Impact of COVID-19 infection on placental histopathology and maternal-perinatal outcomes: A cross-sectional study.

IF 1.8 Q3 OBSTETRICS & GYNECOLOGY
International Journal of Reproductive Biomedicine Pub Date : 2025-08-20 eCollection Date: 2025-06-01 DOI:10.18502/ijrm.v23i6.19399
Seyedeh Mahsa Poormoosavi, Mohammad Amin Behmanesh, Fatemeh Pourmotahari, Kosar Tavvalapour, Sima Janati
{"title":"Impact of COVID-19 infection on placental histopathology and maternal-perinatal outcomes: A cross-sectional study.","authors":"Seyedeh Mahsa Poormoosavi, Mohammad Amin Behmanesh, Fatemeh Pourmotahari, Kosar Tavvalapour, Sima Janati","doi":"10.18502/ijrm.v23i6.19399","DOIUrl":null,"url":null,"abstract":"<p><strong>Background: </strong>Coronavirus disease 2019 (COVID-19) presents a broad spectrum of clinical outcomes and, unlike other coronaviruses, poses significant risks during pregnancy. A primary concern is the potential for vertical transmission from mother to fetus, affecting both maternal and fetal health.</p><p><strong>Objective: </strong>This study aimed to investigate the placental histopathology and maternal-perinatal outcomes in mothers infected with COVID-19.</p><p><strong>Materials and methods: </strong>In this cross-sectional study, 40 pregnant women referred to Ganjavian hospital, Dezful, Iran for delivery from June-October 2021 were enrolled in 2 groups: group I who were women with COVID-19 on the day of delivery (n = 30) and group II who were women without COVID-19 (n = 10). Placental tissue samples were collected post-delivery to assess histopathological changes and placental weight. Additionally, maternal and neonatal characteristics including maternal age, the number of prior deliveries and pregnancies, gestational age, 1- and 5-min Apgar scores, and maternal oxygen administration, mode of delivery, and neonatal COVID-19 test results, were compared between the groups.</p><p><strong>Results: </strong>No significant differences were found between the groups regarding maternal age, gestational age, parity, Apgar scores, placental weight, oxygen therapy, or delivery method. However, group I showed significantly higher rates of placental abnormalities such as intravillous fetal thrombosis (p = 0.002), fibrin deposition, lymphocytic infiltration, chorangiosis, edema, intervillous hemorrhage, syncytial node formation, distal villous hypoplasia, and avascular villi (p <math><mo><</mo></math> 0.001).</p><p><strong>Conclusion: </strong>According to our study, the placental tissue of pregnant women who have been infected with COVID-19 during their third trimester indicates tissue changes that can lead to poor exchanges between mother and fetus.</p>","PeriodicalId":14386,"journal":{"name":"International Journal of Reproductive Biomedicine","volume":"23 6","pages":"485-492"},"PeriodicalIF":1.8000,"publicationDate":"2025-08-20","publicationTypes":"Journal Article","fieldsOfStudy":null,"isOpenAccess":false,"openAccessPdf":"https://www.ncbi.nlm.nih.gov/pmc/articles/PMC12435328/pdf/","citationCount":"0","resultStr":null,"platform":"Semanticscholar","paperid":null,"PeriodicalName":"International Journal of Reproductive Biomedicine","FirstCategoryId":"1085","ListUrlMain":"https://doi.org/10.18502/ijrm.v23i6.19399","RegionNum":0,"RegionCategory":null,"ArticlePicture":[],"TitleCN":null,"AbstractTextCN":null,"PMCID":null,"EPubDate":"2025/6/1 0:00:00","PubModel":"eCollection","JCR":"Q3","JCRName":"OBSTETRICS & GYNECOLOGY","Score":null,"Total":0}
引用次数: 0

Abstract

Background: Coronavirus disease 2019 (COVID-19) presents a broad spectrum of clinical outcomes and, unlike other coronaviruses, poses significant risks during pregnancy. A primary concern is the potential for vertical transmission from mother to fetus, affecting both maternal and fetal health.

Objective: This study aimed to investigate the placental histopathology and maternal-perinatal outcomes in mothers infected with COVID-19.

Materials and methods: In this cross-sectional study, 40 pregnant women referred to Ganjavian hospital, Dezful, Iran for delivery from June-October 2021 were enrolled in 2 groups: group I who were women with COVID-19 on the day of delivery (n = 30) and group II who were women without COVID-19 (n = 10). Placental tissue samples were collected post-delivery to assess histopathological changes and placental weight. Additionally, maternal and neonatal characteristics including maternal age, the number of prior deliveries and pregnancies, gestational age, 1- and 5-min Apgar scores, and maternal oxygen administration, mode of delivery, and neonatal COVID-19 test results, were compared between the groups.

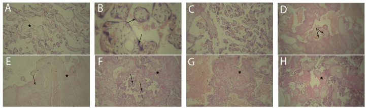
Results: No significant differences were found between the groups regarding maternal age, gestational age, parity, Apgar scores, placental weight, oxygen therapy, or delivery method. However, group I showed significantly higher rates of placental abnormalities such as intravillous fetal thrombosis (p = 0.002), fibrin deposition, lymphocytic infiltration, chorangiosis, edema, intervillous hemorrhage, syncytial node formation, distal villous hypoplasia, and avascular villi (p < 0.001).

Conclusion: According to our study, the placental tissue of pregnant women who have been infected with COVID-19 during their third trimester indicates tissue changes that can lead to poor exchanges between mother and fetus.

Abstract Image

COVID-19感染对胎盘组织病理学和母婴结局的影响:一项横断面研究
背景:2019冠状病毒病(COVID-19)具有广泛的临床结果,与其他冠状病毒不同,它在怀孕期间构成重大风险。一个主要问题是可能从母体垂直传播给胎儿,影响母体和胎儿的健康。目的:探讨新型冠状病毒肺炎(COVID-19)感染母亲的胎盘组织病理学及围产儿结局。材料和方法:在本横断面研究中,从2021年6月至10月到伊朗Dezful Ganjavian医院分娩的40名孕妇被分为两组:第一组为分娩当天感染COVID-19的妇女(n = 30),第二组为未感染COVID-19的妇女(n = 10)。产后收集胎盘组织样本,评估组织病理学变化和胎盘重量。此外,还比较了两组之间的产妇和新生儿特征,包括产妇年龄、分娩次数和妊娠次数、胎龄、1分钟和5分钟Apgar评分、产妇给氧、分娩方式和新生儿COVID-19检测结果。结果:在产妇年龄、胎龄、胎次、Apgar评分、胎盘重量、氧疗或分娩方式方面,组间无显著差异。然而,I组胎盘异常的发生率明显更高,如胎儿绒毛内血栓形成(p = 0.002)、纤维蛋白沉积、淋巴细胞浸润、脉络膜增生、水肿、绒毛间出血、合胞结形成、远端绒毛发育不全和无血管绒毛(p = 0.001)。结论:根据我们的研究,在妊娠晚期感染COVID-19的孕妇的胎盘组织存在组织变化,可能导致母亲和胎儿之间的交流不良。
本文章由计算机程序翻译,如有差异,请以英文原文为准。
求助全文
约1分钟内获得全文 求助全文
来源期刊
CiteScore
2.40
自引率
7.70%
发文量
93
审稿时长
16 weeks
期刊介绍: The International Journal of Reproductive BioMedicine (IJRM), formerly published as "Iranian Journal of Reproductive Medicine (ISSN: 1680-6433)", is an international monthly scientific journal for who treat and investigate problems of infertility and human reproductive disorders. This journal accepts Original Papers, Review Articles, Short Communications, Case Reports, Photo Clinics, and Letters to the Editor in the fields of fertility and infertility, ethical and social issues of assisted reproductive technologies, cellular and molecular biology of reproduction including the development of gametes and early embryos, assisted reproductive technologies in model system and in a clinical environment, reproductive endocrinology, andrology, epidemiology, pathology, genetics, oncology, surgery, psychology, and physiology. Emerging topics including cloning and stem cells are encouraged.
×
引用
GB/T 7714-2015
复制
MLA
复制
APA
复制
导出至
BibTeX EndNote RefMan NoteFirst NoteExpress
×
提示
您的信息不完整,为了账户安全,请先补充。
现在去补充
×
提示
您因"违规操作"
具体请查看互助需知
我知道了
×
提示
确定
请完成安全验证×
copy
已复制链接
快去分享给好友吧!
我知道了
右上角分享
点击右上角分享
0
联系我们:info@booksci.cn Book学术提供免费学术资源搜索服务,方便国内外学者检索中英文文献。致力于提供最便捷和优质的服务体验。 Copyright © 2023 布克学术 All rights reserved.
京ICP备2023020795号-1
ghs 京公网安备 11010802042870号
Book学术文献互助
Book学术文献互助群
群 号:604180095
Book学术官方微信