Acute cholecystitis in H-type duplicated gallbladder: a case report.

IF 0.5 Q4 SURGERY
Journal of Surgical Case Reports Pub Date : 2025-09-15 eCollection Date: 2025-09-01 DOI:10.1093/jscr/rjaf720
Nicolas Inga-Estrada, Martin Hemeryth-Rengifo, Fritz Fidel Váscones-Román, María Claudia Hinojosa-Ríos, Percy Amador Inga-San Bartolomé
{"title":"Acute cholecystitis in H-type duplicated gallbladder: a case report.","authors":"Nicolas Inga-Estrada, Martin Hemeryth-Rengifo, Fritz Fidel Váscones-Román, María Claudia Hinojosa-Ríos, Percy Amador Inga-San Bartolomé","doi":"10.1093/jscr/rjaf720","DOIUrl":null,"url":null,"abstract":"<p><p>Gallbladder duplication is a rare congenital anomaly. Abnormal biliary anatomy is associated with an increased risk of complications, such as bile duct injury, during cholecystectomy. In this article, we present a clinical case of gallbladder duplication identified preoperatively by magnetic resonance cholangiopancreatography, which guided surgical planning. A 70-year-old man was admitted with acute cholecystitis, low-grade fever, jaundice, and dyspnea. Magnetic resonance cholangiopancreatography revealed a duplicated gallbladder (Type H). During surgery, the chronically inflamed upper gallbladder was completely resected. The larger lower gallbladder, with acute cholecystitis and a Mirizzi-like pattern, was partially resected due to severe inflammation and the inability to identify the cystic duct. The patient had an uneventful course. Gallbladder duplication is a rare congenital anomaly that may be associated with other congenital anomalies. Thorough preoperative imaging studies, meticulous surgical technique, and rigorous intraoperative monitoring are essential, as these abnormalities can lead to serious injuries.</p>","PeriodicalId":47321,"journal":{"name":"Journal of Surgical Case Reports","volume":"2025 9","pages":"rjaf720"},"PeriodicalIF":0.5000,"publicationDate":"2025-09-15","publicationTypes":"Journal Article","fieldsOfStudy":null,"isOpenAccess":false,"openAccessPdf":"https://www.ncbi.nlm.nih.gov/pmc/articles/PMC12448376/pdf/","citationCount":"0","resultStr":null,"platform":"Semanticscholar","paperid":null,"PeriodicalName":"Journal of Surgical Case Reports","FirstCategoryId":"1085","ListUrlMain":"https://doi.org/10.1093/jscr/rjaf720","RegionNum":0,"RegionCategory":null,"ArticlePicture":[],"TitleCN":null,"AbstractTextCN":null,"PMCID":null,"EPubDate":"2025/9/1 0:00:00","PubModel":"eCollection","JCR":"Q4","JCRName":"SURGERY","Score":null,"Total":0}
引用次数: 0

Abstract

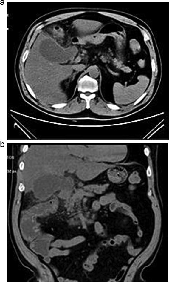
Gallbladder duplication is a rare congenital anomaly. Abnormal biliary anatomy is associated with an increased risk of complications, such as bile duct injury, during cholecystectomy. In this article, we present a clinical case of gallbladder duplication identified preoperatively by magnetic resonance cholangiopancreatography, which guided surgical planning. A 70-year-old man was admitted with acute cholecystitis, low-grade fever, jaundice, and dyspnea. Magnetic resonance cholangiopancreatography revealed a duplicated gallbladder (Type H). During surgery, the chronically inflamed upper gallbladder was completely resected. The larger lower gallbladder, with acute cholecystitis and a Mirizzi-like pattern, was partially resected due to severe inflammation and the inability to identify the cystic duct. The patient had an uneventful course. Gallbladder duplication is a rare congenital anomaly that may be associated with other congenital anomalies. Thorough preoperative imaging studies, meticulous surgical technique, and rigorous intraoperative monitoring are essential, as these abnormalities can lead to serious injuries.

Abstract Image

Abstract Image

Abstract Image

h型复制胆囊急性胆囊炎1例。
胆囊重复是一种罕见的先天性异常。胆道解剖异常与胆囊切除术中胆管损伤等并发症的风险增加有关。在这篇文章中,我们提出一个临床病例胆囊重复术前发现的磁共振胆管胰胆管造影,指导手术计划。一位70岁男性因急性胆囊炎、低烧、黄疸和呼吸困难入院。磁共振胆管造影显示一重复胆囊(H型)。在手术中,慢性发炎的上胆囊被完全切除。较大的下胆囊,伴有急性胆囊炎和mirizzi样模式,由于严重的炎症和无法识别胆囊管而部分切除。病人的治疗过程平安无事。胆囊重复是一种罕见的先天性异常,可能与其他先天性异常有关。彻底的术前影像学检查,细致的手术技术和严格的术中监测是必不可少的,因为这些异常可能导致严重的损伤。
本文章由计算机程序翻译,如有差异,请以英文原文为准。
求助全文
约1分钟内获得全文 求助全文
来源期刊
CiteScore
0.70
自引率
0.00%
发文量
559
审稿时长
11 weeks
×
引用
GB/T 7714-2015
复制
MLA
复制
APA
复制
导出至
BibTeX EndNote RefMan NoteFirst NoteExpress
×
提示
您的信息不完整,为了账户安全,请先补充。
现在去补充
×
提示
您因"违规操作"
具体请查看互助需知
我知道了
×
提示
确定
请完成安全验证×
copy
已复制链接
快去分享给好友吧!
我知道了
右上角分享
点击右上角分享
0
联系我们:info@booksci.cn Book学术提供免费学术资源搜索服务,方便国内外学者检索中英文文献。致力于提供最便捷和优质的服务体验。 Copyright © 2023 布克学术 All rights reserved.
京ICP备2023020795号-1
ghs 京公网安备 11010802042870号
Book学术文献互助
Book学术文献互助群
群 号:604180095
Book学术官方微信