Pediatric CD4+ Small Medium Sized Pleomorphic T-cell Lymphoproliferative Disorder: A Unique Indolent Lymphoproliferative Lesion With Consistent Reproducible Clinical and Phenotypic Features.

IF 1 4区 医学 Q4 DERMATOLOGY
American Journal of Dermatopathology Pub Date : 2025-10-01 Epub Date: 2025-07-24 DOI:10.1097/DAD.0000000000002956
Xing Li, Cynthia M Magro
{"title":"Pediatric CD4+ Small Medium Sized Pleomorphic T-cell Lymphoproliferative Disorder: A Unique Indolent Lymphoproliferative Lesion With Consistent Reproducible Clinical and Phenotypic Features.","authors":"Xing Li, Cynthia M Magro","doi":"10.1097/DAD.0000000000002956","DOIUrl":null,"url":null,"abstract":"<p><strong>Abstract: </strong>Primary cutaneous CD4+ small/medium-sized pleomorphic T-cell lymphoproliferative disorder (CD4+ PCSM-LPD) is characterized by its indolent course and favorable prognosis, distinguishing it from multifocal variants or other peripheral T-cell lymphomas. Pediatric cases are exceptionally rare, with only 9 pediatric cases documented, limiting understanding of their clinical, pathological, and molecular characteristics. Although recent studies propose a T follicular helper cell (TFH) origin, further investigation is necessary to substantiate this hypothesis and elucidate the pathogenesis of CD4+ PCSM-LPD in pediatric patients. We conducted a systematic literature review (6 studies documenting 9 cases) and retrospective chart review of pediatric CD4+ PCSM-LPD cases (≤21 years) diagnosed at Weill Cornell Medicine between 2010 and 2024 (4 cases). All 13 cases presented with solitary lesions, lacking the head and neck predominance observed in adult patients. Treatments included intralesional steroids, excision, and local radiation, with no recurrences. Histopathology mirrored adult cases, showing characteristic features of CD4+ PCSM-LPD. Nonspecific TFH markers (PD-1, BCL-6, ICOS) exhibited variable positivity, whereas specific markers (CD10, CXCL13) were predominantly negative. CD4+ PCSM-LPD is a rare entity that can potentially occur in pediatric patients, exhibiting clinical, histopathological, and phenotypic features similar to adult cases. However, the hypothesis of follicular helper T-cell ontogeny is questioned, as specific markers are usually absent, whereas commonly reported positive stains are not specific for follicular helper T cells. This suggests a malleable CD4+ T-cell phenotype influenced by the microenvironment.</p>","PeriodicalId":50967,"journal":{"name":"American Journal of Dermatopathology","volume":"47 10","pages":"739-749"},"PeriodicalIF":1.0000,"publicationDate":"2025-10-01","publicationTypes":"Journal Article","fieldsOfStudy":null,"isOpenAccess":false,"openAccessPdf":"https://www.ncbi.nlm.nih.gov/pmc/articles/PMC12447808/pdf/","citationCount":"0","resultStr":null,"platform":"Semanticscholar","paperid":null,"PeriodicalName":"American Journal of Dermatopathology","FirstCategoryId":"3","ListUrlMain":"https://doi.org/10.1097/DAD.0000000000002956","RegionNum":4,"RegionCategory":"医学","ArticlePicture":[],"TitleCN":null,"AbstractTextCN":null,"PMCID":null,"EPubDate":"2025/7/24 0:00:00","PubModel":"Epub","JCR":"Q4","JCRName":"DERMATOLOGY","Score":null,"Total":0}
引用次数: 0

Abstract

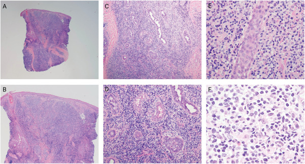
Abstract: Primary cutaneous CD4+ small/medium-sized pleomorphic T-cell lymphoproliferative disorder (CD4+ PCSM-LPD) is characterized by its indolent course and favorable prognosis, distinguishing it from multifocal variants or other peripheral T-cell lymphomas. Pediatric cases are exceptionally rare, with only 9 pediatric cases documented, limiting understanding of their clinical, pathological, and molecular characteristics. Although recent studies propose a T follicular helper cell (TFH) origin, further investigation is necessary to substantiate this hypothesis and elucidate the pathogenesis of CD4+ PCSM-LPD in pediatric patients. We conducted a systematic literature review (6 studies documenting 9 cases) and retrospective chart review of pediatric CD4+ PCSM-LPD cases (≤21 years) diagnosed at Weill Cornell Medicine between 2010 and 2024 (4 cases). All 13 cases presented with solitary lesions, lacking the head and neck predominance observed in adult patients. Treatments included intralesional steroids, excision, and local radiation, with no recurrences. Histopathology mirrored adult cases, showing characteristic features of CD4+ PCSM-LPD. Nonspecific TFH markers (PD-1, BCL-6, ICOS) exhibited variable positivity, whereas specific markers (CD10, CXCL13) were predominantly negative. CD4+ PCSM-LPD is a rare entity that can potentially occur in pediatric patients, exhibiting clinical, histopathological, and phenotypic features similar to adult cases. However, the hypothesis of follicular helper T-cell ontogeny is questioned, as specific markers are usually absent, whereas commonly reported positive stains are not specific for follicular helper T cells. This suggests a malleable CD4+ T-cell phenotype influenced by the microenvironment.

Abstract Image

Abstract Image

Abstract Image

儿童CD4+中小型多形性t细胞淋巴增生性疾病:一种独特的惰性淋巴增生性病变,具有一致的可重复性临床和表型特征。
摘要:原发性皮肤CD4+中小多形性t细胞淋巴增殖性疾病(CD4+ PCSM-LPD)不同于多灶性变异型或其他外周t细胞淋巴瘤,其特点是病程缓慢,预后良好。小儿病例极为罕见,仅记录了9例小儿病例,限制了对其临床、病理和分子特征的了解。虽然最近的研究提出了T滤泡辅助细胞(TFH)的起源,但需要进一步的研究来证实这一假设,并阐明儿童患者CD4+ PCSM-LPD的发病机制。我们进行了系统的文献综述(6项研究记录9例)和回顾性图表回顾2010年至2024年间在威尔康奈尔医学诊断的儿童CD4+ PCSM-LPD病例(≤21岁)(4例)。所有13例病例均表现为孤立病变,在成人患者中缺乏头颈部的优势。治疗包括病灶内类固醇、切除和局部放疗,无复发。组织病理学反映成人病例,显示CD4+ PCSM-LPD的特征。非特异性TFH标志物(PD-1、BCL-6、ICOS)呈不同程度的阳性,而特异性标志物(CD10、CXCL13)则以阴性为主。CD4+ PCSM-LPD是一种罕见的实体,可能发生在儿科患者中,表现出与成人病例相似的临床、组织病理学和表型特征。然而,滤泡性辅助性T细胞发生的假设受到质疑,因为特异性标记物通常不存在,而通常报道的阳性染色对滤泡性辅助性T细胞不是特异性的。这表明受微环境影响的CD4+ t细胞表型具有可塑性。
本文章由计算机程序翻译,如有差异,请以英文原文为准。
求助全文
约1分钟内获得全文 求助全文
来源期刊
CiteScore
1.80
自引率
9.10%
发文量
453
审稿时长
3 months
期刊介绍: The American Journal of Dermatopathology offers outstanding coverage of the latest diagnostic approaches and laboratory techniques, as well as insights into contemporary social, legal, and ethical concerns. Each issue features review articles on clinical, technical, and basic science advances and illuminating, detailed case reports. With the The American Journal of Dermatopathology you''ll be able to: -Incorporate step-by-step coverage of new or difficult-to-diagnose conditions from their earliest histopathologic signs to confirmatory immunohistochemical and molecular studies. -Apply the latest basic science findings and clinical approaches to your work right away. -Tap into the skills and expertise of your peers and colleagues the world over peer-reviewed original articles, "Extraordinary cases reports", coverage of practical guidelines, and graphic presentations. -Expand your horizons through the Journal''s idea-generating forum for debating controversial issues and learning from preeminent researchers and clinicians
×
引用
GB/T 7714-2015
复制
MLA
复制
APA
复制
导出至
BibTeX EndNote RefMan NoteFirst NoteExpress
×
提示
您的信息不完整,为了账户安全,请先补充。
现在去补充
×
提示
您因"违规操作"
具体请查看互助需知
我知道了
×
提示
确定
请完成安全验证×
copy
已复制链接
快去分享给好友吧!
我知道了
右上角分享
点击右上角分享
0
联系我们:info@booksci.cn Book学术提供免费学术资源搜索服务,方便国内外学者检索中英文文献。致力于提供最便捷和优质的服务体验。 Copyright © 2023 布克学术 All rights reserved.
京ICP备2023020795号-1
ghs 京公网安备 11010802042870号
Book学术文献互助
Book学术文献互助群
群 号:604180095
Book学术官方微信