Spectral photon-counting CT in first-pass myocardial perfusion imaging for very high-risk patients: a comparison with dual-energy CT.

IF 3.6 Q1 RADIOLOGY, NUCLEAR MEDICINE & MEDICAL IMAGING
Guillaume Fahrni, Salim Si-Mohamed, Rafael Wiemker, David C Rotzinger, Angèle Houmeau, Cyril Prieur, Philippe Douek, Sara Boccalini
{"title":"Spectral photon-counting CT in first-pass myocardial perfusion imaging for very high-risk patients: a comparison with dual-energy CT.","authors":"Guillaume Fahrni, Salim Si-Mohamed, Rafael Wiemker, David C Rotzinger, Angèle Houmeau, Cyril Prieur, Philippe Douek, Sara Boccalini","doi":"10.1186/s41747-025-00624-8","DOIUrl":null,"url":null,"abstract":"<p><strong>Background: </strong>Spectral photon-counting computed tomography (SPCCT) outperformed dual-energy computed tomography (DECT) for coronary artery stenosis assessment. However, data about myocardial perfusion imaging (MPI) is lacking. This feasibility study aimed to evaluate and compare the diagnostic performance of SPCCT and DECT for rest MPI in patients with hemodynamically significant coronary stenoses, using invasive coronary angiography (ICA) and invasive fractional flow reserve (FFR) as reference standards.</p><p><strong>Materials and methods: </strong>Eighteen very-high-risk patients with hemodynamically significant coronary stenoses at ICA underwent both dual-layer DECT and SPCCT coronary CT within three days. The sensitivity, specificity, and accuracy of MPI in detecting myocardial hypoperfusion were assessed. Quantitative attenuation differences between normal and hypoperfused myocardial segments were compared for both modalities. Interobserver variability was assessed with a weighted kappa analysis.</p><p><strong>Results: </strong>SPCCT demonstrated comparable overall performance to DECT for MPI, with an overall sensitivity, specificity, and accuracy of 73.3%, 79.2%, and 76.9%, respectively, versus 73.3%, 75%, and 74.4% for DECT. SPCCT outperformed DECT in the left anterior descending artery territory, achieving a sensitivity of 87.5%, specificity of 100%, and accuracy of 90%, versus 62.5%, 50%, and 60% for DECT. For each CT system, attenuation analysis revealed differences between normal and hypoperfused segments, with mean differences of 17.9 HU for DECT and 15.8 HU for SPCCT (p < 0.05). Inter-reader agreement was higher for SPCCT (κ = 0.86) compared to DECT (κ = 0.62).</p><p><strong>Conclusion: </strong>SPCCT and DECT provided similar diagnostic performance for rest MPI in a very-high-risk patient cohort, demonstrating comparable effectiveness in detecting the effects of hemodynamically significant coronary stenosis.</p><p><strong>Relevance statement: </strong>Hemodynamically significant stenosis in very-high-risk patients results in myocardial hypoperfused areas at rest that can be detected equally well with dual-layer CT and spectral photon counting CT, albeit with better reproducibility for the latter.</p><p><strong>Key points: </strong>SPCCT and DECT showed comparable performance for MPI at rest in very-high-risk patients. The differences between normal and hypoperfused segments were of 17 HU and 16 HU on conventional images for DECT and SPCCT. SPCCT showed higher interobserver agreement compared to DECT, suggesting improved reproducibility.</p>","PeriodicalId":36926,"journal":{"name":"European Radiology Experimental","volume":"9 1","pages":"94"},"PeriodicalIF":3.6000,"publicationDate":"2025-09-20","publicationTypes":"Journal Article","fieldsOfStudy":null,"isOpenAccess":false,"openAccessPdf":"https://www.ncbi.nlm.nih.gov/pmc/articles/PMC12450193/pdf/","citationCount":"0","resultStr":null,"platform":"Semanticscholar","paperid":null,"PeriodicalName":"European Radiology Experimental","FirstCategoryId":"1085","ListUrlMain":"https://doi.org/10.1186/s41747-025-00624-8","RegionNum":0,"RegionCategory":null,"ArticlePicture":[],"TitleCN":null,"AbstractTextCN":null,"PMCID":null,"EPubDate":"","PubModel":"","JCR":"Q1","JCRName":"RADIOLOGY, NUCLEAR MEDICINE & MEDICAL IMAGING","Score":null,"Total":0}
引用次数: 0

Abstract

Background: Spectral photon-counting computed tomography (SPCCT) outperformed dual-energy computed tomography (DECT) for coronary artery stenosis assessment. However, data about myocardial perfusion imaging (MPI) is lacking. This feasibility study aimed to evaluate and compare the diagnostic performance of SPCCT and DECT for rest MPI in patients with hemodynamically significant coronary stenoses, using invasive coronary angiography (ICA) and invasive fractional flow reserve (FFR) as reference standards.

Materials and methods: Eighteen very-high-risk patients with hemodynamically significant coronary stenoses at ICA underwent both dual-layer DECT and SPCCT coronary CT within three days. The sensitivity, specificity, and accuracy of MPI in detecting myocardial hypoperfusion were assessed. Quantitative attenuation differences between normal and hypoperfused myocardial segments were compared for both modalities. Interobserver variability was assessed with a weighted kappa analysis.

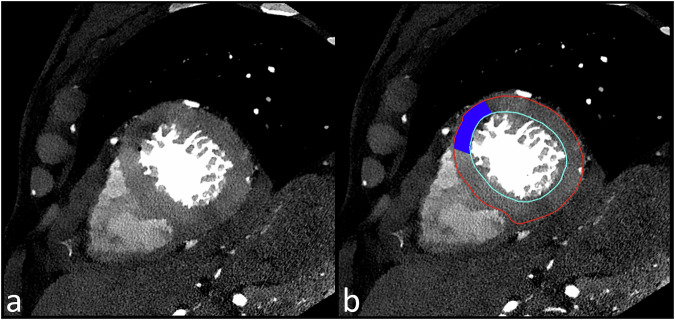
Results: SPCCT demonstrated comparable overall performance to DECT for MPI, with an overall sensitivity, specificity, and accuracy of 73.3%, 79.2%, and 76.9%, respectively, versus 73.3%, 75%, and 74.4% for DECT. SPCCT outperformed DECT in the left anterior descending artery territory, achieving a sensitivity of 87.5%, specificity of 100%, and accuracy of 90%, versus 62.5%, 50%, and 60% for DECT. For each CT system, attenuation analysis revealed differences between normal and hypoperfused segments, with mean differences of 17.9 HU for DECT and 15.8 HU for SPCCT (p < 0.05). Inter-reader agreement was higher for SPCCT (κ = 0.86) compared to DECT (κ = 0.62).

Conclusion: SPCCT and DECT provided similar diagnostic performance for rest MPI in a very-high-risk patient cohort, demonstrating comparable effectiveness in detecting the effects of hemodynamically significant coronary stenosis.

Relevance statement: Hemodynamically significant stenosis in very-high-risk patients results in myocardial hypoperfused areas at rest that can be detected equally well with dual-layer CT and spectral photon counting CT, albeit with better reproducibility for the latter.

Key points: SPCCT and DECT showed comparable performance for MPI at rest in very-high-risk patients. The differences between normal and hypoperfused segments were of 17 HU and 16 HU on conventional images for DECT and SPCCT. SPCCT showed higher interobserver agreement compared to DECT, suggesting improved reproducibility.

Abstract Image

Abstract Image

Abstract Image

光谱光子计数CT在高危患者第一次心肌灌注成像中的应用:与双能CT的比较。
背景:光谱光子计数计算机断层扫描(SPCCT)在冠状动脉狭窄评估方面优于双能计算机断层扫描(DECT)。然而,关于心肌灌注成像(MPI)的数据缺乏。本可行性研究旨在以有创冠状动脉造影(ICA)和有创分数血流储备(FFR)为参考标准,评价和比较SPCCT和DECT对血流动力学显著的冠状动脉狭窄患者静息期MPI的诊断效果。材料与方法:18例具有血流动力学显著的ICA处冠状动脉狭窄的高危患者在3天内行双层DECT和SPCCT冠状动脉CT检查。评估MPI检测心肌灌注不足的敏感性、特异性和准确性。比较两种模式下正常和低灌注心肌段的定量衰减差异。用加权kappa分析评估观察者间的可变性。结果:SPCCT在MPI方面的总体表现与DECT相当,其总体敏感性、特异性和准确性分别为73.3%、79.2%和76.9%,而DECT的敏感性、特异性和准确性分别为73.3%、75%和74.4%。SPCCT在左前降支区域优于DECT,达到87.5%的敏感性,100%的特异性和90%的准确性,而DECT为62.5%,50%和60%。对于每个CT系统,衰减分析显示正常和低灌注段之间的差异,DECT的平均差异为17.9 HU, SPCCT的平均差异为15.8 HU (p结论:SPCCT和DECT在非常高风险患者队列中对休息MPI的诊断性能相似,在检测血流动力学意义重大的冠状动脉狭窄的影响方面显示出相当的有效性。相关性声明:高危患者的血流动力学显著狭窄导致静息时心肌灌注不足,双层CT和光谱光子计数CT同样可以很好地检测到,尽管后者具有更好的再现性。重点:SPCCT和DECT在高危患者休息时的MPI表现相当。在DECT和SPCCT的常规图像上,正常和低灌注段的差异为17 HU和16 HU。与DECT相比,SPCCT显示出更高的观察者间一致性,表明可重复性提高。
本文章由计算机程序翻译,如有差异,请以英文原文为准。
求助全文
约1分钟内获得全文 求助全文
来源期刊
European Radiology Experimental
European Radiology Experimental Medicine-Radiology, Nuclear Medicine and Imaging
CiteScore
6.70
自引率
2.60%
发文量
56
审稿时长
18 weeks
×
引用
GB/T 7714-2015
复制
MLA
复制
APA
复制
导出至
BibTeX EndNote RefMan NoteFirst NoteExpress
×
提示
您的信息不完整,为了账户安全,请先补充。
现在去补充
×
提示
您因"违规操作"
具体请查看互助需知
我知道了
×
提示
确定
请完成安全验证×
copy
已复制链接
快去分享给好友吧!
我知道了
右上角分享
点击右上角分享
0
联系我们:info@booksci.cn Book学术提供免费学术资源搜索服务,方便国内外学者检索中英文文献。致力于提供最便捷和优质的服务体验。 Copyright © 2023 布克学术 All rights reserved.
京ICP备2023020795号-1
ghs 京公网安备 11010802042870号
Book学术文献互助
Book学术文献互助群
群 号:604180095
Book学术官方微信