The effect of panax ginseng on intimal hyperplasia in rats with abdominal aortic intimal injury.

IF 0.5 4区 医学 Q4 SURGERY
Doğan Yetüt, Nejat V Olgaç, İhsan Bakır
{"title":"The effect of panax ginseng on intimal hyperplasia in rats with abdominal aortic intimal injury.","authors":"Doğan Yetüt, Nejat V Olgaç, İhsan Bakır","doi":"10.5606/tgkdc.dergisi.2025.25611","DOIUrl":null,"url":null,"abstract":"<p><strong>Background: </strong>This study aims to investigate the effects of <i>Panax ginseng (P. ginseng)</i> on intimal hyperplasia following intimal injury induced in the abdominal aortas of rats.</p><p><strong>Methods: </strong>Twenty-four Wistar Albino rats were divided into four equal groups. Group A was designated as the control group and underwent laparotomy alone. In Group B, following laparotomy, the abdominal aorta was partially transected, and intimal injury was induced proximally using a 2F Fogarty catheter. Groups C and D received 20 mg/kg and 40 mg/kg of <i>P. ginseng</i>, respectively, and both groups underwent the same procedure as Group B. Two samples were collected from all rats with aortic injury: one from the primarily repaired aortic segment and another from the aortic segment with intimal injury caused by a Fogarty catheter. One sample was collected from the control group. The intima and media thicknesses of the collected aortic samples were histopathologically evaluated.</p><p><strong>Results: </strong>No significant intimal hyperplasia was observed in the primarily repaired aortic segments, and <i>P. ginseng</i> did not have significant effect in these segments (p=0.394 and p=0.580, p=0.180, p>0.05). However, significant intimal hyperplasia developed in the aortic segments with injury induced by the Fogarty catheter (p=0.012, p<0.05). High-dose <i>P. ginseng</i> (40 mg/kg) significantly reduced intimal hyperplasia in these segments (p=0.036, p<0.05), while the low dose (20 mg/kg) did not show statistically significant effect (p=1.000, p>0.05).</p><p><strong>Conclusion: </strong>Our study results showed that P. ginseng reduced intimal hyperplasia in a dose-dependent manner in rat abdominal aortas.</p>","PeriodicalId":49413,"journal":{"name":"Turk Gogus Kalp Damar Cerrahisi Dergisi-Turkish Journal of Thoracic and Cardiovascular Surgery","volume":"33 3","pages":"312-320"},"PeriodicalIF":0.5000,"publicationDate":"2025-07-21","publicationTypes":"Journal Article","fieldsOfStudy":null,"isOpenAccess":false,"openAccessPdf":"https://www.ncbi.nlm.nih.gov/pmc/articles/PMC12434582/pdf/","citationCount":"0","resultStr":null,"platform":"Semanticscholar","paperid":null,"PeriodicalName":"Turk Gogus Kalp Damar Cerrahisi Dergisi-Turkish Journal of Thoracic and Cardiovascular Surgery","FirstCategoryId":"3","ListUrlMain":"https://doi.org/10.5606/tgkdc.dergisi.2025.25611","RegionNum":4,"RegionCategory":"医学","ArticlePicture":[],"TitleCN":null,"AbstractTextCN":null,"PMCID":null,"EPubDate":"2025/7/1 0:00:00","PubModel":"eCollection","JCR":"Q4","JCRName":"SURGERY","Score":null,"Total":0}
引用次数: 0

Abstract

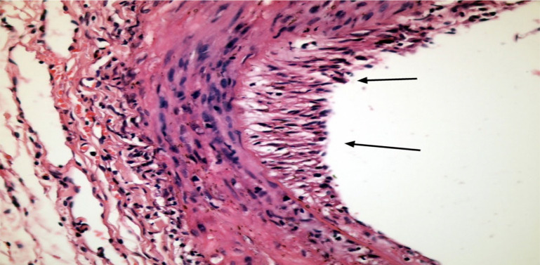
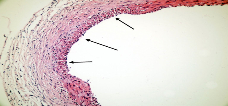
Background: This study aims to investigate the effects of Panax ginseng (P. ginseng) on intimal hyperplasia following intimal injury induced in the abdominal aortas of rats.

Methods: Twenty-four Wistar Albino rats were divided into four equal groups. Group A was designated as the control group and underwent laparotomy alone. In Group B, following laparotomy, the abdominal aorta was partially transected, and intimal injury was induced proximally using a 2F Fogarty catheter. Groups C and D received 20 mg/kg and 40 mg/kg of P. ginseng, respectively, and both groups underwent the same procedure as Group B. Two samples were collected from all rats with aortic injury: one from the primarily repaired aortic segment and another from the aortic segment with intimal injury caused by a Fogarty catheter. One sample was collected from the control group. The intima and media thicknesses of the collected aortic samples were histopathologically evaluated.

Results: No significant intimal hyperplasia was observed in the primarily repaired aortic segments, and P. ginseng did not have significant effect in these segments (p=0.394 and p=0.580, p=0.180, p>0.05). However, significant intimal hyperplasia developed in the aortic segments with injury induced by the Fogarty catheter (p=0.012, p<0.05). High-dose P. ginseng (40 mg/kg) significantly reduced intimal hyperplasia in these segments (p=0.036, p<0.05), while the low dose (20 mg/kg) did not show statistically significant effect (p=1.000, p>0.05).

Conclusion: Our study results showed that P. ginseng reduced intimal hyperplasia in a dose-dependent manner in rat abdominal aortas.

Abstract Image

Abstract Image

Abstract Image

人参对腹主动脉内膜损伤大鼠内膜增生的影响。
背景:本研究旨在探讨人参对大鼠腹主动脉损伤后内膜增生的影响。方法:24只Wistar白化大鼠随机分为4组。A组为对照组,单独开腹手术。B组,剖腹手术后,部分切断腹主动脉,采用2F Fogarty导管近端诱导内膜损伤。C组和D组分别给予20 mg/kg和40 mg/kg人参,两组均采用与b组相同的方法,从所有主动脉损伤大鼠中收集两个样本:一个来自主要修复的主动脉段,另一个来自福格蒂导管引起的内膜损伤的主动脉段。从对照组中抽取一个样本。对采集的主动脉内膜和中膜厚度进行组织病理学评估。结果:初步修复主动脉段未见明显内膜增生,人参对修复主动脉段无显著影响(p=0.394、p=0.580、p=0.180、p>0.05)。然而,Fogarty导管损伤后主动脉段内膜增生明显(p=0.012),人参(40 mg/kg)可显著减少主动脉段内膜增生(p=0.036, p0.05)。结论:人参对大鼠腹主动脉内膜增生具有剂量依赖性。
本文章由计算机程序翻译,如有差异,请以英文原文为准。
求助全文
约1分钟内获得全文 求助全文
来源期刊
CiteScore
1.00
自引率
0.00%
发文量
98
审稿时长
3-8 weeks
期刊介绍: The Turkish Journal of Thoracic and Cardiovascular Surgery is an international open access journal which publishes original articles on topics in generality of Cardiac, Thoracic, Arterial, Venous, Lymphatic Disorders and their managements. These encompass all relevant clinical, surgical and experimental studies, editorials, current and collective reviews, technical know-how papers, case reports, interesting images, How to Do It papers, correspondences, and commentaries.
×
引用
GB/T 7714-2015
复制
MLA
复制
APA
复制
导出至
BibTeX EndNote RefMan NoteFirst NoteExpress
×
提示
您的信息不完整,为了账户安全,请先补充。
现在去补充
×
提示
您因"违规操作"
具体请查看互助需知
我知道了
×
提示
确定
请完成安全验证×
copy
已复制链接
快去分享给好友吧!
我知道了
右上角分享
点击右上角分享
0
联系我们:info@booksci.cn Book学术提供免费学术资源搜索服务,方便国内外学者检索中英文文献。致力于提供最便捷和优质的服务体验。 Copyright © 2023 布克学术 All rights reserved.
京ICP备2023020795号-1
ghs 京公网安备 11010802042870号
Book学术文献互助
Book学术文献互助群
群 号:604180095
Book学术官方微信