Navigating neurological re-emergence in feline infectious peritonitis: challenges and insights from GS-441524 and remdesivir treatment.

IF 0.7 Q3 VETERINARY SCIENCES
Journal of Feline Medicine and Surgery Open Reports Pub Date : 2025-09-19 eCollection Date: 2025-07-01 DOI:10.1177/20551169251360625
Celia C de Witt Curtius, Maxime Rodary, Regina Hofmann-Lehmann, Andrea M Spiri, Marina L Meli, Aline Crespo Bouzon, Jennifer Wenk, Ilaria Cerchiaro, Benita Pineroli, Simon A Pot, Katrin Beckmann, Tatjana Chan, Manuela Wieser, Stefan Unterer, Sandra Felten, Solène M Meunier
{"title":"Navigating neurological re-emergence in feline infectious peritonitis: challenges and insights from GS-441524 and remdesivir treatment.","authors":"Celia C de Witt Curtius, Maxime Rodary, Regina Hofmann-Lehmann, Andrea M Spiri, Marina L Meli, Aline Crespo Bouzon, Jennifer Wenk, Ilaria Cerchiaro, Benita Pineroli, Simon A Pot, Katrin Beckmann, Tatjana Chan, Manuela Wieser, Stefan Unterer, Sandra Felten, Solène M Meunier","doi":"10.1177/20551169251360625","DOIUrl":null,"url":null,"abstract":"<p><strong>Case summary: </strong>A 6-month-old male British Longhair cat presented with acute neurological signs, ocular changes, massive ascites and laboratory parameters consistent with feline infectious peritonitis (FIP). Systemic and neurological signs fully resolved with initial treatment (GS-441524; BOVA UK [15 mg/kg PO q24h for 42 days], levetiracetam [20 mg/kg q8h] and prednisolone [1 mg/kg q24h until day 21]). Lethargy and fever reappeared 17 days after treatment. Four days later, severe multifocal neurological signs re-emerged. High-field MRI revealed multifocal intra-axial and intramedullary lesions in the brainstem and cervical spinal cord, severe meningitis and generalised mild ventriculomegaly. Feline coronavirus (FCoV) RNA was detected in the cerebrospinal fluid by reverse transcription quantitative PCR (RT-qPCR). Abdominal effusion was absent. Serum alpha-1-acid glycoprotein (AGP) was again elevated. FIP re-emergence was suspected, and antiviral treatment was resumed. After 1 day of GS-441524 treatment (15 mg/kg PO q24h), severe hypoventilation developed, requiring intubation and mechanical ventilation for 1.5 days. Treatment was switched to remdesivir (16.7 mg/kg IV q24h, Veklury; Gilead) for 4 days. Oral GS-441524 was then reintroduced (10 mg/kg q12h) and continued until day 84. Treatment resulted in partial recovery with moderate ataxia and reduced left-sided menace response remaining 181 days after starting the second treatment.</p><p><strong>Relevance and novel information: </strong>This case illustrates the complexity of diagnosing and treating re-emerging FIP-associated neurological signs. AGP monitoring offers a promising non-invasive approach for early detection of relapse. By adapting short- and long-term antiviral treatment and providing intensive care, excellent long-term outcomes can be obtained for cats with severe relapsing FIP-related neurological signs.</p>","PeriodicalId":36588,"journal":{"name":"Journal of Feline Medicine and Surgery Open Reports","volume":"11 2","pages":"20551169251360625"},"PeriodicalIF":0.7000,"publicationDate":"2025-09-19","publicationTypes":"Journal Article","fieldsOfStudy":null,"isOpenAccess":false,"openAccessPdf":"https://www.ncbi.nlm.nih.gov/pmc/articles/PMC12449627/pdf/","citationCount":"0","resultStr":null,"platform":"Semanticscholar","paperid":null,"PeriodicalName":"Journal of Feline Medicine and Surgery Open Reports","FirstCategoryId":"1085","ListUrlMain":"https://doi.org/10.1177/20551169251360625","RegionNum":0,"RegionCategory":null,"ArticlePicture":[],"TitleCN":null,"AbstractTextCN":null,"PMCID":null,"EPubDate":"2025/7/1 0:00:00","PubModel":"eCollection","JCR":"Q3","JCRName":"VETERINARY SCIENCES","Score":null,"Total":0}
引用次数: 0

Abstract

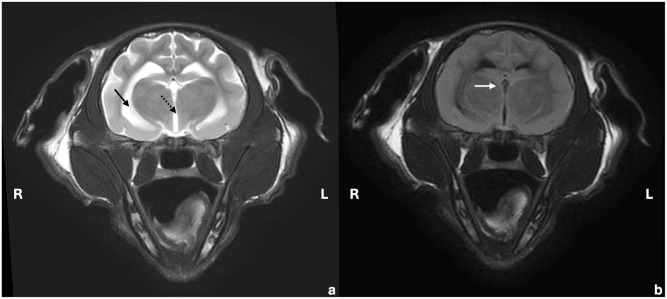
Case summary: A 6-month-old male British Longhair cat presented with acute neurological signs, ocular changes, massive ascites and laboratory parameters consistent with feline infectious peritonitis (FIP). Systemic and neurological signs fully resolved with initial treatment (GS-441524; BOVA UK [15 mg/kg PO q24h for 42 days], levetiracetam [20 mg/kg q8h] and prednisolone [1 mg/kg q24h until day 21]). Lethargy and fever reappeared 17 days after treatment. Four days later, severe multifocal neurological signs re-emerged. High-field MRI revealed multifocal intra-axial and intramedullary lesions in the brainstem and cervical spinal cord, severe meningitis and generalised mild ventriculomegaly. Feline coronavirus (FCoV) RNA was detected in the cerebrospinal fluid by reverse transcription quantitative PCR (RT-qPCR). Abdominal effusion was absent. Serum alpha-1-acid glycoprotein (AGP) was again elevated. FIP re-emergence was suspected, and antiviral treatment was resumed. After 1 day of GS-441524 treatment (15 mg/kg PO q24h), severe hypoventilation developed, requiring intubation and mechanical ventilation for 1.5 days. Treatment was switched to remdesivir (16.7 mg/kg IV q24h, Veklury; Gilead) for 4 days. Oral GS-441524 was then reintroduced (10 mg/kg q12h) and continued until day 84. Treatment resulted in partial recovery with moderate ataxia and reduced left-sided menace response remaining 181 days after starting the second treatment.

Relevance and novel information: This case illustrates the complexity of diagnosing and treating re-emerging FIP-associated neurological signs. AGP monitoring offers a promising non-invasive approach for early detection of relapse. By adapting short- and long-term antiviral treatment and providing intensive care, excellent long-term outcomes can be obtained for cats with severe relapsing FIP-related neurological signs.

Abstract Image

Abstract Image

Abstract Image

引导猫感染性腹膜炎的神经系统复发:GS-441524和瑞德西韦治疗的挑战和见解
病例总结:一只6个月大的雄性英国长毛猫出现急性神经系统症状,眼部改变,大量腹水和实验室参数符合猫感染性腹膜炎(FIP)。初始治疗(GS-441524; BOVA UK [15 mg/kg PO q24h,连用42天]、左乙乙坦[20 mg/kg q8h]和强的松龙[1 mg/kg q24h,连用21天])后,全身和神经系统症状完全缓解。治疗后第17天再次出现嗜睡和发热。四天后,严重的多灶性神经症状再次出现。高场MRI显示脑干和颈脊髓多灶轴内和髓内病变,严重脑膜炎和广泛性轻度脑室肿大。采用逆转录定量PCR (RT-qPCR)方法检测脑脊液中猫冠状病毒(FCoV) RNA。腹部未见积液。血清α -1-酸性糖蛋白(AGP)再次升高。怀疑FIP再次出现,恢复抗病毒治疗。GS-441524治疗1天后(15mg /kg PO q24h)出现严重低通气,需要插管和机械通气1.5天。治疗转为瑞德西韦(16.7 mg/kg IV q24h, Veklury; Gilead),持续4天。然后重新引入口服GS-441524 (10 mg/kg q12h)并持续到第84天。第二次治疗后181天,患者部分恢复,伴有中度共济失调,左侧威胁反应减少。相关性和新信息:这个病例说明了诊断和治疗再出现的fip相关神经症状的复杂性。AGP监测为早期发现复发提供了一种有希望的非侵入性方法。通过适应短期和长期抗病毒治疗并提供重症监护,可以为患有严重复发的fip相关神经症状的猫获得良好的长期预后。
本文章由计算机程序翻译,如有差异,请以英文原文为准。
求助全文
约1分钟内获得全文 求助全文
来源期刊
CiteScore
1.30
自引率
14.30%
发文量
57
审稿时长
15 weeks
×
引用
GB/T 7714-2015
复制
MLA
复制
APA
复制
导出至
BibTeX EndNote RefMan NoteFirst NoteExpress
×
提示
您的信息不完整,为了账户安全,请先补充。
现在去补充
×
提示
您因"违规操作"
具体请查看互助需知
我知道了
×
提示
确定
请完成安全验证×
copy
已复制链接
快去分享给好友吧!
我知道了
右上角分享
点击右上角分享
0
联系我们:info@booksci.cn Book学术提供免费学术资源搜索服务,方便国内外学者检索中英文文献。致力于提供最便捷和优质的服务体验。 Copyright © 2023 布克学术 All rights reserved.
京ICP备2023020795号-1
ghs 京公网安备 11010802042870号
Book学术文献互助
Book学术文献互助群
群 号:604180095
Book学术官方微信