Human T-Lymphotropic Virus Type 1-Associated Myelopathy With Autoimmune Cholangiopathy: An Unusual Immune Conundrum in a Young Patient.

IF 0.8 Q4 INFECTIOUS DISEASES
Case Reports in Infectious Diseases Pub Date : 2025-09-08 eCollection Date: 2025-01-01 DOI:10.1155/crdi/7381720
Aida Saad, Yamna Jadoon, Riffat Sabir
{"title":"Human T-Lymphotropic Virus Type 1-Associated Myelopathy With Autoimmune Cholangiopathy: An Unusual Immune Conundrum in a Young Patient.","authors":"Aida Saad, Yamna Jadoon, Riffat Sabir","doi":"10.1155/crdi/7381720","DOIUrl":null,"url":null,"abstract":"<p><p>Human T-lymphotropic virus type 1 (HTLV-1), the first oncogenic retrovirus discovered in humans, is primarily associated with two disease entities: adult T cell leukemia-lymphoma and HTLV-1-associated myelopathy-tropical spastic paresis. HTLV-1 has also been implicated in the pathogenesis of various autoimmune rheumatic diseases, and its association with the autoimmune disorders of the gastrointestinal track is less well understood. Our patient, a 26-year-old previously healthy female, presented with recurrent, progressively worsening chronic abdominal pain and persistent liver test abnormalities. Initially diagnosed with acute acalculous cholecystitis and autoimmune hepatitis (AIH), her liver tests continued to exhibit a predominantly cholestatic pattern. This prompted further advanced imaging, and magnetic resonance cholangiopancreatography ultimately confirmed a diagnosis of primary sclerosing cholangitis (PSC). Complicating her condition further, she developed lower extremity weakness, initially attributed to axonal Guillain-Barré syndrome, which unfortunately did not respond to standard treatment. After a year marked by progressive clinical decline with repeated and prolonged hospitalizations due to fever of unknown origin, an extensive diagnostic workup ultimately led to a diagnosis of HTLV-1 myelopathy, along with AIH-PSC overlap syndrome. This case highlights the diagnostic challenges associated with the multisystem involvement of HTLV-1. Notably, our patient's presentation was not consistent with classic HTLV-1 myelopathy rather a subtype with rapidly progressive symptoms and flaccid as opposed to spastic paresis. The association between HTLV-1 infection and autoimmune cholangiopathy is exceptionally rare. To the best of our knowledge, our case represents only the second reported instance of autoimmune cholangiopathy associated with HTLV-1 myelopathy and the first reported case of AIH-PSC overlap syndrome associated with HTLV-1 myelopathy. This underscores the need for heightened clinical awareness of potential hepatic immune manifestations in patients with HTLV-1 infection, even in the absence of classic neurologic symptoms at initial presentation.</p>","PeriodicalId":9608,"journal":{"name":"Case Reports in Infectious Diseases","volume":"2025 ","pages":"7381720"},"PeriodicalIF":0.8000,"publicationDate":"2025-09-08","publicationTypes":"Journal Article","fieldsOfStudy":null,"isOpenAccess":false,"openAccessPdf":"https://www.ncbi.nlm.nih.gov/pmc/articles/PMC12435996/pdf/","citationCount":"0","resultStr":null,"platform":"Semanticscholar","paperid":null,"PeriodicalName":"Case Reports in Infectious Diseases","FirstCategoryId":"1085","ListUrlMain":"https://doi.org/10.1155/crdi/7381720","RegionNum":0,"RegionCategory":null,"ArticlePicture":[],"TitleCN":null,"AbstractTextCN":null,"PMCID":null,"EPubDate":"2025/1/1 0:00:00","PubModel":"eCollection","JCR":"Q4","JCRName":"INFECTIOUS DISEASES","Score":null,"Total":0}
引用次数: 0

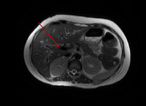
Abstract

Human T-lymphotropic virus type 1 (HTLV-1), the first oncogenic retrovirus discovered in humans, is primarily associated with two disease entities: adult T cell leukemia-lymphoma and HTLV-1-associated myelopathy-tropical spastic paresis. HTLV-1 has also been implicated in the pathogenesis of various autoimmune rheumatic diseases, and its association with the autoimmune disorders of the gastrointestinal track is less well understood. Our patient, a 26-year-old previously healthy female, presented with recurrent, progressively worsening chronic abdominal pain and persistent liver test abnormalities. Initially diagnosed with acute acalculous cholecystitis and autoimmune hepatitis (AIH), her liver tests continued to exhibit a predominantly cholestatic pattern. This prompted further advanced imaging, and magnetic resonance cholangiopancreatography ultimately confirmed a diagnosis of primary sclerosing cholangitis (PSC). Complicating her condition further, she developed lower extremity weakness, initially attributed to axonal Guillain-Barré syndrome, which unfortunately did not respond to standard treatment. After a year marked by progressive clinical decline with repeated and prolonged hospitalizations due to fever of unknown origin, an extensive diagnostic workup ultimately led to a diagnosis of HTLV-1 myelopathy, along with AIH-PSC overlap syndrome. This case highlights the diagnostic challenges associated with the multisystem involvement of HTLV-1. Notably, our patient's presentation was not consistent with classic HTLV-1 myelopathy rather a subtype with rapidly progressive symptoms and flaccid as opposed to spastic paresis. The association between HTLV-1 infection and autoimmune cholangiopathy is exceptionally rare. To the best of our knowledge, our case represents only the second reported instance of autoimmune cholangiopathy associated with HTLV-1 myelopathy and the first reported case of AIH-PSC overlap syndrome associated with HTLV-1 myelopathy. This underscores the need for heightened clinical awareness of potential hepatic immune manifestations in patients with HTLV-1 infection, even in the absence of classic neurologic symptoms at initial presentation.

Abstract Image

Abstract Image

Abstract Image

人类嗜t淋巴病毒1型相关脊髓病伴自身免疫性胆管病:一个年轻患者不寻常的免疫难题
人类嗜T淋巴病毒1型(HTLV-1)是第一个在人类中发现的致癌逆转录病毒,主要与两种疾病实体相关:成人T细胞白血病淋巴瘤和HTLV-1相关脊髓病-热带痉挛性麻痹。HTLV-1也与多种自身免疫性风湿性疾病的发病机制有关,但其与胃肠道自身免疫性疾病的关系尚不清楚。我们的患者,一名26岁的健康女性,表现为复发性,逐渐恶化的慢性腹痛和持续的肝脏检查异常。最初诊断为急性无结石性胆囊炎和自身免疫性肝炎(AIH),她的肝脏检查继续显示主要的胆汁淤积模式。这促使进一步的高级成像,磁共振胆管造影最终确诊原发性硬化性胆管炎(PSC)。使她的病情进一步复杂化的是,她出现了下肢无力,最初归因于轴突格林-巴-罗综合征,不幸的是,标准治疗没有反应。由于不明原因的发热,患者的临床症状持续恶化,多次长期住院,经过一年的广泛诊断,最终诊断为htlm -1型脊髓病,并伴有AIH-PSC重叠综合征。本病例突出了HTLV-1累及多系统时的诊断挑战。值得注意的是,该患者的表现与经典的HTLV-1型脊髓病不一致,而是一种症状迅速进展的亚型,与痉挛性轻瘫相反,症状松弛。HTLV-1感染与自身免疫性胆管病之间的关联极为罕见。据我们所知,本病例仅是报道的第二例与HTLV-1型脊髓病相关的自身免疫性胆管病,以及报道的首例与HTLV-1型脊髓病相关的AIH-PSC重叠综合征。这强调了需要提高临床对HTLV-1感染患者潜在的肝脏免疫表现的认识,即使在最初出现时没有典型的神经系统症状。
本文章由计算机程序翻译,如有差异,请以英文原文为准。
求助全文
约1分钟内获得全文 求助全文
来源期刊
自引率
0.00%
发文量
64
审稿时长
13 weeks
×
引用
GB/T 7714-2015
复制
MLA
复制
APA
复制
导出至
BibTeX EndNote RefMan NoteFirst NoteExpress
×
提示
您的信息不完整,为了账户安全,请先补充。
现在去补充
×
提示
您因"违规操作"
具体请查看互助需知
我知道了
×
提示
确定
请完成安全验证×
copy
已复制链接
快去分享给好友吧!
我知道了
右上角分享
点击右上角分享
0
联系我们:info@booksci.cn Book学术提供免费学术资源搜索服务,方便国内外学者检索中英文文献。致力于提供最便捷和优质的服务体验。 Copyright © 2023 布克学术 All rights reserved.
京ICP备2023020795号-1
ghs 京公网安备 11010802042870号
Book学术文献互助
Book学术文献互助群
群 号:604180095
Book学术官方微信