Metastatic Mediastinal Germ Cell Tumour: A Florid and Fulminant Presentation.

IF 0.8 Q4 RESPIRATORY SYSTEM
Respirology Case Reports Pub Date : 2025-09-18 eCollection Date: 2025-09-01 DOI:10.1002/rcr2.70348
Zhong Xhen Khor
{"title":"Metastatic Mediastinal Germ Cell Tumour: A Florid and Fulminant Presentation.","authors":"Zhong Xhen Khor","doi":"10.1002/rcr2.70348","DOIUrl":null,"url":null,"abstract":"<p><p>A previously healthy teenager presented with acute respiratory distress and constitutional symptoms. Imaging revealed a mediastinal mass with multiple pulmonary nodules, and markedly elevated β-HCG confirmed metastatic choriocarcinoma. Despite urgent chemotherapy, he succumbed within a week. This case underscores its rarity, diagnostic challenge, and dismal prognosis in tuberculosis-endemic regions.</p>","PeriodicalId":45846,"journal":{"name":"Respirology Case Reports","volume":"13 9","pages":"e70348"},"PeriodicalIF":0.8000,"publicationDate":"2025-09-18","publicationTypes":"Journal Article","fieldsOfStudy":null,"isOpenAccess":false,"openAccessPdf":"https://www.ncbi.nlm.nih.gov/pmc/articles/PMC12444773/pdf/","citationCount":"0","resultStr":null,"platform":"Semanticscholar","paperid":null,"PeriodicalName":"Respirology Case Reports","FirstCategoryId":"1085","ListUrlMain":"https://doi.org/10.1002/rcr2.70348","RegionNum":0,"RegionCategory":null,"ArticlePicture":[],"TitleCN":null,"AbstractTextCN":null,"PMCID":null,"EPubDate":"2025/9/1 0:00:00","PubModel":"eCollection","JCR":"Q4","JCRName":"RESPIRATORY SYSTEM","Score":null,"Total":0}
引用次数: 0

Abstract

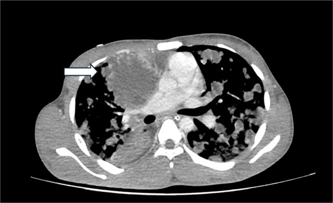
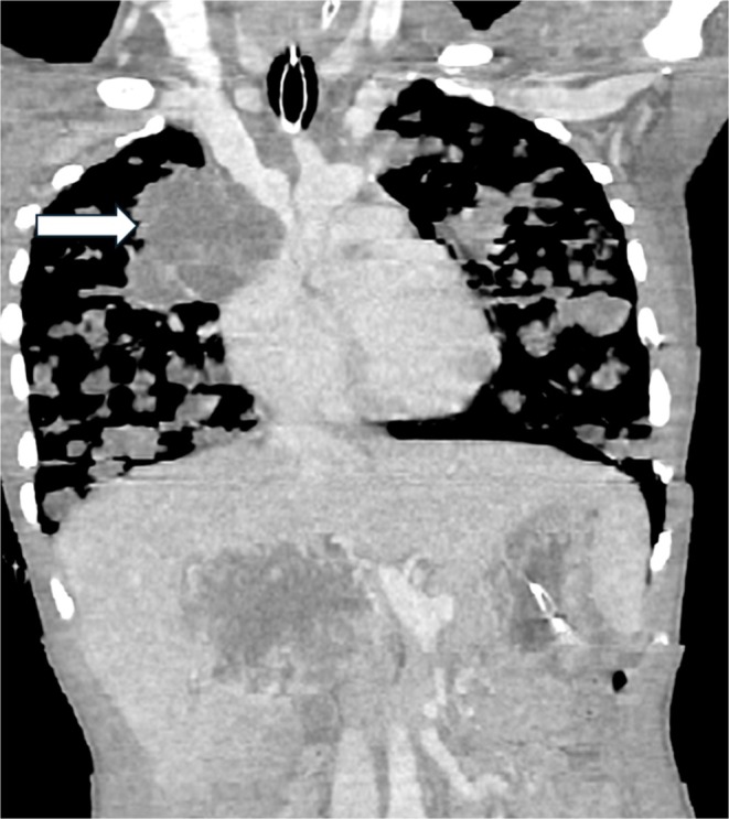
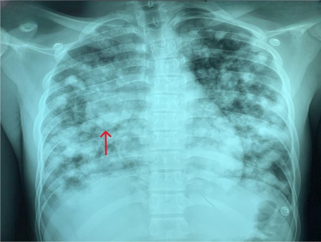
A previously healthy teenager presented with acute respiratory distress and constitutional symptoms. Imaging revealed a mediastinal mass with multiple pulmonary nodules, and markedly elevated β-HCG confirmed metastatic choriocarcinoma. Despite urgent chemotherapy, he succumbed within a week. This case underscores its rarity, diagnostic challenge, and dismal prognosis in tuberculosis-endemic regions.

Abstract Image

Abstract Image

Abstract Image

转移性纵隔生殖细胞瘤:一种丰富而暴发性的表现。
先前健康的青少年出现急性呼吸窘迫和体质症状。影像学显示纵隔肿块伴多发肺结节,明显升高的β-HCG证实为转移性绒毛膜癌。尽管进行了紧急化疗,他还是在一周内去世了。该病例强调了其在结核病流行地区的罕见性、诊断挑战和预后不佳。
本文章由计算机程序翻译,如有差异,请以英文原文为准。
求助全文
约1分钟内获得全文 求助全文
来源期刊
Respirology Case Reports
Respirology Case Reports RESPIRATORY SYSTEM-
CiteScore
1.40
自引率
0.00%
发文量
178
审稿时长
8 weeks
期刊介绍: Respirology Case Reports is an open-access online journal dedicated to the publication of original clinical case reports, case series, clinical images and clinical videos in all fields of respiratory medicine. The Journal encourages the international exchange between clinicians and researchers of experiences in diagnosing and treating uncommon diseases or diseases with unusual presentations. All manuscripts are peer-reviewed through a streamlined process that aims at providing a rapid turnaround time from submission to publication.
×
引用
GB/T 7714-2015
复制
MLA
复制
APA
复制
导出至
BibTeX EndNote RefMan NoteFirst NoteExpress
×
提示
您的信息不完整,为了账户安全,请先补充。
现在去补充
×
提示
您因"违规操作"
具体请查看互助需知
我知道了
×
提示
确定
请完成安全验证×
copy
已复制链接
快去分享给好友吧!
我知道了
右上角分享
点击右上角分享
0
联系我们:info@booksci.cn Book学术提供免费学术资源搜索服务,方便国内外学者检索中英文文献。致力于提供最便捷和优质的服务体验。 Copyright © 2023 布克学术 All rights reserved.
京ICP备2023020795号-1
ghs 京公网安备 11010802042870号
Book学术文献互助
Book学术文献互助群
群 号:604180095
Book学术官方微信