Solid-Pseudopapillary Neoplasm of Pancreas: Insights from Cytopathology.

IF 1 4区 医学 Q4 MEDICAL LABORATORY TECHNOLOGY
Journal of Cytology Pub Date : 2025-07-01 Epub Date: 2025-08-29 DOI:10.4103/joc.joc_26_25
Isha Makker, Zachariah Chowdhury, Paramita Paul, Ipsita Dhal, Sadaf Haiyat, Shashikant Patne
{"title":"Solid-Pseudopapillary Neoplasm of Pancreas: Insights from Cytopathology.","authors":"Isha Makker, Zachariah Chowdhury, Paramita Paul, Ipsita Dhal, Sadaf Haiyat, Shashikant Patne","doi":"10.4103/joc.joc_26_25","DOIUrl":null,"url":null,"abstract":"<p><strong>Background: </strong>Solid-pseudopapillary neoplasm (SPEN) is a rare pancreatic tumor, constituting 2-3% of all pancreatic neoplasms, primarily affecting young women with a median age of 30. Its prognosis is generally favorable due to the low incidence of metastasis and successful surgical resection. Accurate preoperative diagnosis is crucial, as its cytological features are distinctive.</p><p><strong>Aim: </strong>To elucidate the significance of cytopathology in the detection of SPEN, associated diagnostic pearls and pitfalls, and histopathologic correlation.</p><p><strong>Materials and methods: </strong>All SPEN cases diagnosed through cytomorphology were retrieved from the hospital medical records, and relevant clinical information was compiled. Cytopathology and histopathology slides were obtained from the archives and reviewed.</p><p><strong>Results: </strong>All four cases were middle-aged women (mean age = 40 years) presenting with abdominal pain. Imaging showed solid-cystic lesions. The diagnosis of SPEN was rendered on fine needle aspiration cytology (FNAC), with characteristic papillary and glandular patterns. Histology confirmed the diagnosis with 100% cytohistological concordance in all four cases.</p><p><strong>Conclusion: </strong>FNAC is an effective tool for the detection of SPEN, allowing precise diagnosis, guiding surgery, and reducing the need for extensive resection.</p>","PeriodicalId":50217,"journal":{"name":"Journal of Cytology","volume":"42 3","pages":"170-174"},"PeriodicalIF":1.0000,"publicationDate":"2025-07-01","publicationTypes":"Journal Article","fieldsOfStudy":null,"isOpenAccess":false,"openAccessPdf":"https://www.ncbi.nlm.nih.gov/pmc/articles/PMC12435871/pdf/","citationCount":"0","resultStr":null,"platform":"Semanticscholar","paperid":null,"PeriodicalName":"Journal of Cytology","FirstCategoryId":"3","ListUrlMain":"https://doi.org/10.4103/joc.joc_26_25","RegionNum":4,"RegionCategory":"医学","ArticlePicture":[],"TitleCN":null,"AbstractTextCN":null,"PMCID":null,"EPubDate":"2025/8/29 0:00:00","PubModel":"Epub","JCR":"Q4","JCRName":"MEDICAL LABORATORY TECHNOLOGY","Score":null,"Total":0}
引用次数: 0

Abstract

Background: Solid-pseudopapillary neoplasm (SPEN) is a rare pancreatic tumor, constituting 2-3% of all pancreatic neoplasms, primarily affecting young women with a median age of 30. Its prognosis is generally favorable due to the low incidence of metastasis and successful surgical resection. Accurate preoperative diagnosis is crucial, as its cytological features are distinctive.

Aim: To elucidate the significance of cytopathology in the detection of SPEN, associated diagnostic pearls and pitfalls, and histopathologic correlation.

Materials and methods: All SPEN cases diagnosed through cytomorphology were retrieved from the hospital medical records, and relevant clinical information was compiled. Cytopathology and histopathology slides were obtained from the archives and reviewed.

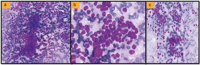
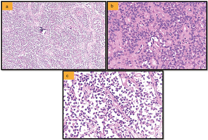
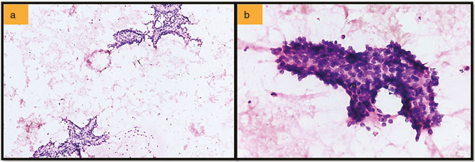
Results: All four cases were middle-aged women (mean age = 40 years) presenting with abdominal pain. Imaging showed solid-cystic lesions. The diagnosis of SPEN was rendered on fine needle aspiration cytology (FNAC), with characteristic papillary and glandular patterns. Histology confirmed the diagnosis with 100% cytohistological concordance in all four cases.

Conclusion: FNAC is an effective tool for the detection of SPEN, allowing precise diagnosis, guiding surgery, and reducing the need for extensive resection.

Abstract Image

Abstract Image

Abstract Image

胰腺实体假乳头状肿瘤:细胞病理学的见解。
背景:实性假乳头状肿瘤(solid - pseudapillary neoplasm, SPEN)是一种罕见的胰腺肿瘤,占所有胰腺肿瘤的2-3%,主要影响中位年龄30岁的年轻女性。由于转移发生率低且手术切除成功,其预后通常良好。准确的术前诊断是至关重要的,因为它的细胞学特征是独特的。目的:探讨细胞病理学在SPEN检测中的意义、相关诊断缺陷及组织病理学相关性。材料与方法:从医院病历中检索经细胞形态学诊断的SPEN病例,整理相关临床资料。从档案中获得细胞病理学和组织病理学切片并进行复习。结果:4例均为中年妇女(平均年龄40岁),均表现为腹痛。影像学显示实性囊性病变。SPEN的诊断是通过细针穿刺细胞学(FNAC)进行的,具有特征性的乳头状和腺样结构。组织学证实,所有4例病例的细胞组织学诊断100%一致。结论:FNAC是检测SPEN的有效工具,可以精确诊断,指导手术,减少广泛切除的需要。
本文章由计算机程序翻译,如有差异,请以英文原文为准。
求助全文
约1分钟内获得全文 求助全文
来源期刊
Journal of Cytology
Journal of Cytology MEDICAL LABORATORY TECHNOLOGY-
CiteScore
1.80
自引率
7.70%
发文量
34
审稿时长
46 weeks
期刊介绍: The Journal of Cytology is the official Quarterly publication of the Indian Academy of Cytologists. It is in the 25th year of publication in the year 2008. The journal covers all aspects of diagnostic cytology, including fine needle aspiration cytology, gynecological and non-gynecological cytology. Articles on ancillary techniques, like cytochemistry, immunocytochemistry, electron microscopy, molecular cytopathology, as applied to cytological material are also welcome. The journal gives preference to clinically oriented studies over experimental and animal studies. The Journal would publish peer-reviewed original research papers, case reports, systematic reviews, meta-analysis, and debates.
×
引用
GB/T 7714-2015
复制
MLA
复制
APA
复制
导出至
BibTeX EndNote RefMan NoteFirst NoteExpress
×
提示
您的信息不完整,为了账户安全,请先补充。
现在去补充
×
提示
您因"违规操作"
具体请查看互助需知
我知道了
×
提示
确定
请完成安全验证×
copy
已复制链接
快去分享给好友吧!
我知道了
右上角分享
点击右上角分享
0
联系我们:info@booksci.cn Book学术提供免费学术资源搜索服务,方便国内外学者检索中英文文献。致力于提供最便捷和优质的服务体验。 Copyright © 2023 布克学术 All rights reserved.
京ICP备2023020795号-1
ghs 京公网安备 11010802042870号
Book学术文献互助
Book学术文献互助群
群 号:604180095
Book学术官方微信