Uncommon Presentation of Lepromatous Leprosy in a Nonendemic Setting: A Case Report.

IF 0.7 Q3 MEDICINE, GENERAL & INTERNAL
Case Reports in Medicine Pub Date : 2025-09-12 eCollection Date: 2025-01-01 DOI:10.1155/carm/8232445
Mhdia Elhadi Osman, Tareq Nafea Alharby, Yasser Alhabeeb, Ayman Elshenawy, Hala Ghazi Alreshidi, Saja Saleem Saja Saleem Alhayeti, Areej Alhumaidi Alshammari
{"title":"Uncommon Presentation of Lepromatous Leprosy in a Nonendemic Setting: A Case Report.","authors":"Mhdia Elhadi Osman, Tareq Nafea Alharby, Yasser Alhabeeb, Ayman Elshenawy, Hala Ghazi Alreshidi, Saja Saleem Saja Saleem Alhayeti, Areej Alhumaidi Alshammari","doi":"10.1155/carm/8232445","DOIUrl":null,"url":null,"abstract":"<p><p>Leprosy, caused by <i>Mycobacterium leprae</i>, remains a significant public health concern in certain endemic regions, but it is rarely encountered in nonendemic areas, posing diagnostic challenges. This case report discusses an unusual presentation of lepromatous leprosy in a patient residing in Saudi Arabia with no history of travel to endemic regions. The patient's clinical features were atypical, lacking the classic neurological involvement and sensation loss commonly associated with leprosy. Definitive diagnosis was achieved through histopathological examination revealing diffuse histiocytic infiltrates, a grenz zone, and acid-fast bacilli confirmed by modified Ziehl-Neelsen staining. The patient responded well to multidrug therapy according to WHO guidelines. This case highlights the importance of maintaining high clinical suspicion, utilizing appropriate diagnostic techniques, and understanding the epidemiological complexities of leprosy in low-prevalence settings. Strengthening awareness and surveillance is essential to prevent underdiagnosis and curb transmission in nonendemic regions.</p>","PeriodicalId":9627,"journal":{"name":"Case Reports in Medicine","volume":"2025 ","pages":"8232445"},"PeriodicalIF":0.7000,"publicationDate":"2025-09-12","publicationTypes":"Journal Article","fieldsOfStudy":null,"isOpenAccess":false,"openAccessPdf":"https://www.ncbi.nlm.nih.gov/pmc/articles/PMC12449093/pdf/","citationCount":"0","resultStr":null,"platform":"Semanticscholar","paperid":null,"PeriodicalName":"Case Reports in Medicine","FirstCategoryId":"1085","ListUrlMain":"https://doi.org/10.1155/carm/8232445","RegionNum":0,"RegionCategory":null,"ArticlePicture":[],"TitleCN":null,"AbstractTextCN":null,"PMCID":null,"EPubDate":"2025/1/1 0:00:00","PubModel":"eCollection","JCR":"Q3","JCRName":"MEDICINE, GENERAL & INTERNAL","Score":null,"Total":0}
引用次数: 0

Abstract

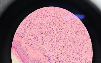
Leprosy, caused by Mycobacterium leprae, remains a significant public health concern in certain endemic regions, but it is rarely encountered in nonendemic areas, posing diagnostic challenges. This case report discusses an unusual presentation of lepromatous leprosy in a patient residing in Saudi Arabia with no history of travel to endemic regions. The patient's clinical features were atypical, lacking the classic neurological involvement and sensation loss commonly associated with leprosy. Definitive diagnosis was achieved through histopathological examination revealing diffuse histiocytic infiltrates, a grenz zone, and acid-fast bacilli confirmed by modified Ziehl-Neelsen staining. The patient responded well to multidrug therapy according to WHO guidelines. This case highlights the importance of maintaining high clinical suspicion, utilizing appropriate diagnostic techniques, and understanding the epidemiological complexities of leprosy in low-prevalence settings. Strengthening awareness and surveillance is essential to prevent underdiagnosis and curb transmission in nonendemic regions.

Abstract Image

Abstract Image

麻风性麻风在非地方性环境中的罕见表现:1例报告。
由麻风分枝杆菌引起的麻风,在某些流行地区仍然是一个重大的公共卫生问题,但在非流行地区很少遇到,构成诊断挑战。本病例报告讨论了居住在沙特阿拉伯的一名没有到流行地区旅行史的患者的麻风性麻风的不寻常表现。患者的临床特征是非典型的,缺乏与麻风病相关的典型神经系统受累和感觉丧失。最终诊断是通过组织病理学检查,发现弥漫性组织细胞浸润,格伦兹区和改良Ziehl-Neelsen染色证实的抗酸杆菌。根据世卫组织指南,该患者对多药治疗反应良好。该病例强调了在低流行环境中保持高度临床怀疑、利用适当诊断技术和了解麻风病流行病学复杂性的重要性。加强认识和监测对于预防诊断不足和遏制非流行地区的传播至关重要。
本文章由计算机程序翻译,如有差异,请以英文原文为准。
求助全文
约1分钟内获得全文 求助全文
来源期刊
Case Reports in Medicine
Case Reports in Medicine MEDICINE, GENERAL & INTERNAL-
CiteScore
1.70
自引率
0.00%
发文量
53
审稿时长
13 weeks
×
引用
GB/T 7714-2015
复制
MLA
复制
APA
复制
导出至
BibTeX EndNote RefMan NoteFirst NoteExpress
×
提示
您的信息不完整,为了账户安全,请先补充。
现在去补充
×
提示
您因"违规操作"
具体请查看互助需知
我知道了
×
提示
确定
请完成安全验证×
copy
已复制链接
快去分享给好友吧!
我知道了
右上角分享
点击右上角分享
0
联系我们:info@booksci.cn Book学术提供免费学术资源搜索服务,方便国内外学者检索中英文文献。致力于提供最便捷和优质的服务体验。 Copyright © 2023 布克学术 All rights reserved.
京ICP备2023020795号-1
ghs 京公网安备 11010802042870号
Book学术文献互助
Book学术文献互助群
群 号:604180095
Book学术官方微信