Autoimmune Pancreatitis Not Otherwise Specified (AIP-NOS): The Importance of Gastroenterology Consultation When Clinical Findings Are Concerning for Pancreatic Cancer.

IF 0.5 Q4 GASTROENTEROLOGY & HEPATOLOGY
Case Reports in Gastrointestinal Medicine Pub Date : 2025-09-09 eCollection Date: 2025-01-01 DOI:10.1155/crgm/8916499
Cooper Alden Josephs, Daniel Mullady, Taylor Templeton-Jager, Nicholas Fuerstenau, Steve Xie
{"title":"Autoimmune Pancreatitis Not Otherwise Specified (AIP-NOS): The Importance of Gastroenterology Consultation When Clinical Findings Are Concerning for Pancreatic Cancer.","authors":"Cooper Alden Josephs, Daniel Mullady, Taylor Templeton-Jager, Nicholas Fuerstenau, Steve Xie","doi":"10.1155/crgm/8916499","DOIUrl":null,"url":null,"abstract":"<p><p><b>Introduction:</b> Autoimmune pancreatitis (AIP) and pancreatic cancer are top differentials of obstructive jaundice originating from the pancreas. <b>Case Description/Methods:</b> The patient's findings were concerning for malignant biliary obstruction, but a thorough workup determined that the patient had AIP-NOS. She underwent EBS and was discharged on a steroid taper. Follow-up demonstrated complete resolution of symptoms, laboratory markers, and imaging. <b>Conclusion:</b> Adequate pancreatic tissue is not always obtained with 22-gauge needles. Biliary stenting is justifiable in AIP with significant hyperbilirubinemia. It is important to consider AIP for with a pancreatic head mass and obstructive jaundice to optimize outcome.</p>","PeriodicalId":45645,"journal":{"name":"Case Reports in Gastrointestinal Medicine","volume":"2025 ","pages":"8916499"},"PeriodicalIF":0.5000,"publicationDate":"2025-09-09","publicationTypes":"Journal Article","fieldsOfStudy":null,"isOpenAccess":false,"openAccessPdf":"https://www.ncbi.nlm.nih.gov/pmc/articles/PMC12440655/pdf/","citationCount":"0","resultStr":null,"platform":"Semanticscholar","paperid":null,"PeriodicalName":"Case Reports in Gastrointestinal Medicine","FirstCategoryId":"1085","ListUrlMain":"https://doi.org/10.1155/crgm/8916499","RegionNum":0,"RegionCategory":null,"ArticlePicture":[],"TitleCN":null,"AbstractTextCN":null,"PMCID":null,"EPubDate":"2025/1/1 0:00:00","PubModel":"eCollection","JCR":"Q4","JCRName":"GASTROENTEROLOGY & HEPATOLOGY","Score":null,"Total":0}
引用次数: 0

Abstract

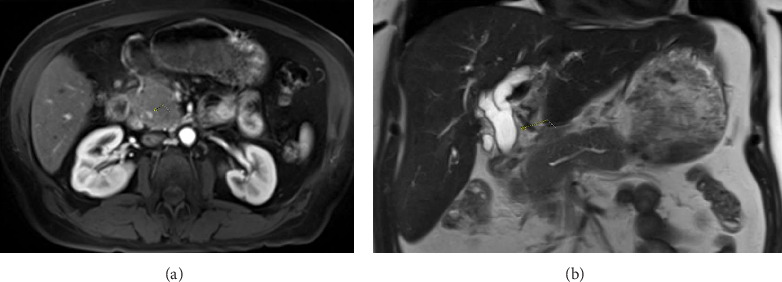
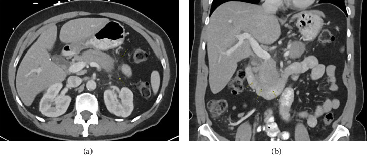
Introduction: Autoimmune pancreatitis (AIP) and pancreatic cancer are top differentials of obstructive jaundice originating from the pancreas. Case Description/Methods: The patient's findings were concerning for malignant biliary obstruction, but a thorough workup determined that the patient had AIP-NOS. She underwent EBS and was discharged on a steroid taper. Follow-up demonstrated complete resolution of symptoms, laboratory markers, and imaging. Conclusion: Adequate pancreatic tissue is not always obtained with 22-gauge needles. Biliary stenting is justifiable in AIP with significant hyperbilirubinemia. It is important to consider AIP for with a pancreatic head mass and obstructive jaundice to optimize outcome.

Abstract Image

Abstract Image

Abstract Image

非特异性自身免疫性胰腺炎(AIP-NOS):当临床表现与胰腺癌有关时,胃肠病学咨询的重要性
自身免疫性胰腺炎(AIP)和胰腺癌是源自胰腺的梗阻性黄疸的主要鉴别诊断。病例描述/方法:患者的发现与恶性胆道梗阻有关,但彻底的检查确定患者患有AIP-NOS。她接受了EBS治疗,出院时服用了类固醇减量治疗。随访显示症状、实验室标记物和影像学完全消失。结论:22号针并不总能获得足够的胰腺组织。胆道支架置入术对于伴有显著高胆红素血症的AIP患者是合理的。对于胰头肿块合并梗阻性黄疸患者,考虑AIP是优化预后的重要方法。
本文章由计算机程序翻译,如有差异,请以英文原文为准。
求助全文
约1分钟内获得全文 求助全文
来源期刊
Case Reports in Gastrointestinal Medicine
Case Reports in Gastrointestinal Medicine GASTROENTEROLOGY & HEPATOLOGY-
自引率
0.00%
发文量
33
审稿时长
14 weeks
×
引用
GB/T 7714-2015
复制
MLA
复制
APA
复制
导出至
BibTeX EndNote RefMan NoteFirst NoteExpress
×
提示
您的信息不完整,为了账户安全,请先补充。
现在去补充
×
提示
您因"违规操作"
具体请查看互助需知
我知道了
×
提示
确定
请完成安全验证×
copy
已复制链接
快去分享给好友吧!
我知道了
右上角分享
点击右上角分享
0
联系我们:info@booksci.cn Book学术提供免费学术资源搜索服务,方便国内外学者检索中英文文献。致力于提供最便捷和优质的服务体验。 Copyright © 2023 布克学术 All rights reserved.
京ICP备2023020795号-1
ghs 京公网安备 11010802042870号
Book学术文献互助
Book学术文献互助群
群 号:604180095
Book学术官方微信