Carob extract restores testicular function and sperm quality in cadmium-exposed mice: An experimental study.

IF 1.8 Q3 OBSTETRICS & GYNECOLOGY
International Journal of Reproductive Biomedicine Pub Date : 2025-08-27 eCollection Date: 2025-07-01 DOI:10.18502/ijrm.v23i7.19482
Mojtaba Moradi, Elham Ghanbari, Zahra Rashidi, Saman Moradi, Ali Shakeri, Azita Faramarzi
{"title":"Carob extract restores testicular function and sperm quality in cadmium-exposed mice: An experimental study.","authors":"Mojtaba Moradi, Elham Ghanbari, Zahra Rashidi, Saman Moradi, Ali Shakeri, Azita Faramarzi","doi":"10.18502/ijrm.v23i7.19482","DOIUrl":null,"url":null,"abstract":"<p><strong>Background: </strong>Cadmium (Cd) is a hazardous heavy metal, and its exposure can lead to a range of health issues, including significant adverse effects on reproductive health in animals and humans. Recently, there has been increasing recognition of the antioxidant benefits of <i>Ceratonia siliqua</i> extract (CSE).</p><p><strong>Objective: </strong>To evaluate the therapeutic potential of CSE in mitigating testicular injury and spermatogenesis impairment induced by Cd.</p><p><strong>Materials and methods: </strong>In this experimental study, 40 adult male BALB/c mice (8-12 wk, 30 <math><mo>±</mo></math> 5 gr) were randomly divided into 4 groups (n = 10/each): control, Cd (0.35 mg/kg), CSE (100 mg/kg), and CSE+Cd (100 mg/kg + 0.35 mg/kg). Adult male mice were intraperitoneally injected for one cycle of spermatogenesis (35 days). Sperm parameters, sperm DNA integrity, testicular histopathology status, testosterone hormone level, and testicular levels of malondialdehyde, nitric oxide, and total antioxidant capacity were assessed.</p><p><strong>Results: </strong>CSE restored spermatogenesis by improving sperm count, motility, viability, morphology, and chromatin integrity (p <math><mo><</mo></math> 0.01). Testosterone levels and the histopathology of the testes also showed significant improvement in the CSE-administrated groups (p <math><mo><</mo></math> 0.001). More notably, Cd administration significantly induced oxidative stress in testicular tissue (p <math><mo><</mo></math> 0.001). Also, CSE restored antioxidant status by enhancing total antioxidant capacity levels and ameliorating nitric oxide and malondialdehyde levels (p <math><mo><</mo></math> 0.001).</p><p><strong>Conclusion: </strong>Administering CSE could potentially enhance testis function and sperm parameters against chronic Cd exposure-induced reproductive toxicity, likely due to improving testosterone secretion and its antioxidant properties.</p>","PeriodicalId":14386,"journal":{"name":"International Journal of Reproductive Biomedicine","volume":"23 7","pages":"545-558"},"PeriodicalIF":1.8000,"publicationDate":"2025-08-27","publicationTypes":"Journal Article","fieldsOfStudy":null,"isOpenAccess":false,"openAccessPdf":"https://www.ncbi.nlm.nih.gov/pmc/articles/PMC12435346/pdf/","citationCount":"0","resultStr":null,"platform":"Semanticscholar","paperid":null,"PeriodicalName":"International Journal of Reproductive Biomedicine","FirstCategoryId":"1085","ListUrlMain":"https://doi.org/10.18502/ijrm.v23i7.19482","RegionNum":0,"RegionCategory":null,"ArticlePicture":[],"TitleCN":null,"AbstractTextCN":null,"PMCID":null,"EPubDate":"2025/7/1 0:00:00","PubModel":"eCollection","JCR":"Q3","JCRName":"OBSTETRICS & GYNECOLOGY","Score":null,"Total":0}
引用次数: 0

Abstract

Background: Cadmium (Cd) is a hazardous heavy metal, and its exposure can lead to a range of health issues, including significant adverse effects on reproductive health in animals and humans. Recently, there has been increasing recognition of the antioxidant benefits of Ceratonia siliqua extract (CSE).

Objective: To evaluate the therapeutic potential of CSE in mitigating testicular injury and spermatogenesis impairment induced by Cd.

Materials and methods: In this experimental study, 40 adult male BALB/c mice (8-12 wk, 30 ± 5 gr) were randomly divided into 4 groups (n = 10/each): control, Cd (0.35 mg/kg), CSE (100 mg/kg), and CSE+Cd (100 mg/kg + 0.35 mg/kg). Adult male mice were intraperitoneally injected for one cycle of spermatogenesis (35 days). Sperm parameters, sperm DNA integrity, testicular histopathology status, testosterone hormone level, and testicular levels of malondialdehyde, nitric oxide, and total antioxidant capacity were assessed.

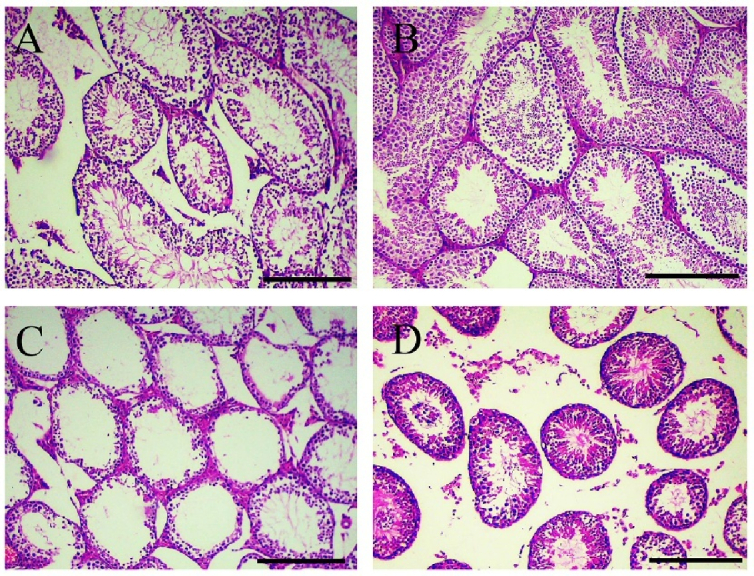
Results: CSE restored spermatogenesis by improving sperm count, motility, viability, morphology, and chromatin integrity (p < 0.01). Testosterone levels and the histopathology of the testes also showed significant improvement in the CSE-administrated groups (p < 0.001). More notably, Cd administration significantly induced oxidative stress in testicular tissue (p < 0.001). Also, CSE restored antioxidant status by enhancing total antioxidant capacity levels and ameliorating nitric oxide and malondialdehyde levels (p < 0.001).

Conclusion: Administering CSE could potentially enhance testis function and sperm parameters against chronic Cd exposure-induced reproductive toxicity, likely due to improving testosterone secretion and its antioxidant properties.

Abstract Image

Abstract Image

Abstract Image

角豆提取物恢复镉暴露小鼠睾丸功能和精子质量:一项实验研究。
背景:镉(Cd)是一种有害重金属,接触镉可导致一系列健康问题,包括对动物和人类生殖健康的严重不利影响。近年来,人们越来越多地认识到白角菊提取物(CSE)的抗氧化作用。目的:评价CSE对Cd致睾丸损伤和精子发生障碍的治疗作用。材料与方法:选取BALB/c成年雄性小鼠40只(8-12周,30±5 gr),随机分为4组,每组10只:对照组、Cd组(0.35 mg/kg)、CSE组(100 mg/kg)、CSE+Cd组(100 mg/kg + 0.35 mg/kg)。成年雄性小鼠腹腔注射1个周期(35天)精子发生。评估精子参数、精子DNA完整性、睾丸组织病理学状态、睾丸激素水平、睾丸丙二醛水平、一氧化氮水平和总抗氧化能力。结果:CSE通过改善精子数量、活力、活力、形态和染色质完整性来恢复精子发生(p 0.01)。睾酮水平和睾丸组织病理学在cse给药组也有显著改善(p < 0.001)。更值得注意的是,Cd给药显著诱导睾丸组织氧化应激(p 0.001)。此外,CSE通过提高总抗氧化能力水平和改善一氧化氮和丙二醛水平来恢复抗氧化状态(p 0.001)。结论:给药CSE可能通过改善睾酮分泌和抗氧化特性,增强睾丸功能和精子参数,以对抗慢性Cd暴露引起的生殖毒性。
本文章由计算机程序翻译,如有差异,请以英文原文为准。
求助全文
约1分钟内获得全文 求助全文
来源期刊
CiteScore
2.40
自引率
7.70%
发文量
93
审稿时长
16 weeks
期刊介绍: The International Journal of Reproductive BioMedicine (IJRM), formerly published as "Iranian Journal of Reproductive Medicine (ISSN: 1680-6433)", is an international monthly scientific journal for who treat and investigate problems of infertility and human reproductive disorders. This journal accepts Original Papers, Review Articles, Short Communications, Case Reports, Photo Clinics, and Letters to the Editor in the fields of fertility and infertility, ethical and social issues of assisted reproductive technologies, cellular and molecular biology of reproduction including the development of gametes and early embryos, assisted reproductive technologies in model system and in a clinical environment, reproductive endocrinology, andrology, epidemiology, pathology, genetics, oncology, surgery, psychology, and physiology. Emerging topics including cloning and stem cells are encouraged.
×
引用
GB/T 7714-2015
复制
MLA
复制
APA
复制
导出至
BibTeX EndNote RefMan NoteFirst NoteExpress
×
提示
您的信息不完整,为了账户安全,请先补充。
现在去补充
×
提示
您因"违规操作"
具体请查看互助需知
我知道了
×
提示
确定
请完成安全验证×
copy
已复制链接
快去分享给好友吧!
我知道了
右上角分享
点击右上角分享
0
联系我们:info@booksci.cn Book学术提供免费学术资源搜索服务,方便国内外学者检索中英文文献。致力于提供最便捷和优质的服务体验。 Copyright © 2023 布克学术 All rights reserved.
京ICP备2023020795号-1
ghs 京公网安备 11010802042870号
Book学术文献互助
Book学术文献互助群
群 号:604180095
Book学术官方微信