Management of retrohepatic inferior vena cava injury during hepatectomy and an intravascular foreign body caused by surgical gauze migration: a case report.

IF 0.5 Q4 SURGERY
Journal of Surgical Case Reports Pub Date : 2025-09-17 eCollection Date: 2025-09-01 DOI:10.1093/jscr/rjaf755
Thanh Tung Lai, Hideyuki Matsushima, Hisashi Kosaka, Kosuke Matsui, Gozo Kiguchi, Hidekazu Yamamoto, Takuya Ohigashi, Hoang Hai Duong, Van Khanh Nguyen, Shuji Kariya, Masaki Kaibori
{"title":"Management of retrohepatic inferior vena cava injury during hepatectomy and an intravascular foreign body caused by surgical gauze migration: a case report.","authors":"Thanh Tung Lai, Hideyuki Matsushima, Hisashi Kosaka, Kosuke Matsui, Gozo Kiguchi, Hidekazu Yamamoto, Takuya Ohigashi, Hoang Hai Duong, Van Khanh Nguyen, Shuji Kariya, Masaki Kaibori","doi":"10.1093/jscr/rjaf755","DOIUrl":null,"url":null,"abstract":"<p><p>We report a case involving a hepatocellular carcinoma with massive bleeding from a large (retrohepatic inferior vena cava) RHIVC laceration during laparoscopic posterior sectionectomy, complicated by the exceedingly rare migration of surgical gauze into the left pulmonary artery (LPA). Hemostasis was achieved by manual compression and two anchoring Prolene sutures at both ends of the laceration, allowing effective RHIVC wall approximation. Given the low central venous pressure during hepatectomy, edge approximation significantly reduced bleeding and improved repair visibility. Postoperative imaging showed the gauze was lodged in the LPA, constituting an intravascular foreign body (IFB). The gauze was successfully retrieved via endovascular intervention without additional complications. Anchoring sutures with manual compression may be a helpful technique for managing a large RHIVC injury, and endovascular retrieval may provide a safe alternative to reoperation for a large IFB.</p>","PeriodicalId":47321,"journal":{"name":"Journal of Surgical Case Reports","volume":"2025 9","pages":"rjaf755"},"PeriodicalIF":0.5000,"publicationDate":"2025-09-17","publicationTypes":"Journal Article","fieldsOfStudy":null,"isOpenAccess":false,"openAccessPdf":"https://www.ncbi.nlm.nih.gov/pmc/articles/PMC12449575/pdf/","citationCount":"0","resultStr":null,"platform":"Semanticscholar","paperid":null,"PeriodicalName":"Journal of Surgical Case Reports","FirstCategoryId":"1085","ListUrlMain":"https://doi.org/10.1093/jscr/rjaf755","RegionNum":0,"RegionCategory":null,"ArticlePicture":[],"TitleCN":null,"AbstractTextCN":null,"PMCID":null,"EPubDate":"2025/9/1 0:00:00","PubModel":"eCollection","JCR":"Q4","JCRName":"SURGERY","Score":null,"Total":0}
引用次数: 0

Abstract

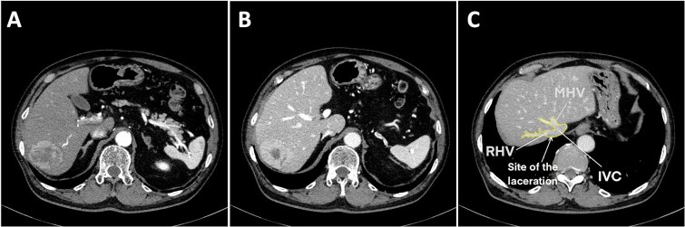
We report a case involving a hepatocellular carcinoma with massive bleeding from a large (retrohepatic inferior vena cava) RHIVC laceration during laparoscopic posterior sectionectomy, complicated by the exceedingly rare migration of surgical gauze into the left pulmonary artery (LPA). Hemostasis was achieved by manual compression and two anchoring Prolene sutures at both ends of the laceration, allowing effective RHIVC wall approximation. Given the low central venous pressure during hepatectomy, edge approximation significantly reduced bleeding and improved repair visibility. Postoperative imaging showed the gauze was lodged in the LPA, constituting an intravascular foreign body (IFB). The gauze was successfully retrieved via endovascular intervention without additional complications. Anchoring sutures with manual compression may be a helpful technique for managing a large RHIVC injury, and endovascular retrieval may provide a safe alternative to reoperation for a large IFB.

Abstract Image

Abstract Image

Abstract Image

肝切除术中肝后下腔静脉损伤及手术纱布移位致血管内异物的处理:1例报告。
我们报告一例肝细胞癌患者在腹腔镜后切开术中因肝下腔静脉裂口大出血,并伴有手术纱布迁移到左肺动脉(LPA)的罕见情况。止血是通过手动压迫和两个锚定Prolene缝线在撕裂的两端,允许有效的RHIVC壁近似。考虑到肝切除术期间中心静脉压较低,边缘近似可显著减少出血并提高修复可视性。术后影像学显示纱布卡在LPA内,构成血管内异物(IFB)。经血管内介入手术成功取出纱布,无其他并发症。人工加压的锚定缝线可能是一种有用的技术,用于处理大的RHIVC损伤,血管内回收可能为大的IFB提供了一种安全的替代手术。
本文章由计算机程序翻译,如有差异,请以英文原文为准。
求助全文
约1分钟内获得全文 求助全文
来源期刊
CiteScore
0.70
自引率
0.00%
发文量
559
审稿时长
11 weeks
×
引用
GB/T 7714-2015
复制
MLA
复制
APA
复制
导出至
BibTeX EndNote RefMan NoteFirst NoteExpress
×
提示
您的信息不完整,为了账户安全,请先补充。
现在去补充
×
提示
您因"违规操作"
具体请查看互助需知
我知道了
×
提示
确定
请完成安全验证×
copy
已复制链接
快去分享给好友吧!
我知道了
右上角分享
点击右上角分享
0
联系我们:info@booksci.cn Book学术提供免费学术资源搜索服务,方便国内外学者检索中英文文献。致力于提供最便捷和优质的服务体验。 Copyright © 2023 布克学术 All rights reserved.
京ICP备2023020795号-1
ghs 京公网安备 11010802042870号
Book学术文献互助
Book学术文献互助群
群 号:604180095
Book学术官方微信