Morinda officinalis oligosaccharides alleviated mice chronic unpredictable mild stress induced sexual dysfunction.

IF 2 3区 医学 Q1 MEDICINE, GENERAL & INTERNAL
Sexual Medicine Pub Date : 2025-09-15 eCollection Date: 2025-08-01 DOI:10.1093/sexmed/qfaf074
Tingqiao Wang, Zixuan Liu, Mengjie He, You Wu, Zeping Zuo, Hongkai Li, Zhiwei Zhao, Liangyu Lv, Xueling Dai, Chaohua Zhang, Yaxuan Sun
{"title":"Morinda officinalis oligosaccharides alleviated mice chronic unpredictable mild stress induced sexual dysfunction.","authors":"Tingqiao Wang, Zixuan Liu, Mengjie He, You Wu, Zeping Zuo, Hongkai Li, Zhiwei Zhao, Liangyu Lv, Xueling Dai, Chaohua Zhang, Yaxuan Sun","doi":"10.1093/sexmed/qfaf074","DOIUrl":null,"url":null,"abstract":"<p><strong>Background: </strong>Chronic stress can not only lead to depression-like behavior but also sexual dysfunction. Morinda officinalis oligosaccharides (MOO) is a formula of traditional Chinese medicine commonly used in invigorating the kidney and strengthening Yang, and relieving depression.</p><p><strong>Aim: </strong>This study was designed to explore the effects and mechanisms of MOO in treating chronic stress-induced depression as well as sexual dysfunction.</p><p><strong>Methods: </strong>The sucrose preference test, forced swimming test (FST) and novelty-suppressed feeding test (NSFT) were carried out to evaluate the depression status. Sexual behavior was tested on all mice, then the extent of damage to the testicles and epididymis was assessed by H&E staining; Serum sex hormone and neurotransmitters were assessed in the plasma by Enzyme-Linked Immunosorbent Assay. The testicular tissues were applied with the kit for the detection of antioxidant-related indexes and reproductive-related hormones.</p><p><strong>Outcomes: </strong>The study evaluates the effects of MOO on depression-like behaviors and sexual function levels in CUMS-induced mice by analyzing the behavioral tests, histopathological staining of testis and epididymis, sex hormones, antioxidant capacity, neurotransmitter levels, and sexual behavior abilities of mice in each group.</p><p><strong>Results: </strong>CUMS led to mice depression and plasma neurotransmitter levels decreased. Accompanying sexual dysfunction in depressed mice was also manifested in many aspects. Compared with the control group, the capture latency and mount latency of male mice in model group were significantly prolonged. HE showed that testicular and epididymal tissues of mice in the CUMS group were severely vacuolated. Testicular marker enzymes, antioxidant indexes and sex hormones were disorganized. The sperm concentration and viability in the epididymis of the mice in model group were significantly reduced. It was suggested that MOO could improve the damage caused by CUMS, and improve the sperm quality of the model mice.</p><p><strong>Clinical translation: </strong>MOO are promising to be translated into a potential therapeutic drug for clinically improving chronic stress-related depression and sexual dysfunction.</p><p><strong>Strengths and limitations: </strong>Multi-dimensional verification confirms that MOO can effectively alleviate depressive states and sexual dysfunction in CUMS-induced mice. Future studies should explore the in-depth mechanisms underlying its antidepressant and anti-sexual dysfunction effects based on relevant signaling pathways.</p><p><strong>Conclusion: </strong>These results suggest that MOO can regulate sexual dysfunction and play a protective role in neurodevelopment during CUMS by regulating sex hormones.</p>","PeriodicalId":21782,"journal":{"name":"Sexual Medicine","volume":"13 4","pages":"qfaf074"},"PeriodicalIF":2.0000,"publicationDate":"2025-09-15","publicationTypes":"Journal Article","fieldsOfStudy":null,"isOpenAccess":false,"openAccessPdf":"https://www.ncbi.nlm.nih.gov/pmc/articles/PMC12448384/pdf/","citationCount":"0","resultStr":null,"platform":"Semanticscholar","paperid":null,"PeriodicalName":"Sexual Medicine","FirstCategoryId":"3","ListUrlMain":"https://doi.org/10.1093/sexmed/qfaf074","RegionNum":3,"RegionCategory":"医学","ArticlePicture":[],"TitleCN":null,"AbstractTextCN":null,"PMCID":null,"EPubDate":"2025/8/1 0:00:00","PubModel":"eCollection","JCR":"Q1","JCRName":"MEDICINE, GENERAL & INTERNAL","Score":null,"Total":0}
引用次数: 0

Abstract

Background: Chronic stress can not only lead to depression-like behavior but also sexual dysfunction. Morinda officinalis oligosaccharides (MOO) is a formula of traditional Chinese medicine commonly used in invigorating the kidney and strengthening Yang, and relieving depression.

Aim: This study was designed to explore the effects and mechanisms of MOO in treating chronic stress-induced depression as well as sexual dysfunction.

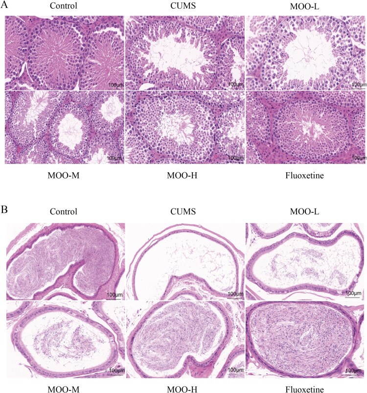
Methods: The sucrose preference test, forced swimming test (FST) and novelty-suppressed feeding test (NSFT) were carried out to evaluate the depression status. Sexual behavior was tested on all mice, then the extent of damage to the testicles and epididymis was assessed by H&E staining; Serum sex hormone and neurotransmitters were assessed in the plasma by Enzyme-Linked Immunosorbent Assay. The testicular tissues were applied with the kit for the detection of antioxidant-related indexes and reproductive-related hormones.

Outcomes: The study evaluates the effects of MOO on depression-like behaviors and sexual function levels in CUMS-induced mice by analyzing the behavioral tests, histopathological staining of testis and epididymis, sex hormones, antioxidant capacity, neurotransmitter levels, and sexual behavior abilities of mice in each group.

Results: CUMS led to mice depression and plasma neurotransmitter levels decreased. Accompanying sexual dysfunction in depressed mice was also manifested in many aspects. Compared with the control group, the capture latency and mount latency of male mice in model group were significantly prolonged. HE showed that testicular and epididymal tissues of mice in the CUMS group were severely vacuolated. Testicular marker enzymes, antioxidant indexes and sex hormones were disorganized. The sperm concentration and viability in the epididymis of the mice in model group were significantly reduced. It was suggested that MOO could improve the damage caused by CUMS, and improve the sperm quality of the model mice.

Clinical translation: MOO are promising to be translated into a potential therapeutic drug for clinically improving chronic stress-related depression and sexual dysfunction.

Strengths and limitations: Multi-dimensional verification confirms that MOO can effectively alleviate depressive states and sexual dysfunction in CUMS-induced mice. Future studies should explore the in-depth mechanisms underlying its antidepressant and anti-sexual dysfunction effects based on relevant signaling pathways.

Conclusion: These results suggest that MOO can regulate sexual dysfunction and play a protective role in neurodevelopment during CUMS by regulating sex hormones.

Abstract Image

Abstract Image

Abstract Image

桑葚低聚糖减轻小鼠慢性不可预测的轻度应激性性功能障碍。
背景:慢性应激不仅会导致抑郁样行为,还会导致性功能障碍。桑椹寡糖(MOO)是一种常用的补肾阳虚、解郁解闷的中药配方。目的:探讨MOO对慢性应激性抑郁、性功能障碍的治疗作用及机制。方法:采用蔗糖偏好试验、强迫游泳试验(FST)和新奇性抑制进食试验(NSFT)评价抑郁状态。对所有小鼠进行性行为测试,然后用H&E染色法评估睾丸和附睾的损伤程度;采用酶联免疫吸附法测定血清性激素和血浆神经递质。应用试剂盒检测睾丸组织抗氧化相关指标和生殖相关激素。结果:本研究通过分析各组小鼠的行为学试验、睾丸和附睾的组织病理学染色、性激素、抗氧化能力、神经递质水平和性行为能力,评价MOO对cms诱导小鼠抑郁样行为和性功能水平的影响。结果:CUMS导致小鼠抑郁,血浆神经递质水平下降。抑郁症小鼠伴发性功能障碍也表现在多个方面。与对照组比较,模型组雄鼠捕获潜伏期和骑鼠潜伏期均明显延长。HE显示,CUMS组小鼠睾丸和附睾组织出现严重空泡。睾丸标记酶、抗氧化指标和性激素紊乱。模型组小鼠附睾精子浓度和活力明显降低。提示MOO可改善CUMS损伤,改善模型小鼠精子质量。临床转化:MOO有望转化为一种潜在的治疗药物,用于临床改善慢性应激相关性抑郁症和性功能障碍。优势与局限性:多维度验证证实MOO能有效缓解cms诱导小鼠的抑郁状态和性功能障碍。未来的研究应基于相关信号通路深入探索其抗抑郁和抗性功能障碍作用的机制。结论:MOO可通过调节性激素调节CUMS期间的性功能障碍,并对神经发育起到保护作用。
本文章由计算机程序翻译,如有差异,请以英文原文为准。
求助全文
约1分钟内获得全文 求助全文
来源期刊
Sexual Medicine
Sexual Medicine MEDICINE, GENERAL & INTERNAL-
CiteScore
5.40
自引率
0.00%
发文量
103
审稿时长
22 weeks
期刊介绍: Sexual Medicine is an official publication of the International Society for Sexual Medicine, and serves the field as the peer-reviewed, open access journal for rapid dissemination of multidisciplinary clinical and basic research in all areas of global sexual medicine, and particularly acts as a venue for topics of regional or sub-specialty interest. The journal is focused on issues in clinical medicine and epidemiology but also publishes basic science papers with particular relevance to specific populations. Sexual Medicine offers clinicians and researchers a rapid route to publication and the opportunity to publish in a broadly distributed and highly visible global forum. The journal publishes high quality articles from all over the world and actively seeks submissions from countries with expanding sexual medicine communities. Sexual Medicine relies on the same expert panel of editors and reviewers as The Journal of Sexual Medicine and Sexual Medicine Reviews.
×
引用
GB/T 7714-2015
复制
MLA
复制
APA
复制
导出至
BibTeX EndNote RefMan NoteFirst NoteExpress
×
提示
您的信息不完整,为了账户安全,请先补充。
现在去补充
×
提示
您因"违规操作"
具体请查看互助需知
我知道了
×
提示
确定
请完成安全验证×
copy
已复制链接
快去分享给好友吧!
我知道了
右上角分享
点击右上角分享
0
联系我们:info@booksci.cn Book学术提供免费学术资源搜索服务,方便国内外学者检索中英文文献。致力于提供最便捷和优质的服务体验。 Copyright © 2023 布克学术 All rights reserved.
京ICP备2023020795号-1
ghs 京公网安备 11010802042870号
Book学术文献互助
Book学术文献互助群
群 号:604180095
Book学术官方微信