Sacral hydatid cyst: illustrative case.

Lana Maraqa, Ruba Najib, Majd Mohsen, Ismail Abudaya, Basel Zaben
{"title":"Sacral hydatid cyst: illustrative case.","authors":"Lana Maraqa, Ruba Najib, Majd Mohsen, Ismail Abudaya, Basel Zaben","doi":"10.3171/CASE25109","DOIUrl":null,"url":null,"abstract":"<p><strong>Background: </strong>Echinococcus species causes hydatid cyst (HC) disease, primarily affecting the liver and lungs. Bone involvement is rare (0.5%-2% of cases), with half occurring in the vertebral system. Sacral spine involvement is particularly uncommon and poses diagnostic challenges.</p><p><strong>Observations: </strong>A 17-year-old male with a history of HC disease presented with low back pain radiating to both lower limbs, claudication, and chronic constipation for 5 years. Imaging revealed a large, multiloculated sacral cyst extending retrorectally and presacrally from S3 to S5, involving the spinal canal, compressing the rectum, and causing sacral erosion. A diagnosis of sacral hydatidosis was made, and the patient was started on albendazole, with surgical excision planned.</p><p><strong>Lessons: </strong>HC disease should be considered in the differential diagnosis of low back pain and constipation, especially in endemic regions. Because of its invasive nature and high recurrence rate, early diagnosis, antiparasitic therapy, and surgical intervention are essential. Proper follow-up is necessary to prevent complications, particularly in atypical presentations. https://thejns.org/doi/10.3171/CASE25109.</p>","PeriodicalId":94098,"journal":{"name":"Journal of neurosurgery. Case lessons","volume":"10 11","pages":""},"PeriodicalIF":0.0000,"publicationDate":"2025-09-15","publicationTypes":"Journal Article","fieldsOfStudy":null,"isOpenAccess":false,"openAccessPdf":"https://www.ncbi.nlm.nih.gov/pmc/articles/PMC12435382/pdf/","citationCount":"0","resultStr":null,"platform":"Semanticscholar","paperid":null,"PeriodicalName":"Journal of neurosurgery. Case lessons","FirstCategoryId":"1085","ListUrlMain":"https://doi.org/10.3171/CASE25109","RegionNum":0,"RegionCategory":null,"ArticlePicture":[],"TitleCN":null,"AbstractTextCN":null,"PMCID":null,"EPubDate":"","PubModel":"","JCR":"","JCRName":"","Score":null,"Total":0}
引用次数: 0

Abstract

Background: Echinococcus species causes hydatid cyst (HC) disease, primarily affecting the liver and lungs. Bone involvement is rare (0.5%-2% of cases), with half occurring in the vertebral system. Sacral spine involvement is particularly uncommon and poses diagnostic challenges.

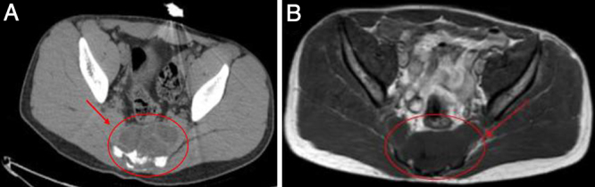
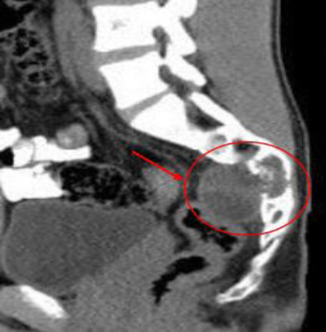
Observations: A 17-year-old male with a history of HC disease presented with low back pain radiating to both lower limbs, claudication, and chronic constipation for 5 years. Imaging revealed a large, multiloculated sacral cyst extending retrorectally and presacrally from S3 to S5, involving the spinal canal, compressing the rectum, and causing sacral erosion. A diagnosis of sacral hydatidosis was made, and the patient was started on albendazole, with surgical excision planned.

Lessons: HC disease should be considered in the differential diagnosis of low back pain and constipation, especially in endemic regions. Because of its invasive nature and high recurrence rate, early diagnosis, antiparasitic therapy, and surgical intervention are essential. Proper follow-up is necessary to prevent complications, particularly in atypical presentations. https://thejns.org/doi/10.3171/CASE25109.

Abstract Image

Abstract Image

Abstract Image

骶骨包虫囊肿:说明性病例。
背景:棘球蚴引起包虫病,主要影响肝脏和肺部。骨受累是罕见的(0.5%-2%的病例),其中一半发生在椎系统。骶骨受累是特别罕见的,并提出诊断挑战。观察:17岁男性,HC病史,表现为腰痛放射至双下肢,跛行,慢性便秘5年。影像学显示一个大的、多房位的骶骨囊肿,从骶3向骶5向后及骶前延伸,累及椎管,压迫直肠,引起骶骨糜烂。诊断为骶骨包虫病,患者开始服用阿苯达唑,计划手术切除。结论:在腰痛和便秘的鉴别诊断中应考虑HC病,特别是在流行地区。由于其侵袭性和高复发率,早期诊断,抗寄生虫治疗和手术干预是必不可少的。适当的随访是必要的,以防止并发症,特别是在不典型的表现。https://thejns.org/doi/10.3171/CASE25109。
本文章由计算机程序翻译,如有差异,请以英文原文为准。
求助全文
约1分钟内获得全文 求助全文
来源期刊
CiteScore
0.40
自引率
0.00%
发文量
0
×
引用
GB/T 7714-2015
复制
MLA
复制
APA
复制
导出至
BibTeX EndNote RefMan NoteFirst NoteExpress
×
提示
您的信息不完整,为了账户安全,请先补充。
现在去补充
×
提示
您因"违规操作"
具体请查看互助需知
我知道了
×
提示
确定
请完成安全验证×
copy
已复制链接
快去分享给好友吧!
我知道了
右上角分享
点击右上角分享
0
联系我们:info@booksci.cn Book学术提供免费学术资源搜索服务,方便国内外学者检索中英文文献。致力于提供最便捷和优质的服务体验。 Copyright © 2023 布克学术 All rights reserved.
京ICP备2023020795号-1
ghs 京公网安备 11010802042870号
Book学术文献互助
Book学术文献互助群
群 号:604180095
Book学术官方微信