Validating the Utility of the Milan System of Reporting Salivary Gland Cytopathology for the Diagnosis of Salivary Gland Fine-Needle Aspirates in a North Indian Tertiary Care Center and Comparing the Risk of Malignancy with its Two Editions.

IF 1 4区 医学 Q4 MEDICAL LABORATORY TECHNOLOGY
Journal of Cytology Pub Date : 2025-07-01 Epub Date: 2025-08-29 DOI:10.4103/joc.joc_156_24
Rao Ram Nawal, Singh Anshima, Singh Ankita, Manogaran Ravi Sankar
{"title":"Validating the Utility of the Milan System of Reporting Salivary Gland Cytopathology for the Diagnosis of Salivary Gland Fine-Needle Aspirates in a North Indian Tertiary Care Center and Comparing the Risk of Malignancy with its Two Editions.","authors":"Rao Ram Nawal, Singh Anshima, Singh Ankita, Manogaran Ravi Sankar","doi":"10.4103/joc.joc_156_24","DOIUrl":null,"url":null,"abstract":"<p><strong>Background: </strong>Salivary gland (SG) fine-needle aspiration (FNA) is a well-accepted tool for preoperative management of salivary gland lesions (SGLs). First and second editions of the Milan System for Reporting Salivary Gland Cytopathology (MSRSGC) were published in the years 2018 and 2023, respectively. The MSRSGC aims to improve patient care by providing better communication between clinicians and institutions. It has six ascending diagnostic categories having a definite risk of malignancy (ROM) and corresponding management schema. Our study assessed the incidence and corresponding ROM of each MSRSGC category within a tertiary care northern India referral center and compared each ROM with those laid down in the two editions of the MSRSGC.</p><p><strong>Aims and objectives: </strong>The main aims and objectives are as follows:1. Validating the utility of the MSRSGC for the diagnosis of SG-FNAs in a North Indian Tertiary Care Center.2. Comparing the Risk of Malignancy with its Two Editions.</p><p><strong>Materials and methods: </strong>Data on SG-FNAs performed between 01.01.2010 and 31.03.2024 were searched from the hospital information system. The cytopathology and histopathological slides were retrieved, and each case was separately reviewed and retrospectively classified into the I) non-diagnostic (ND), II) non-neoplastic (NN), III) atypia of undetermined significance (AUS), IVA) benign neoplasms (NB), IVB) SG neoplasm of uncertain malignant potential (SUMP), V) suspicious for malignancy (SFM), or VI) malignant categories according to the MSRSGC. Cyto-histopathological correlation analysis was performed, and the ROM for each category was calculated.</p><p><strong>Results: </strong>A total of 793 such cases were obtained. Histopathological follow-up was available in 267 cases, which included 2 (0.7%) ND, 29 (10.9%) NN, 5 (1.9%) AUS, 190 (71.2%) NB, 11 (4.1%) SUMP, 10 (3.7%) SFM, and 20 (7.5%) malignant cases. The calculated ROM for these ascending categories were 0%, 27.6%, 60%, 11.8%, 45.5%, 90%, and 100%, respectively.</p><p><strong>Conclusion: </strong>MSRSGC is a valuable means to standardize the reporting and preoperatively stratify SGLs as per the ROM for each ascending risk category. This study, to the best of our knowledge, is the largest Indian study to authenticate the utility and reproducibility of the MSRSGC in our tertiary care institute.</p>","PeriodicalId":50217,"journal":{"name":"Journal of Cytology","volume":"42 3","pages":"113-123"},"PeriodicalIF":1.0000,"publicationDate":"2025-07-01","publicationTypes":"Journal Article","fieldsOfStudy":null,"isOpenAccess":false,"openAccessPdf":"https://www.ncbi.nlm.nih.gov/pmc/articles/PMC12435876/pdf/","citationCount":"0","resultStr":null,"platform":"Semanticscholar","paperid":null,"PeriodicalName":"Journal of Cytology","FirstCategoryId":"3","ListUrlMain":"https://doi.org/10.4103/joc.joc_156_24","RegionNum":4,"RegionCategory":"医学","ArticlePicture":[],"TitleCN":null,"AbstractTextCN":null,"PMCID":null,"EPubDate":"2025/8/29 0:00:00","PubModel":"Epub","JCR":"Q4","JCRName":"MEDICAL LABORATORY TECHNOLOGY","Score":null,"Total":0}
引用次数: 0

Abstract

Background: Salivary gland (SG) fine-needle aspiration (FNA) is a well-accepted tool for preoperative management of salivary gland lesions (SGLs). First and second editions of the Milan System for Reporting Salivary Gland Cytopathology (MSRSGC) were published in the years 2018 and 2023, respectively. The MSRSGC aims to improve patient care by providing better communication between clinicians and institutions. It has six ascending diagnostic categories having a definite risk of malignancy (ROM) and corresponding management schema. Our study assessed the incidence and corresponding ROM of each MSRSGC category within a tertiary care northern India referral center and compared each ROM with those laid down in the two editions of the MSRSGC.

Aims and objectives: The main aims and objectives are as follows:1. Validating the utility of the MSRSGC for the diagnosis of SG-FNAs in a North Indian Tertiary Care Center.2. Comparing the Risk of Malignancy with its Two Editions.

Materials and methods: Data on SG-FNAs performed between 01.01.2010 and 31.03.2024 were searched from the hospital information system. The cytopathology and histopathological slides were retrieved, and each case was separately reviewed and retrospectively classified into the I) non-diagnostic (ND), II) non-neoplastic (NN), III) atypia of undetermined significance (AUS), IVA) benign neoplasms (NB), IVB) SG neoplasm of uncertain malignant potential (SUMP), V) suspicious for malignancy (SFM), or VI) malignant categories according to the MSRSGC. Cyto-histopathological correlation analysis was performed, and the ROM for each category was calculated.

Results: A total of 793 such cases were obtained. Histopathological follow-up was available in 267 cases, which included 2 (0.7%) ND, 29 (10.9%) NN, 5 (1.9%) AUS, 190 (71.2%) NB, 11 (4.1%) SUMP, 10 (3.7%) SFM, and 20 (7.5%) malignant cases. The calculated ROM for these ascending categories were 0%, 27.6%, 60%, 11.8%, 45.5%, 90%, and 100%, respectively.

Conclusion: MSRSGC is a valuable means to standardize the reporting and preoperatively stratify SGLs as per the ROM for each ascending risk category. This study, to the best of our knowledge, is the largest Indian study to authenticate the utility and reproducibility of the MSRSGC in our tertiary care institute.

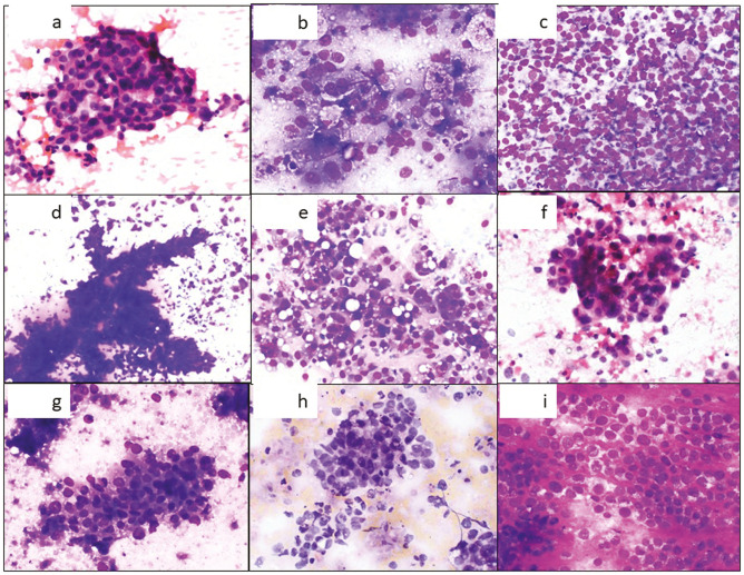
Abstract Image

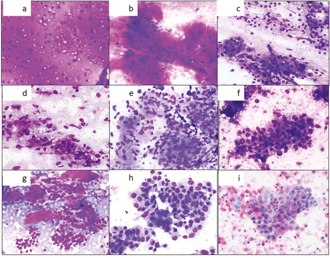
Abstract Image

验证在北印度三级保健中心报告唾液腺细胞病理学的米兰系统对唾液腺细针抽吸诊断的效用,并比较其两个版本的恶性风险。
背景:涎腺细针抽吸(FNA)是一种被广泛接受的涎腺病变(SGLs)术前治疗工具。《米兰唾液腺细胞病理学报告系统》(MSRSGC)第一版和第二版分别于2018年和2023年出版。MSRSGC旨在通过提供临床医生和机构之间更好的沟通来改善患者护理。它有六个上升的诊断类别,有明确的恶性肿瘤风险(ROM)和相应的管理方案。我们的研究评估了印度北部三级保健转诊中心内每个MSRSGC类别的发生率和相应的ROM,并将每个ROM与两个版本的MSRSGC中规定的ROM进行了比较。目的和目标:主要目的和目标如下:1。验证MSRSGC在北印度三级保健中心诊断SG-FNAs的效用。比较两个版本的恶性肿瘤风险。材料与方法:检索2010年1月1日至2024年3月31日在我院进行的sg - fna手术数据。收集细胞病理学和组织病理学切片,分别对每个病例进行回顾,并根据MSRSGC将其分为I)非诊断性(ND), II)非肿瘤性(NN), III)不确定意义的非典型性(AUS), IVA)良性肿瘤(NB), IVB)恶性潜能不确定的SG肿瘤(SUMP), V)可疑恶性肿瘤(SFM)或VI)恶性。进行细胞-组织病理学相关性分析,并计算每一类的ROM。结果:共获得此类病例793例。组织病理随访267例,ND 2例(0.7%),NN 29例(10.9%),AUS 5例(1.9%),NB 190例(71.2%),SUMP 11例(4.1%),SFM 10例(3.7%),恶性20例(7.5%)。这些上升类别的计算ROM分别为0%、27.6%、60%、11.8%、45.5%、90%和100%。结论:MSRSGC是一种有价值的方法,可以规范SGLs的报告,并根据ROM对每一个上升的风险类别进行术前分层。据我们所知,这项研究是印度最大的一项研究,旨在验证MSRSGC在我们三级保健研究所的实用性和可重复性。
本文章由计算机程序翻译,如有差异,请以英文原文为准。
求助全文
约1分钟内获得全文 求助全文
来源期刊
Journal of Cytology
Journal of Cytology MEDICAL LABORATORY TECHNOLOGY-
CiteScore
1.80
自引率
7.70%
发文量
34
审稿时长
46 weeks
期刊介绍: The Journal of Cytology is the official Quarterly publication of the Indian Academy of Cytologists. It is in the 25th year of publication in the year 2008. The journal covers all aspects of diagnostic cytology, including fine needle aspiration cytology, gynecological and non-gynecological cytology. Articles on ancillary techniques, like cytochemistry, immunocytochemistry, electron microscopy, molecular cytopathology, as applied to cytological material are also welcome. The journal gives preference to clinically oriented studies over experimental and animal studies. The Journal would publish peer-reviewed original research papers, case reports, systematic reviews, meta-analysis, and debates.
×
引用
GB/T 7714-2015
复制
MLA
复制
APA
复制
导出至
BibTeX EndNote RefMan NoteFirst NoteExpress
×
提示
您的信息不完整,为了账户安全,请先补充。
现在去补充
×
提示
您因"违规操作"
具体请查看互助需知
我知道了
×
提示
确定
请完成安全验证×
copy
已复制链接
快去分享给好友吧!
我知道了
右上角分享
点击右上角分享
0
联系我们:info@booksci.cn Book学术提供免费学术资源搜索服务,方便国内外学者检索中英文文献。致力于提供最便捷和优质的服务体验。 Copyright © 2023 布克学术 All rights reserved.
京ICP备2023020795号-1
ghs 京公网安备 11010802042870号
Book学术文献互助
Book学术文献互助群
群 号:604180095
Book学术官方微信