白的表达及其磷酸化水平升高。Cdk5和GSK-3β(与tau磷酸化相关的酶)均在hESCs、EBs和神经外胚层莲座中表达。GSK-3β抑制剂LiCl,而Cdk-5抑制剂roscovitine,可以阻止tau磷酸化和nestin的表达以及神经外胚层前细胞的形成。结论:这些初步结果提示黄体酮在hESC神经外胚层莲座分化过程中诱导tau蛋白的表达及其磷酸化,提示tau蛋白及其磷酸化是神经元前体细胞有丝分裂的必要条件。神经胚胎发生和神经退行性变之间的相似之处在AD中tau磷酸化和神经元异常重新进入细胞周期的背景下进行了讨论。
本文章由计算机程序翻译,如有差异,请以英文原文为准。
求助全文
约1分钟内获得全文 求助全文
来源期刊
CiteScore
2.80
自引率
0.00%
发文量
0
×
引用
GB/T 7714-2015
复制
MLA
复制
APA
复制
导出至
BibTeX EndNote RefMan NoteFirst NoteExpress
×
提示
您的信息不完整,为了账户安全,请先补充。
现在去补充
×
提示
您因"违规操作"
具体请查看互助需知
我知道了
×
提示
确定
请完成安全验证×
copy
已复制链接
快去分享给好友吧!
我知道了
右上角分享
点击右上角分享
0
联系我们:info@booksci.cn Book学术提供免费学术资源搜索服务,方便国内外学者检索中英文文献。致力于提供最便捷和优质的服务体验。 Copyright © 2023 布克学术 All rights reserved.
京ICP备2023020795号-1
ghs 京公网安备 11010802042870号
Book学术文献互助
Book学术文献互助群
群 号:604180095
Book学术官方微信