Silent but Deadly: A Conservative Approach to Pulmonary Artery Pseudoaneurysm.

IF 0.8 Q3 MEDICINE, GENERAL & INTERNAL
Conner Chapman, Yasser Hegazy, Zakaria Alagha, Beenish Najam, Ahmad Mahdi
{"title":"Silent but Deadly: A Conservative Approach to Pulmonary Artery Pseudoaneurysm.","authors":"Conner Chapman, Yasser Hegazy, Zakaria Alagha, Beenish Najam, Ahmad Mahdi","doi":"10.1177/23247096251368094","DOIUrl":null,"url":null,"abstract":"<p><p>Pulmonary artery pseudoaneurysms (PAPAs) are rare and potentially fatal vascular complications that often require early detection. Most common etiologies are infection and trauma (including iatrogenic from procedures like pulmonary artery catheterization or lung biopsy). Early clinical signs include hemoptysis, dyspnea, and hemodynamic instability. Diagnostic workup should always include appropriate imaging modality, with computerized tomography (CT) and CT angiography as important diagnostic tools. Given the limited number of reported cases, treatment is not definitive and is largely guided by symptoms and patient present. In the case of massive hemoptysis, coil embolization or pulmonary vascular stenting is the preferred option. In the current case of asymptomatic PAPA, we will outline a more conservative approach to treating PAPA.</p>","PeriodicalId":16198,"journal":{"name":"Journal of investigative medicine high impact case reports","volume":"13 ","pages":"23247096251368094"},"PeriodicalIF":0.8000,"publicationDate":"2025-01-01","publicationTypes":"Journal Article","fieldsOfStudy":null,"isOpenAccess":false,"openAccessPdf":"https://www.ncbi.nlm.nih.gov/pmc/articles/PMC12450274/pdf/","citationCount":"0","resultStr":null,"platform":"Semanticscholar","paperid":null,"PeriodicalName":"Journal of investigative medicine high impact case reports","FirstCategoryId":"1085","ListUrlMain":"https://doi.org/10.1177/23247096251368094","RegionNum":0,"RegionCategory":null,"ArticlePicture":[],"TitleCN":null,"AbstractTextCN":null,"PMCID":null,"EPubDate":"2025/9/20 0:00:00","PubModel":"Epub","JCR":"Q3","JCRName":"MEDICINE, GENERAL & INTERNAL","Score":null,"Total":0}
引用次数: 0

Abstract

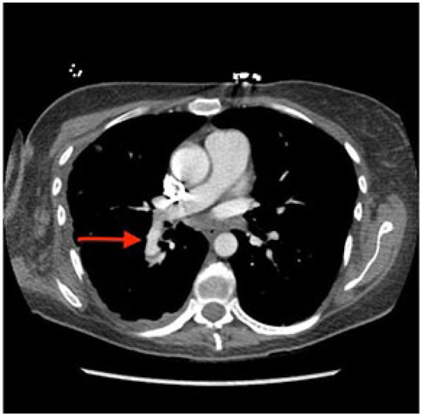
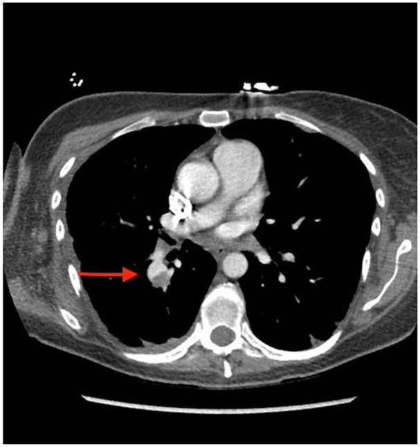
Pulmonary artery pseudoaneurysms (PAPAs) are rare and potentially fatal vascular complications that often require early detection. Most common etiologies are infection and trauma (including iatrogenic from procedures like pulmonary artery catheterization or lung biopsy). Early clinical signs include hemoptysis, dyspnea, and hemodynamic instability. Diagnostic workup should always include appropriate imaging modality, with computerized tomography (CT) and CT angiography as important diagnostic tools. Given the limited number of reported cases, treatment is not definitive and is largely guided by symptoms and patient present. In the case of massive hemoptysis, coil embolization or pulmonary vascular stenting is the preferred option. In the current case of asymptomatic PAPA, we will outline a more conservative approach to treating PAPA.

Abstract Image

Abstract Image

Abstract Image

沉默但致命:肺动脉假性动脉瘤的保守入路。
肺动脉假性动脉瘤(PAPAs)是罕见且可能致命的血管并发症,通常需要早期发现。最常见的病因是感染和创伤(包括肺动脉导管插入术或肺活检等手术的医源性)。早期临床症状包括咯血、呼吸困难和血流动力学不稳定。诊断检查应始终包括适当的成像方式,以计算机断层扫描(CT)和CT血管造影作为重要的诊断工具。鉴于报告的病例数量有限,治疗并不确定,主要是根据症状和患者的情况来指导。在大咯血的情况下,线圈栓塞或肺血管支架置入是首选的选择。在目前无症状的PAPA病例中,我们将概述一种更保守的治疗PAPA的方法。
本文章由计算机程序翻译,如有差异,请以英文原文为准。
求助全文
约1分钟内获得全文 求助全文
来源期刊
CiteScore
1.90
自引率
0.00%
发文量
165
审稿时长
12 weeks
期刊介绍: The AFMR is committed to enhancing the training and career development of our members and to furthering its mission to facilitate the conduct of research to improve medical care. Case reports represent an important avenue for trainees (interns, residents, and fellows) and early-stage faculty to demonstrate productive, scholarly activity.
×
引用
GB/T 7714-2015
复制
MLA
复制
APA
复制
导出至
BibTeX EndNote RefMan NoteFirst NoteExpress
×
提示
您的信息不完整,为了账户安全,请先补充。
现在去补充
×
提示
您因"违规操作"
具体请查看互助需知
我知道了
×
提示
确定
请完成安全验证×
copy
已复制链接
快去分享给好友吧!
我知道了
右上角分享
点击右上角分享
0
联系我们:info@booksci.cn Book学术提供免费学术资源搜索服务,方便国内外学者检索中英文文献。致力于提供最便捷和优质的服务体验。 Copyright © 2023 布克学术 All rights reserved.
京ICP备2023020795号-1
ghs 京公网安备 11010802042870号
Book学术文献互助
Book学术文献互助群
群 号:604180095
Book学术官方微信