Clinical Significance of Upper Airway Dynamic Magnetic Resonance in the Assessment of Obstructive Sleep Apnea Hypopnea Syndrome.

IF 3.4 2区 医学 Q2 CLINICAL NEUROLOGY
Nature and Science of Sleep Pub Date : 2025-09-13 eCollection Date: 2025-01-01 DOI:10.2147/NSS.S530742
Renjie Lai, Tengyu Chen, Zuwu Ai, Baoyi Chen, Juntao Wu, Shan Zhu, Jun Zhang, Yingxiang Xu, Jiebing Gao, Haiyu Hong
{"title":"Clinical Significance of Upper Airway Dynamic Magnetic Resonance in the Assessment of Obstructive Sleep Apnea Hypopnea Syndrome.","authors":"Renjie Lai, Tengyu Chen, Zuwu Ai, Baoyi Chen, Juntao Wu, Shan Zhu, Jun Zhang, Yingxiang Xu, Jiebing Gao, Haiyu Hong","doi":"10.2147/NSS.S530742","DOIUrl":null,"url":null,"abstract":"<p><strong>Purpose: </strong>This study aimed to clarify the value of upper airway dynamic magnetic resonance (UADMR) in assessing the level and degree of obstruction in the upper airway during sleep in patients with obstructive sleep apnea hypopnea syndrome (OSAHS).</p><p><strong>Patients and methods: </strong>Patients with OSAHS diagnosed by polysomnography (PSG) from February 2025 to March 2025 were included in this study, and UADMR was performed to detect the obstructive levels (palatopharyngeal level, root of tongue level, and epiglottic level) and assess the degree of obstruction at the root of the tongue and epiglottic levels. Subgroup analyses were performed according to different obstructive characteristics and the results of UADMR were assessed for correlation analysis with the results of PSG or manual titration of positive airway pressure. This study used Müller maneuver to simulate the airway collapse during sleep.</p><p><strong>Results: </strong>A total of 34 OSAHS patients were included in this study. It was observed that the hypopnea index, apnea hypopnea index, and tongue axial change ratio were significantly higher in OSAHS patients with multiple layers of airway obstruction than in those with palatopharyngeal obstruction only. The anteroposterior diameter change ratio at the level of the root of the tongue and the area change ratio at the level of the epiglottis in patients with OSAHS were positively correlated with the results of the PSG, and the tongue axial change ratio was positively associated with the results of the manual titration of positive airway pressure.</p><p><strong>Conclusion: </strong>UADMR is an effective method for assessing the level and degree of upper airway obstruction during sleep in patients with OSAHS.</p>","PeriodicalId":18896,"journal":{"name":"Nature and Science of Sleep","volume":"17 ","pages":"2247-2256"},"PeriodicalIF":3.4000,"publicationDate":"2025-09-13","publicationTypes":"Journal Article","fieldsOfStudy":null,"isOpenAccess":false,"openAccessPdf":"https://www.ncbi.nlm.nih.gov/pmc/articles/PMC12442816/pdf/","citationCount":"0","resultStr":null,"platform":"Semanticscholar","paperid":null,"PeriodicalName":"Nature and Science of Sleep","FirstCategoryId":"3","ListUrlMain":"https://doi.org/10.2147/NSS.S530742","RegionNum":2,"RegionCategory":"医学","ArticlePicture":[],"TitleCN":null,"AbstractTextCN":null,"PMCID":null,"EPubDate":"2025/1/1 0:00:00","PubModel":"eCollection","JCR":"Q2","JCRName":"CLINICAL NEUROLOGY","Score":null,"Total":0}
引用次数: 0

Abstract

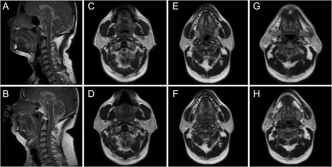
Purpose: This study aimed to clarify the value of upper airway dynamic magnetic resonance (UADMR) in assessing the level and degree of obstruction in the upper airway during sleep in patients with obstructive sleep apnea hypopnea syndrome (OSAHS).

Patients and methods: Patients with OSAHS diagnosed by polysomnography (PSG) from February 2025 to March 2025 were included in this study, and UADMR was performed to detect the obstructive levels (palatopharyngeal level, root of tongue level, and epiglottic level) and assess the degree of obstruction at the root of the tongue and epiglottic levels. Subgroup analyses were performed according to different obstructive characteristics and the results of UADMR were assessed for correlation analysis with the results of PSG or manual titration of positive airway pressure. This study used Müller maneuver to simulate the airway collapse during sleep.

Results: A total of 34 OSAHS patients were included in this study. It was observed that the hypopnea index, apnea hypopnea index, and tongue axial change ratio were significantly higher in OSAHS patients with multiple layers of airway obstruction than in those with palatopharyngeal obstruction only. The anteroposterior diameter change ratio at the level of the root of the tongue and the area change ratio at the level of the epiglottis in patients with OSAHS were positively correlated with the results of the PSG, and the tongue axial change ratio was positively associated with the results of the manual titration of positive airway pressure.

Conclusion: UADMR is an effective method for assessing the level and degree of upper airway obstruction during sleep in patients with OSAHS.

Abstract Image

Abstract Image

Abstract Image

上呼吸道动态磁共振评价阻塞性睡眠呼吸暂停低通气综合征的临床意义。
目的:本研究旨在阐明上呼吸道动态磁共振(UADMR)在评估阻塞性睡眠呼吸暂停低通气综合征(OSAHS)患者睡眠时上呼吸道阻塞程度和程度中的价值。患者和方法:本研究纳入2025年2月至2025年3月经多导睡眠图(PSG)诊断为OSAHS的患者,采用UADMR检测阻塞水平(腭咽水平、舌根水平和会厌水平),评估舌根和会厌水平阻塞程度。根据不同的阻塞性特征进行亚组分析,并评估UADMR结果与PSG或手动气道正压滴定结果的相关性分析。本研究采用勒氏操作法模拟睡眠时气道塌陷。结果:本研究共纳入34例OSAHS患者。观察发现,合并多层气道阻塞的OSAHS患者的低通气指数、呼吸暂停低通气指数、舌轴变化率均显著高于单纯腭咽阻塞的OSAHS患者。OSAHS患者舌根水平前后径变化率和会阴水平面积变化率与PSG结果正相关,舌轴变化率与手动气道正压滴定结果正相关。结论:UADMR是评估OSAHS患者睡眠时上气道阻塞程度的有效方法。
本文章由计算机程序翻译,如有差异,请以英文原文为准。
求助全文
约1分钟内获得全文 求助全文
来源期刊
Nature and Science of Sleep
Nature and Science of Sleep Neuroscience-Behavioral Neuroscience
CiteScore
5.70
自引率
5.90%
发文量
245
审稿时长
16 weeks
期刊介绍: Nature and Science of Sleep is an international, peer-reviewed, open access journal covering all aspects of sleep science and sleep medicine, including the neurophysiology and functions of sleep, the genetics of sleep, sleep and society, biological rhythms, dreaming, sleep disorders and therapy, and strategies to optimize healthy sleep. Specific topics covered in the journal include: The functions of sleep in humans and other animals Physiological and neurophysiological changes with sleep The genetics of sleep and sleep differences The neurotransmitters, receptors and pathways involved in controlling both sleep and wakefulness Behavioral and pharmacological interventions aimed at improving sleep, and improving wakefulness Sleep changes with development and with age Sleep and reproduction (e.g., changes across the menstrual cycle, with pregnancy and menopause) The science and nature of dreams Sleep disorders Impact of sleep and sleep disorders on health, daytime function and quality of life Sleep problems secondary to clinical disorders Interaction of society with sleep (e.g., consequences of shift work, occupational health, public health) The microbiome and sleep Chronotherapy Impact of circadian rhythms on sleep, physiology, cognition and health Mechanisms controlling circadian rhythms, centrally and peripherally Impact of circadian rhythm disruptions (including night shift work, jet lag and social jet lag) on sleep, physiology, cognition and health Behavioral and pharmacological interventions aimed at reducing adverse effects of circadian-related sleep disruption Assessment of technologies and biomarkers for measuring sleep and/or circadian rhythms Epigenetic markers of sleep or circadian disruption.
×
引用
GB/T 7714-2015
复制
MLA
复制
APA
复制
导出至
BibTeX EndNote RefMan NoteFirst NoteExpress
×
提示
您的信息不完整,为了账户安全,请先补充。
现在去补充
×
提示
您因"违规操作"
具体请查看互助需知
我知道了
×
提示
确定
请完成安全验证×
copy
已复制链接
快去分享给好友吧!
我知道了
右上角分享
点击右上角分享
0
联系我们:info@booksci.cn Book学术提供免费学术资源搜索服务,方便国内外学者检索中英文文献。致力于提供最便捷和优质的服务体验。 Copyright © 2023 布克学术 All rights reserved.
京ICP备2023020795号-1
ghs 京公网安备 11010802042870号
Book学术文献互助
Book学术文献互助群
群 号:604180095
Book学术官方微信