Spanning 17 Years: Diagnostic Evolution from Lichen Planus Pigmentosus to Hyperpigmented Mycosis Fungoides.

IF 2.2 4区 医学 Q3 DERMATOLOGY
Clinical, Cosmetic and Investigational Dermatology Pub Date : 2025-09-11 eCollection Date: 2025-01-01 DOI:10.2147/CCID.S541051
WeiFeng Zha, JunWei Lu
{"title":"Spanning 17 Years: Diagnostic Evolution from Lichen Planus Pigmentosus to Hyperpigmented Mycosis Fungoides.","authors":"WeiFeng Zha, JunWei Lu","doi":"10.2147/CCID.S541051","DOIUrl":null,"url":null,"abstract":"<p><p>Lichen planus pigmentosus (LPP) and hyperpigmented mycosis fungoides (MF) represent two distinct rare cutaneous disorders. This case explores the potential association between LPP and hyperpigmented MF, a previously unreported progression. The authors report a 52-year-old male presenting with purplish-red macules on the abdomen and upper extremities subsequent to exposure to petrochemicals, initially diagnosed in 2007 with lichen planus (LP). In 2019, LPP was confirmed by histopathological evaluation of a skin biopsy obtained from an outside institution. Despite treatment with hydroxychloroquine sulfate tablets, the lesions exhibited disease progression. After 17 years, generalized hyperpigmentation gradually developed. Repeat biopsies and immunohistochemistry were performed in 2024, leading to the definitive diagnosis of hyperpigmented MF. The patient is currently managed with subcutaneous interferon alpha-2b (IFNα-2b) injections, with the rash color showing slight lightening. In conclusion, the cutaneous manifestations of MF demonstrate marked heterogeneity, requiring systematic clinical evaluation and histopathological assessment to facilitate accurate diagnosis and guide the development of stage-appropriate treatment protocols. Whether the transformation from LPP to hyperpigmented MF is rare, impossible, or a missed diagnosis remains to be further clarified with more reported cases.</p>","PeriodicalId":10447,"journal":{"name":"Clinical, Cosmetic and Investigational Dermatology","volume":"18 ","pages":"2297-2302"},"PeriodicalIF":2.2000,"publicationDate":"2025-09-11","publicationTypes":"Journal Article","fieldsOfStudy":null,"isOpenAccess":false,"openAccessPdf":"https://www.ncbi.nlm.nih.gov/pmc/articles/PMC12435356/pdf/","citationCount":"0","resultStr":null,"platform":"Semanticscholar","paperid":null,"PeriodicalName":"Clinical, Cosmetic and Investigational Dermatology","FirstCategoryId":"3","ListUrlMain":"https://doi.org/10.2147/CCID.S541051","RegionNum":4,"RegionCategory":"医学","ArticlePicture":[],"TitleCN":null,"AbstractTextCN":null,"PMCID":null,"EPubDate":"2025/1/1 0:00:00","PubModel":"eCollection","JCR":"Q3","JCRName":"DERMATOLOGY","Score":null,"Total":0}
引用次数: 0

Abstract

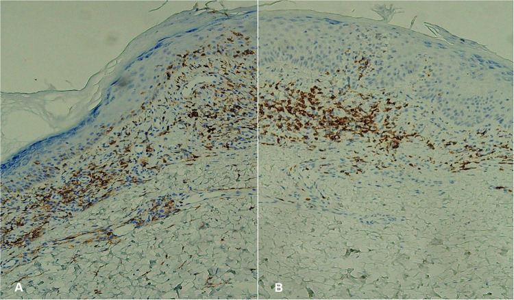
Lichen planus pigmentosus (LPP) and hyperpigmented mycosis fungoides (MF) represent two distinct rare cutaneous disorders. This case explores the potential association between LPP and hyperpigmented MF, a previously unreported progression. The authors report a 52-year-old male presenting with purplish-red macules on the abdomen and upper extremities subsequent to exposure to petrochemicals, initially diagnosed in 2007 with lichen planus (LP). In 2019, LPP was confirmed by histopathological evaluation of a skin biopsy obtained from an outside institution. Despite treatment with hydroxychloroquine sulfate tablets, the lesions exhibited disease progression. After 17 years, generalized hyperpigmentation gradually developed. Repeat biopsies and immunohistochemistry were performed in 2024, leading to the definitive diagnosis of hyperpigmented MF. The patient is currently managed with subcutaneous interferon alpha-2b (IFNα-2b) injections, with the rash color showing slight lightening. In conclusion, the cutaneous manifestations of MF demonstrate marked heterogeneity, requiring systematic clinical evaluation and histopathological assessment to facilitate accurate diagnosis and guide the development of stage-appropriate treatment protocols. Whether the transformation from LPP to hyperpigmented MF is rare, impossible, or a missed diagnosis remains to be further clarified with more reported cases.

Abstract Image

Abstract Image

Abstract Image

跨越17年:从扁平苔藓到高色素蕈样真菌病的诊断进化。
扁平色素性苔藓(LPP)和蕈样色素沉着性真菌病(MF)是两种不同的罕见皮肤病。本病例探讨了LPP和高色素MF之间的潜在联系,这是一种以前未报道的进展。作者报告了一名52岁男性,在暴露于石化产品后,腹部和上肢出现紫红色斑点,最初于2007年被诊断为扁平苔藓(LP)。2019年,LPP通过从外部机构获得的皮肤活检组织病理学评估得到证实。尽管用硫酸羟氯喹片治疗,病变仍表现出疾病进展。17年后,全身性色素沉着逐渐发展。2024年进行了重复活检和免疫组织化学检查,最终诊断为色素沉着性MF。患者目前接受皮下注射干扰素α-2b (IFNα-2b)治疗,皮疹颜色轻微变浅。总之,MF的皮肤表现具有明显的异质性,需要系统的临床评估和组织病理学评估,以便准确诊断并指导制定适合分期的治疗方案。从LPP到色素沉着MF的转变是罕见的,不可能的,还是漏诊,还需要更多的病例报道来进一步澄清。
本文章由计算机程序翻译,如有差异,请以英文原文为准。
求助全文
约1分钟内获得全文 求助全文
来源期刊
CiteScore
2.80
自引率
4.30%
发文量
353
审稿时长
16 weeks
期刊介绍: Clinical, Cosmetic and Investigational Dermatology is an international, peer-reviewed, open access journal that focuses on the latest clinical and experimental research in all aspects of skin disease and cosmetic interventions. Normal and pathological processes in skin development and aging, their modification and treatment, as well as basic research into histology of dermal and dermal structures that provide clinical insights and potential treatment options are key topics for the journal. Patient satisfaction, preference, quality of life, compliance, persistence and their role in developing new management options to optimize outcomes for target conditions constitute major areas of interest. The journal is characterized by the rapid reporting of clinical studies, reviews and original research in skin research and skin care. All areas of dermatology will be covered; contributions will be welcomed from all clinicians and basic science researchers globally.
×
引用
GB/T 7714-2015
复制
MLA
复制
APA
复制
导出至
BibTeX EndNote RefMan NoteFirst NoteExpress
×
提示
您的信息不完整,为了账户安全,请先补充。
现在去补充
×
提示
您因"违规操作"
具体请查看互助需知
我知道了
×
提示
确定
请完成安全验证×
copy
已复制链接
快去分享给好友吧!
我知道了
右上角分享
点击右上角分享
0
联系我们:info@booksci.cn Book学术提供免费学术资源搜索服务,方便国内外学者检索中英文文献。致力于提供最便捷和优质的服务体验。 Copyright © 2023 布克学术 All rights reserved.
京ICP备2023020795号-1
ghs 京公网安备 11010802042870号
Book学术文献互助
Book学术文献互助群
群 号:604180095
Book学术官方微信
小红书