Triple Threat: SLE, APS, and Clotting Factor Abnormalities Leading to Subacute Budd-Chiari Syndrome. A Case Report and Review of the Literature.

IF 0.6 Q3 MEDICINE, GENERAL & INTERNAL
Clinical Medicine Insights. Case Reports Pub Date : 2025-09-17 eCollection Date: 2025-01-01 DOI:10.1177/11795476251377952
Khadija Malik, Areeb Jawed, Muddassir Syed Saleem, Nidal Bin Kamran, Laiba Shahbaz
{"title":"Triple Threat: SLE, APS, and Clotting Factor Abnormalities Leading to Subacute Budd-Chiari Syndrome. A Case Report and Review of the Literature.","authors":"Khadija Malik, Areeb Jawed, Muddassir Syed Saleem, Nidal Bin Kamran, Laiba Shahbaz","doi":"10.1177/11795476251377952","DOIUrl":null,"url":null,"abstract":"<p><strong>Background: </strong>This report presents a unique case of subacute BCS in a patient with systemic lupus erythematosus (SLE), antiphospholipid syndrome (APS), and multiple inherited thrombophilic disorders No previous history and lack of inciting events meant extensive investigation had to be done to figure out the underlying pathology. The amalgam of thrombophilias presenting initially as Sub-Acute Budd Chiari syndrome is very rare to find in the literature and highlights the importance of early screening and diagnosis to prevent complications of Thrombosis.</p><p><strong>Case presentation: </strong>The patient presented with a 3 months history of progressive abdominal distension, hematemesis, and altered consciousness. The diagnosis made was Sub-Acute Budd Chiari Syndrome. The patient was managed with anticoagulation, diuretics, and symptomatic treatment. After stabilization the patient was discharged for follow-up after 2 weeks.</p><p><strong>Conclusion and key take-away lessons: </strong>This case highlights the diagnostic challenges of BCS, particularly in patients with hereditary hypercoagulability. Early recognition and management are critical in preventing severe complications of thrombosis. Moreover, it underscores the impact of limited healthcare access in rural settings, emphasizing the need for improved screening, awareness, and targeted interventions for thrombophilic disorders with a set diagnostic criteria for sub-acute presentation.</p>","PeriodicalId":10357,"journal":{"name":"Clinical Medicine Insights. Case Reports","volume":"18 ","pages":"11795476251377952"},"PeriodicalIF":0.6000,"publicationDate":"2025-09-17","publicationTypes":"Journal Article","fieldsOfStudy":null,"isOpenAccess":false,"openAccessPdf":"https://www.ncbi.nlm.nih.gov/pmc/articles/PMC12446807/pdf/","citationCount":"0","resultStr":null,"platform":"Semanticscholar","paperid":null,"PeriodicalName":"Clinical Medicine Insights. Case Reports","FirstCategoryId":"1085","ListUrlMain":"https://doi.org/10.1177/11795476251377952","RegionNum":0,"RegionCategory":null,"ArticlePicture":[],"TitleCN":null,"AbstractTextCN":null,"PMCID":null,"EPubDate":"2025/1/1 0:00:00","PubModel":"eCollection","JCR":"Q3","JCRName":"MEDICINE, GENERAL & INTERNAL","Score":null,"Total":0}
引用次数: 0

Abstract

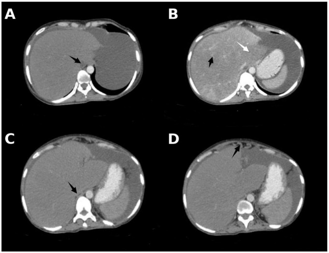
Background: This report presents a unique case of subacute BCS in a patient with systemic lupus erythematosus (SLE), antiphospholipid syndrome (APS), and multiple inherited thrombophilic disorders No previous history and lack of inciting events meant extensive investigation had to be done to figure out the underlying pathology. The amalgam of thrombophilias presenting initially as Sub-Acute Budd Chiari syndrome is very rare to find in the literature and highlights the importance of early screening and diagnosis to prevent complications of Thrombosis.

Case presentation: The patient presented with a 3 months history of progressive abdominal distension, hematemesis, and altered consciousness. The diagnosis made was Sub-Acute Budd Chiari Syndrome. The patient was managed with anticoagulation, diuretics, and symptomatic treatment. After stabilization the patient was discharged for follow-up after 2 weeks.

Conclusion and key take-away lessons: This case highlights the diagnostic challenges of BCS, particularly in patients with hereditary hypercoagulability. Early recognition and management are critical in preventing severe complications of thrombosis. Moreover, it underscores the impact of limited healthcare access in rural settings, emphasizing the need for improved screening, awareness, and targeted interventions for thrombophilic disorders with a set diagnostic criteria for sub-acute presentation.

Abstract Image

Abstract Image

Abstract Image

三重威胁:SLE、APS和凝血因子异常导致亚急性布-恰里综合征。一例病例报告及文献回顾。
背景:本报告报告了一个独特的亚急性BCS病例,患者患有系统性红斑狼疮(SLE)、抗磷脂综合征(APS)和多种遗传性血栓性疾病。没有既往病史和缺乏刺激事件意味着必须进行广泛的调查以找出潜在的病理。在文献中,以亚急性Budd - Chiari综合征为首发表现的嗜血栓患者的汞合金是非常罕见的,这突出了早期筛查和诊断对预防血栓并发症的重要性。病例表现:患者有3个月进行性腹胀、呕血和意识改变的病史。诊断为亚急性Budd - Chiari综合征。患者给予抗凝、利尿剂和对症治疗。病情稳定后,患者于2周后出院接受随访。结论和关键教训:本病例突出了BCS的诊断挑战,特别是在遗传性高凝性患者中。早期识别和处理是预防血栓形成严重并发症的关键。此外,它强调了农村地区有限的医疗保健机会的影响,强调需要改进对具有亚急性表现的一套诊断标准的血栓性疾病的筛查、认识和有针对性的干预措施。
本文章由计算机程序翻译,如有差异,请以英文原文为准。
求助全文
约1分钟内获得全文 求助全文
来源期刊
Clinical Medicine Insights. Case Reports
Clinical Medicine Insights. Case Reports MEDICINE, GENERAL & INTERNAL-
CiteScore
1.10
自引率
0.00%
发文量
57
审稿时长
8 weeks
×
引用
GB/T 7714-2015
复制
MLA
复制
APA
复制
导出至
BibTeX EndNote RefMan NoteFirst NoteExpress
×
提示
您的信息不完整,为了账户安全,请先补充。
现在去补充
×
提示
您因"违规操作"
具体请查看互助需知
我知道了
×
提示
确定
请完成安全验证×
copy
已复制链接
快去分享给好友吧!
我知道了
右上角分享
点击右上角分享
0
联系我们:info@booksci.cn Book学术提供免费学术资源搜索服务,方便国内外学者检索中英文文献。致力于提供最便捷和优质的服务体验。 Copyright © 2023 布克学术 All rights reserved.
京ICP备2023020795号-1
ghs 京公网安备 11010802042870号
Book学术文献互助
Book学术文献互助群
群 号:604180095
Book学术官方微信