Giant Renal Cyst Causing Malnutrition and Weight Loss: A Case Report.

IF 0.5 Q4 GASTROENTEROLOGY & HEPATOLOGY
Case Reports in Gastrointestinal Medicine Pub Date : 2025-09-09 eCollection Date: 2025-01-01 DOI:10.1155/crgm/6635819
Kemal Ertaş, Abdullah Akkurt
{"title":"Giant Renal Cyst Causing Malnutrition and Weight Loss: A Case Report.","authors":"Kemal Ertaş, Abdullah Akkurt","doi":"10.1155/crgm/6635819","DOIUrl":null,"url":null,"abstract":"<p><p>Simple renal cysts are the most common cystic abnormalities of the kidney, typically observed in older individuals and often asymptomatic, requiring no treatment. These cysts are usually detected incidentally during imaging for unrelated conditions. Giant renal cysts, defined as those exceeding 15 cm in diameter and containing over 1500 mL of serous fluid, are exceptionally rare. We report a case of a 34-year-old male presenting with a rapidly growing giant renal cyst (40 × 28 cm) in the left kidney, resulting in malnutrition and significant weight loss. The patient underwent successful laparoscopic transperitoneal cyst excision. At the 1-year follow-up, the patient was asymptomatic, with no evidence of residual cyst recurrence.</p>","PeriodicalId":45645,"journal":{"name":"Case Reports in Gastrointestinal Medicine","volume":"2025 ","pages":"6635819"},"PeriodicalIF":0.5000,"publicationDate":"2025-09-09","publicationTypes":"Journal Article","fieldsOfStudy":null,"isOpenAccess":false,"openAccessPdf":"https://www.ncbi.nlm.nih.gov/pmc/articles/PMC12440653/pdf/","citationCount":"0","resultStr":null,"platform":"Semanticscholar","paperid":null,"PeriodicalName":"Case Reports in Gastrointestinal Medicine","FirstCategoryId":"1085","ListUrlMain":"https://doi.org/10.1155/crgm/6635819","RegionNum":0,"RegionCategory":null,"ArticlePicture":[],"TitleCN":null,"AbstractTextCN":null,"PMCID":null,"EPubDate":"2025/1/1 0:00:00","PubModel":"eCollection","JCR":"Q4","JCRName":"GASTROENTEROLOGY & HEPATOLOGY","Score":null,"Total":0}
引用次数: 0

Abstract

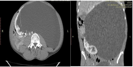
Simple renal cysts are the most common cystic abnormalities of the kidney, typically observed in older individuals and often asymptomatic, requiring no treatment. These cysts are usually detected incidentally during imaging for unrelated conditions. Giant renal cysts, defined as those exceeding 15 cm in diameter and containing over 1500 mL of serous fluid, are exceptionally rare. We report a case of a 34-year-old male presenting with a rapidly growing giant renal cyst (40 × 28 cm) in the left kidney, resulting in malnutrition and significant weight loss. The patient underwent successful laparoscopic transperitoneal cyst excision. At the 1-year follow-up, the patient was asymptomatic, with no evidence of residual cyst recurrence.

Abstract Image

Abstract Image

Abstract Image

巨大肾囊肿导致营养不良和体重下降1例报告。
单纯性肾囊肿是最常见的肾脏囊性异常,通常在老年人中观察到,通常无症状,无需治疗。这些囊肿通常是在成像时偶然发现的。巨大肾囊肿,定义为直径超过15cm,含有超过1500ml浆液的囊肿,极为罕见。我们报告一例34岁男性左肾出现快速生长的巨大肾囊肿(40 × 28 cm),导致营养不良和体重明显下降。患者接受了成功的腹腔镜经腹腔囊肿切除术。随访1年,患者无症状,无残留囊肿复发迹象。
本文章由计算机程序翻译,如有差异,请以英文原文为准。
求助全文
约1分钟内获得全文 求助全文
来源期刊
Case Reports in Gastrointestinal Medicine
Case Reports in Gastrointestinal Medicine GASTROENTEROLOGY & HEPATOLOGY-
自引率
0.00%
发文量
33
审稿时长
14 weeks
×
引用
GB/T 7714-2015
复制
MLA
复制
APA
复制
导出至
BibTeX EndNote RefMan NoteFirst NoteExpress
×
提示
您的信息不完整,为了账户安全,请先补充。
现在去补充
×
提示
您因"违规操作"
具体请查看互助需知
我知道了
×
提示
确定
请完成安全验证×
copy
已复制链接
快去分享给好友吧!
我知道了
右上角分享
点击右上角分享
0
联系我们:info@booksci.cn Book学术提供免费学术资源搜索服务,方便国内外学者检索中英文文献。致力于提供最便捷和优质的服务体验。 Copyright © 2023 布克学术 All rights reserved.
京ICP备2023020795号-1
ghs 京公网安备 11010802042870号
Book学术文献互助
Book学术文献互助群
群 号:604180095
Book学术官方微信
小红书