A rare case of McCune-Albright syndrome in a young male with hyperthyroidism and hypertrophic scars.

IF 0.4 Q3 MEDICINE, GENERAL & INTERNAL
Oxford Medical Case Reports Pub Date : 2025-09-15 eCollection Date: 2025-09-01 DOI:10.1093/omcr/omaf158
Bayar A Qasim, Rende S A Kochary, Halder J Abozait, Omed O Ismail
{"title":"A rare case of McCune-Albright syndrome in a young male with hyperthyroidism and hypertrophic scars.","authors":"Bayar A Qasim, Rende S A Kochary, Halder J Abozait, Omed O Ismail","doi":"10.1093/omcr/omaf158","DOIUrl":null,"url":null,"abstract":"<p><p>McCune-Albright syndrome (MAS) is somatic mosaicism disorder due to mutations in GNAS gene leading to a combination of fibrous dysplasia of bone, café-au-lait skin lesion and hyperfunctioning endocrinopathies. We report an 11-year-old boy who presented with bone pains and easy fractures with minor traumas that were treated with surgeries. He had multiple café-au-lait lesions, hypertrophic scars of prior surgeries and deformities of bones on examination and primary hyperthyroidism on investigation. His condition was initially misdiagnosed as osteogenesis imperfecta but the finding of hyperthyroidism reaffirms the diagnosis of MAS. He was treated with pamidronate, carbimazole and surgical operations to correct bony deformities.</p>","PeriodicalId":45318,"journal":{"name":"Oxford Medical Case Reports","volume":"2025 9","pages":"omaf158"},"PeriodicalIF":0.4000,"publicationDate":"2025-09-15","publicationTypes":"Journal Article","fieldsOfStudy":null,"isOpenAccess":false,"openAccessPdf":"https://www.ncbi.nlm.nih.gov/pmc/articles/PMC12448483/pdf/","citationCount":"0","resultStr":null,"platform":"Semanticscholar","paperid":null,"PeriodicalName":"Oxford Medical Case Reports","FirstCategoryId":"1085","ListUrlMain":"https://doi.org/10.1093/omcr/omaf158","RegionNum":0,"RegionCategory":null,"ArticlePicture":[],"TitleCN":null,"AbstractTextCN":null,"PMCID":null,"EPubDate":"2025/9/1 0:00:00","PubModel":"eCollection","JCR":"Q3","JCRName":"MEDICINE, GENERAL & INTERNAL","Score":null,"Total":0}
引用次数: 0

Abstract

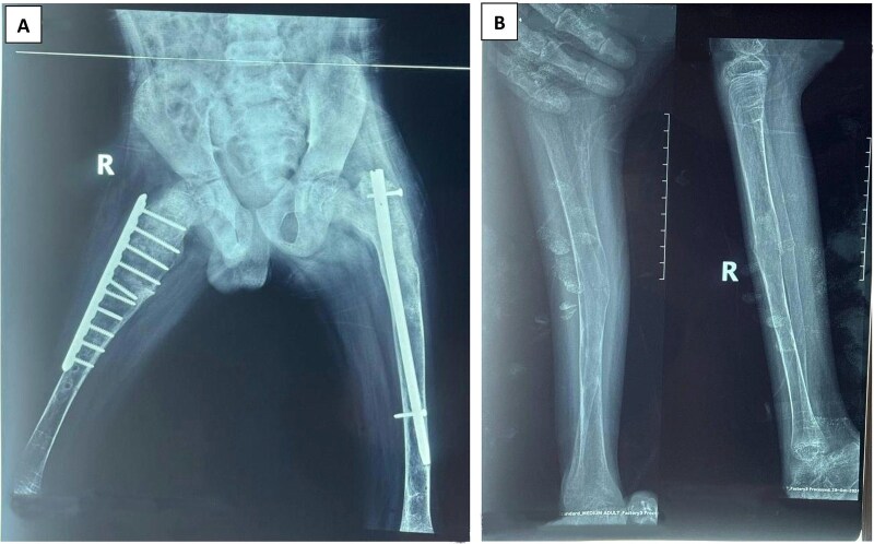
McCune-Albright syndrome (MAS) is somatic mosaicism disorder due to mutations in GNAS gene leading to a combination of fibrous dysplasia of bone, café-au-lait skin lesion and hyperfunctioning endocrinopathies. We report an 11-year-old boy who presented with bone pains and easy fractures with minor traumas that were treated with surgeries. He had multiple café-au-lait lesions, hypertrophic scars of prior surgeries and deformities of bones on examination and primary hyperthyroidism on investigation. His condition was initially misdiagnosed as osteogenesis imperfecta but the finding of hyperthyroidism reaffirms the diagnosis of MAS. He was treated with pamidronate, carbimazole and surgical operations to correct bony deformities.

Abstract Image

Abstract Image

一例罕见的麦丘内-奥尔布赖特综合征的年轻男性甲状腺机能亢进和增生性疤痕。
mcune - albright综合征(MAS)是一种由GNAS基因突变引起的躯体镶嵌性疾病,可导致骨纤维发育不良、皮肤病变和内分泌功能亢进。我们报告了一个11岁的男孩,他表现为骨痛和易骨折,并伴有轻微创伤,并接受手术治疗。经检查,他有多处卡萨梅-奥莱病变,术前增生性疤痕和骨骼畸形,调查发现他有原发性甲状腺功能亢进。他的病情最初被误诊为成骨不全,但甲状腺功能亢进的发现重申了MAS的诊断。他接受了帕米膦酸盐、卡咪唑和外科手术治疗,以纠正骨畸形。
本文章由计算机程序翻译,如有差异,请以英文原文为准。
求助全文
约1分钟内获得全文 求助全文
来源期刊
Oxford Medical Case Reports
Oxford Medical Case Reports MEDICINE, GENERAL & INTERNAL-
CiteScore
0.90
自引率
0.00%
发文量
125
审稿时长
19 weeks
期刊介绍: Oxford Medical Case Reports (OMCR) is an open access, peer-reviewed online journal publishing original and educationally valuable case reports that expand the field of medicine. The journal covers all medical specialities including cardiology, rheumatology, nephrology, oncology, neurology, and reproduction, comprising a comprehensive resource for physicians in all fields and at all stages of training. Oxford Medical Case Reports deposits all articles in PubMed Central (PMC). Physicians and researchers can find your work through PubMed , helping you reach the widest possible audience. The journal is also indexed in the Web of Science Core Collection . Oxford Medical Case Reports publishes case reports under the following categories: Allergy Audiovestibular medicine Cardiology and cardiovascular systems Critical care medicine Dermatology Emergency medicine Endocrinology and metabolism Gastroenterology and hepatology Geriatrics and gerontology Haematology Immunology Infectious diseases and tropical medicine Medical disorders in pregnancy Medical ophthalmology Nephrology Neurology Oncology Paediatrics Pain Palliative medicine Pharmacology and pharmacy Psychiatry Radiology, nuclear medicine, and medical imaging Respiratory disorders Rheumatology Sexual and reproductive health Sports Medicine Substance abuse.
×
引用
GB/T 7714-2015
复制
MLA
复制
APA
复制
导出至
BibTeX EndNote RefMan NoteFirst NoteExpress
×
提示
您的信息不完整,为了账户安全,请先补充。
现在去补充
×
提示
您因"违规操作"
具体请查看互助需知
我知道了
×
提示
确定
请完成安全验证×
copy
已复制链接
快去分享给好友吧!
我知道了
右上角分享
点击右上角分享
0
联系我们:info@booksci.cn Book学术提供免费学术资源搜索服务,方便国内外学者检索中英文文献。致力于提供最便捷和优质的服务体验。 Copyright © 2023 布克学术 All rights reserved.
京ICP备2023020795号-1
ghs 京公网安备 11010802042870号
Book学术文献互助
Book学术文献互助群
群 号:604180095
Book学术官方微信