Progressive multifocal leukoencephalopathy as a rare first manifestation of AIDS: case report.

Postepy psychiatrii neurologii Pub Date : 2025-09-01 Epub Date: 2025-08-26 DOI:10.5114/ppn.2025.153597
Aleksandra Kuls-Oszmaniec, Anna Nagańska, Jacek Kowalski, Grażyna Cholewińska, Marta Leńska-Mieciek, Urszula Fiszer
{"title":"Progressive multifocal leukoencephalopathy as a rare first manifestation of AIDS: case report.","authors":"Aleksandra Kuls-Oszmaniec, Anna Nagańska, Jacek Kowalski, Grażyna Cholewińska, Marta Leńska-Mieciek, Urszula Fiszer","doi":"10.5114/ppn.2025.153597","DOIUrl":null,"url":null,"abstract":"<p><strong>Purpose: </strong>Progressive multifocal leukoencephalopathy (PML) is a lethal demyelinating disease of the central nervous system caused by John Cunningham virus (JCV). PML develops due to the reactivation of latent JCV infection in individuals with cellular immunodeficiency. Since the beginning of acquired immunodeficiency syndrome (AIDS) epidemic, human immunodeficiency virus (HIV) infection has remained a leading cause of PML with the condition recognized as an AIDS-defining illness. The clinical manifestations of PML may vary depending on the underlying condition. In AIDS-associated PML, the symptoms include motor weakness, speech or language disturbances, cognitive and behavioral changes and gait abnormalities and incoordination.</p><p><strong>Case description: </strong>We present the case of a male patient who developed PML as the first clinical manifestation of a newly diagnosed HIV infection.</p><p><strong>Comment: </strong>The introduction of antiretroviral therapy has led to a significant decrease in the morbidity and mortality due to the opportunistic infections in HIV-positive patients. However, the improvement is least pronounced in case of PML.</p>","PeriodicalId":74481,"journal":{"name":"Postepy psychiatrii neurologii","volume":"34 3","pages":"207-215"},"PeriodicalIF":0.0000,"publicationDate":"2025-09-01","publicationTypes":"Journal Article","fieldsOfStudy":null,"isOpenAccess":false,"openAccessPdf":"https://www.ncbi.nlm.nih.gov/pmc/articles/PMC12435558/pdf/","citationCount":"0","resultStr":null,"platform":"Semanticscholar","paperid":null,"PeriodicalName":"Postepy psychiatrii neurologii","FirstCategoryId":"1085","ListUrlMain":"https://doi.org/10.5114/ppn.2025.153597","RegionNum":0,"RegionCategory":null,"ArticlePicture":[],"TitleCN":null,"AbstractTextCN":null,"PMCID":null,"EPubDate":"2025/8/26 0:00:00","PubModel":"Epub","JCR":"","JCRName":"","Score":null,"Total":0}
引用次数: 0

Abstract

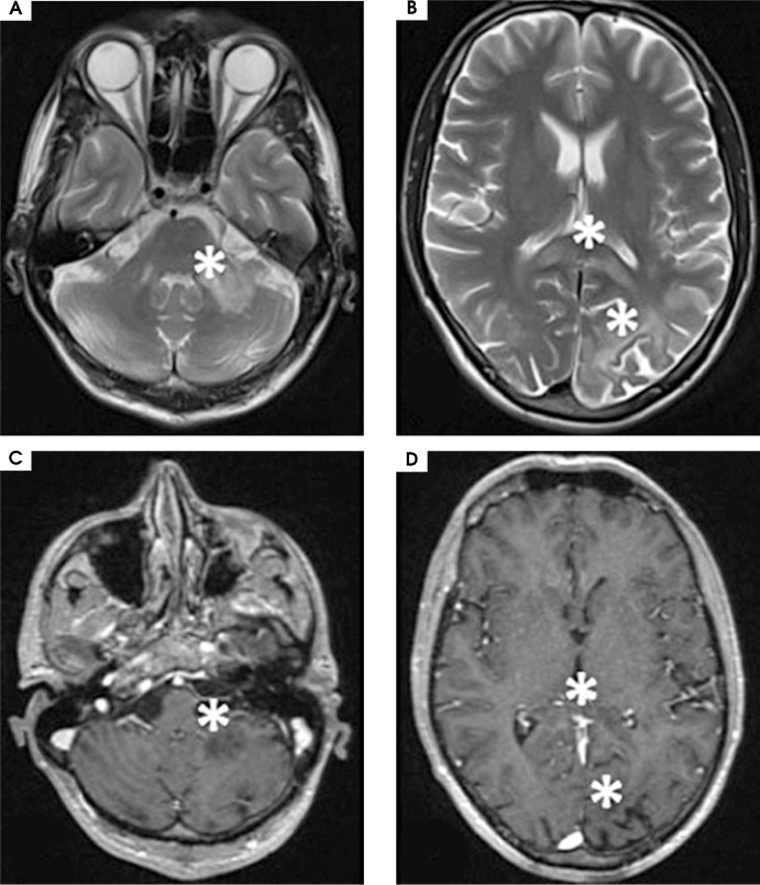
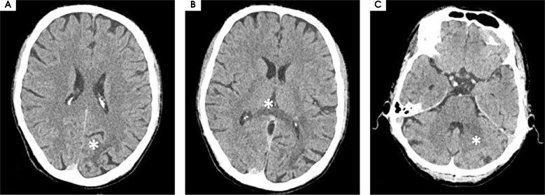
Purpose: Progressive multifocal leukoencephalopathy (PML) is a lethal demyelinating disease of the central nervous system caused by John Cunningham virus (JCV). PML develops due to the reactivation of latent JCV infection in individuals with cellular immunodeficiency. Since the beginning of acquired immunodeficiency syndrome (AIDS) epidemic, human immunodeficiency virus (HIV) infection has remained a leading cause of PML with the condition recognized as an AIDS-defining illness. The clinical manifestations of PML may vary depending on the underlying condition. In AIDS-associated PML, the symptoms include motor weakness, speech or language disturbances, cognitive and behavioral changes and gait abnormalities and incoordination.

Case description: We present the case of a male patient who developed PML as the first clinical manifestation of a newly diagnosed HIV infection.

Comment: The introduction of antiretroviral therapy has led to a significant decrease in the morbidity and mortality due to the opportunistic infections in HIV-positive patients. However, the improvement is least pronounced in case of PML.

Abstract Image

Abstract Image

Abstract Image

进行性多灶性脑白质病是艾滋病罕见的首发表现:1例报告。
目的:进行性多灶性脑白质病(PML)是由约翰·坎宁安病毒(JCV)引起的一种致死性中枢神经系统脱髓鞘疾病。PML的发展是由于潜伏的JCV感染在细胞免疫缺陷的个体中重新激活。自获得性免疫缺陷综合征(艾滋病)开始流行以来,人类免疫缺陷病毒(HIV)感染一直是导致PML的主要原因,这种疾病被认为是艾滋病的定义疾病。PML的临床表现可能因基础疾病而异。在艾滋病相关的PML中,症状包括运动无力、言语或语言障碍、认知和行为改变、步态异常和不协调。病例描述:我们提出的情况下,男性患者谁开发PML作为一个新诊断的HIV感染的第一个临床表现。评论:抗逆转录病毒疗法的引入使艾滋病毒阳性患者因机会性感染而导致的发病率和死亡率显著降低。然而,在PML的情况下,这种改善最不明显。
本文章由计算机程序翻译,如有差异,请以英文原文为准。
求助全文
约1分钟内获得全文 求助全文
来源期刊
自引率
0.00%
发文量
0
×
引用
GB/T 7714-2015
复制
MLA
复制
APA
复制
导出至
BibTeX EndNote RefMan NoteFirst NoteExpress
×
提示
您的信息不完整,为了账户安全,请先补充。
现在去补充
×
提示
您因"违规操作"
具体请查看互助需知
我知道了
×
提示
确定
请完成安全验证×
copy
已复制链接
快去分享给好友吧!
我知道了
右上角分享
点击右上角分享
0
联系我们:info@booksci.cn Book学术提供免费学术资源搜索服务,方便国内外学者检索中英文文献。致力于提供最便捷和优质的服务体验。 Copyright © 2023 布克学术 All rights reserved.
京ICP备2023020795号-1
ghs 京公网安备 11010802042870号
Book学术文献互助
Book学术文献互助群
群 号:604180095
Book学术官方微信