Cytology and Core Biopsy for Cystic Lesions of the Pancreas: A Comparison of Three Cytological Grading Systems.

IF 1 4区 医学 Q4 MEDICAL LABORATORY TECHNOLOGY
Journal of Cytology Pub Date : 2025-07-01 Epub Date: 2025-08-29 DOI:10.4103/joc.joc_6_25
Andrei Bancu, Matthew Hanks, Lauren Ackroyd, Suresh Venkatachalapathy, Dileep N Lobo, Abed M Zaitoun
{"title":"Cytology and Core Biopsy for Cystic Lesions of the Pancreas: A Comparison of Three Cytological Grading Systems.","authors":"Andrei Bancu, Matthew Hanks, Lauren Ackroyd, Suresh Venkatachalapathy, Dileep N Lobo, Abed M Zaitoun","doi":"10.4103/joc.joc_6_25","DOIUrl":null,"url":null,"abstract":"<p><strong>Introduction: </strong>Cytological appearances may be insufficient to establish the diagnosis of pancreatic cystic lesions, especially for premalignant neoplasms. This study aimed to evaluate three commonly used cytological grading systems [C1-C5, Papanicolaou (Pap), and World Health Organization (WHO) classification systems] in assessing pancreatic cystic lesions.</p><p><strong>Materials and methods: </strong>A total of 210 pancreatic cytology specimens were classified based on the aforementioned grading systems, 127 of which had supporting histology reported across 6 years, at a single-tertiary referral center.</p><p><strong>Results: </strong>We excluded 26 cases because of inadequate cytology. The most common cystic lesions were intraductal papillary mucinous neoplasms (IPMNs, <i>n</i> = 71) and pseudocysts (<i>n</i> = 55). Among IPMN, 27 were moderate/high-grade, and 44 were low-grade. There were 12 mucinous cystic neoplasms, 75 benign cysts (pseudocysts, serous cystadenomas, lymphoepithelial cysts, and others), and 15 malignant cases, with 11 cysts being of uncertain etiology. There were 21 high-risk and potentially malignant (WHO grade V) cases in comparison with 42 cases using the C grading (C4 and C5). However, according to Pap grading, 87 had varying risks of malignancy (Category IVB). According to the WHO classification, 63 cases were classified as low-risk pancreaticobiliary neoplasms (WHO grade IV). The remaining cases 85 were benign to very low-risk malignant potential and, therefore, were less likely to be considered for surgical intervention. Diagnostic concordance was higher between cytology and core biopsies in low-grade IPMN.</p><p><strong>Conclusion: </strong>The WHO system provides better risk stratification for neoplasms, optimizing surgical management. However, the C1-C5 system does not recognize cystic lesions with malignant potential.</p>","PeriodicalId":50217,"journal":{"name":"Journal of Cytology","volume":"42 3","pages":"151-162"},"PeriodicalIF":1.0000,"publicationDate":"2025-07-01","publicationTypes":"Journal Article","fieldsOfStudy":null,"isOpenAccess":false,"openAccessPdf":"https://www.ncbi.nlm.nih.gov/pmc/articles/PMC12435879/pdf/","citationCount":"0","resultStr":null,"platform":"Semanticscholar","paperid":null,"PeriodicalName":"Journal of Cytology","FirstCategoryId":"3","ListUrlMain":"https://doi.org/10.4103/joc.joc_6_25","RegionNum":4,"RegionCategory":"医学","ArticlePicture":[],"TitleCN":null,"AbstractTextCN":null,"PMCID":null,"EPubDate":"2025/8/29 0:00:00","PubModel":"Epub","JCR":"Q4","JCRName":"MEDICAL LABORATORY TECHNOLOGY","Score":null,"Total":0}
引用次数: 0

Abstract

Introduction: Cytological appearances may be insufficient to establish the diagnosis of pancreatic cystic lesions, especially for premalignant neoplasms. This study aimed to evaluate three commonly used cytological grading systems [C1-C5, Papanicolaou (Pap), and World Health Organization (WHO) classification systems] in assessing pancreatic cystic lesions.

Materials and methods: A total of 210 pancreatic cytology specimens were classified based on the aforementioned grading systems, 127 of which had supporting histology reported across 6 years, at a single-tertiary referral center.

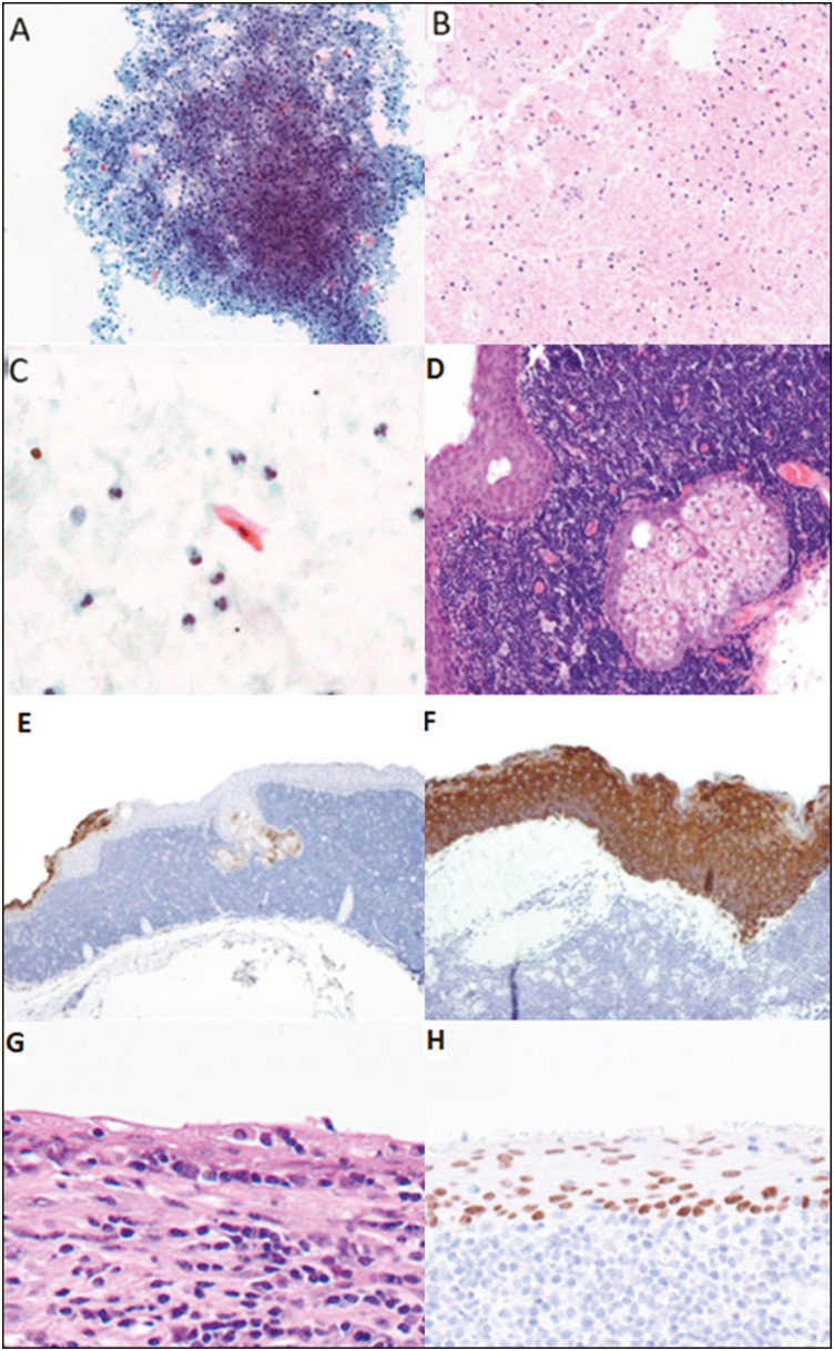
Results: We excluded 26 cases because of inadequate cytology. The most common cystic lesions were intraductal papillary mucinous neoplasms (IPMNs, n = 71) and pseudocysts (n = 55). Among IPMN, 27 were moderate/high-grade, and 44 were low-grade. There were 12 mucinous cystic neoplasms, 75 benign cysts (pseudocysts, serous cystadenomas, lymphoepithelial cysts, and others), and 15 malignant cases, with 11 cysts being of uncertain etiology. There were 21 high-risk and potentially malignant (WHO grade V) cases in comparison with 42 cases using the C grading (C4 and C5). However, according to Pap grading, 87 had varying risks of malignancy (Category IVB). According to the WHO classification, 63 cases were classified as low-risk pancreaticobiliary neoplasms (WHO grade IV). The remaining cases 85 were benign to very low-risk malignant potential and, therefore, were less likely to be considered for surgical intervention. Diagnostic concordance was higher between cytology and core biopsies in low-grade IPMN.

Conclusion: The WHO system provides better risk stratification for neoplasms, optimizing surgical management. However, the C1-C5 system does not recognize cystic lesions with malignant potential.

Abstract Image

Abstract Image

Abstract Image

胰腺囊性病变的细胞学和核心活检:三种细胞学分级系统的比较。
细胞学表现可能不足以确定胰腺囊性病变的诊断,特别是对于癌前肿瘤。本研究旨在评估三种常用的细胞学分级系统[C1-C5, Papanicolaou (Pap)和世界卫生组织(WHO)分级系统]在评估胰腺囊性病变中的作用。材料和方法:根据上述分级系统对210例胰腺细胞学标本进行分类,其中127例在单一三级转诊中心6年内有支持组织学报告。结果:由于细胞学检查不充分,我们排除了26例。最常见的囊性病变为导管内乳头状粘液瘤(IPMNs, = 71)和假性囊肿( = 55)。IPMN中重度27例,低重度44例。粘液性囊性肿瘤12例,良性囊肿(假性囊肿、浆液性囊腺瘤、淋巴上皮囊肿等)75例,恶性囊肿15例,其中11例病因不明。高危和潜在恶性(WHO V级)病例21例,而C级(C4和C5)病例42例。然而,根据Pap分级,87例有不同的恶性肿瘤风险(IVB类)。根据WHO分级,63例为低危胰胆肿瘤(WHO分级IV级)。其余85例为良性至极低风险的恶性肿瘤,因此不太可能考虑手术干预。低度IPMN的细胞学和核心活检诊断一致性较高。结论:WHO系统为肿瘤提供了更好的风险分层,优化了手术处理。然而,C1-C5系统不能识别有恶性潜能的囊性病变。
本文章由计算机程序翻译,如有差异,请以英文原文为准。
求助全文
约1分钟内获得全文 求助全文
来源期刊
Journal of Cytology
Journal of Cytology MEDICAL LABORATORY TECHNOLOGY-
CiteScore
1.80
自引率
7.70%
发文量
34
审稿时长
46 weeks
期刊介绍: The Journal of Cytology is the official Quarterly publication of the Indian Academy of Cytologists. It is in the 25th year of publication in the year 2008. The journal covers all aspects of diagnostic cytology, including fine needle aspiration cytology, gynecological and non-gynecological cytology. Articles on ancillary techniques, like cytochemistry, immunocytochemistry, electron microscopy, molecular cytopathology, as applied to cytological material are also welcome. The journal gives preference to clinically oriented studies over experimental and animal studies. The Journal would publish peer-reviewed original research papers, case reports, systematic reviews, meta-analysis, and debates.
×
引用
GB/T 7714-2015
复制
MLA
复制
APA
复制
导出至
BibTeX EndNote RefMan NoteFirst NoteExpress
×
提示
您的信息不完整,为了账户安全,请先补充。
现在去补充
×
提示
您因"违规操作"
具体请查看互助需知
我知道了
×
提示
确定
请完成安全验证×
copy
已复制链接
快去分享给好友吧!
我知道了
右上角分享
点击右上角分享
0
联系我们:info@booksci.cn Book学术提供免费学术资源搜索服务,方便国内外学者检索中英文文献。致力于提供最便捷和优质的服务体验。 Copyright © 2023 布克学术 All rights reserved.
京ICP备2023020795号-1
ghs 京公网安备 11010802042870号
Book学术文献互助
Book学术文献互助群
群 号:604180095
Book学术官方微信