Coenzyme Q10 as adjuvant therapy could reduce oxidative stress and enhance sperm quality in cryptorchidism animal models.

Narra J Pub Date : 2025-08-01 Epub Date: 2025-05-09 DOI:10.52225/narra.v5i2.2474
Pradana Nurhadi, Besut Daryanto, Fauzan K Dhani, Athaya F Purnomo, Kusworini Kusworini, Tommy N Alfandy
{"title":"Coenzyme Q10 as adjuvant therapy could reduce oxidative stress and enhance sperm quality in cryptorchidism animal models.","authors":"Pradana Nurhadi, Besut Daryanto, Fauzan K Dhani, Athaya F Purnomo, Kusworini Kusworini, Tommy N Alfandy","doi":"10.52225/narra.v5i2.2474","DOIUrl":null,"url":null,"abstract":"<p><p>The role of coenzyme Q10 (CoQ10) as an antioxidant in the context of cryptorchidism is increasingly recognized due to its potential protective effects against oxidative stress, a key contributor to testicular dysfunction in this condition. The aim of this study was to evaluate the antioxidant activity of CoQ10 and its impact on sperm parameters as an adjuvant therapy in a cryptorchidism mouse model. A total of 36 male Sprague Dawley mice were divided into six groups: control (negative control), cryptorchidism (positive control), orchidopexy only, and orchidopexy treated with CoQ10 at 5, 10 and 20 mg/kg body weight (BW). After seven days of induction into the cryptorchidism model, the mice underwent orchidopexy, and CoQ10 was administered orally from day 1 to day 7 post-orchidopexy. At the end of the treatment period, all mice were euthanized, and the left testes were collected for immunohistochemical analysis of malondialdehyde (MDA) and superoxide dismutase (SOD), as well as histological examination and sperm parameter assessment. Testicular tissue damage was assessed using the Cosentino grade, while spermatogenesis was evaluated using the Johnsen scoring system. Additionally, sperm parameters were analyzed from the left testis. MDA expression in the cryptorchidism group was significantly lower than in all CoQ10-treated groups (<i>p</i><0.001). In contrast, SOD expression was significantly higher in the cryptorchidism group compared to the 10 mg/kg BW and 20 mg/kg BW CoQ10 groups (both had <i>p</i><0.001). Cosentino grade and Johnsen score showed no significant differences between the control group and the group treated with 20 mg/kg BW CoQ10 (<i>p</i>=0.891 and <i>p</i>=0.123, respectively). Furthermore, the 20 mg/kg BW CoQ10 group had significantly greater sperm concentration and motility compared to the cryptorchidism group (<i>p</i><0.001 for both). These findings demonstrated that CoQ10 had significant antioxidant activity as an adjuvant therapy in a cryptorchidism mouse model. CoQ10 supplementation could reduce oxidative stress markers, enhance antioxidant enzyme expression, and improve sperm parameters, supporting its potential to mitigate testicular damage associated with cryptorchidism.</p>","PeriodicalId":517416,"journal":{"name":"Narra J","volume":"5 2","pages":"e2474"},"PeriodicalIF":0.0000,"publicationDate":"2025-08-01","publicationTypes":"Journal Article","fieldsOfStudy":null,"isOpenAccess":false,"openAccessPdf":"https://www.ncbi.nlm.nih.gov/pmc/articles/PMC12425537/pdf/","citationCount":"0","resultStr":null,"platform":"Semanticscholar","paperid":null,"PeriodicalName":"Narra J","FirstCategoryId":"1085","ListUrlMain":"https://doi.org/10.52225/narra.v5i2.2474","RegionNum":0,"RegionCategory":null,"ArticlePicture":[],"TitleCN":null,"AbstractTextCN":null,"PMCID":null,"EPubDate":"2025/5/9 0:00:00","PubModel":"Epub","JCR":"","JCRName":"","Score":null,"Total":0}
引用次数: 0

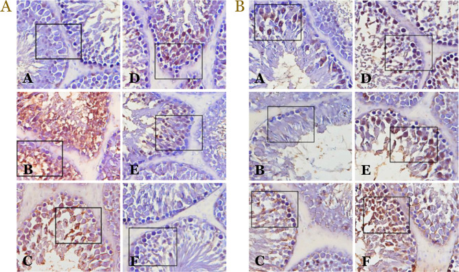
Abstract

The role of coenzyme Q10 (CoQ10) as an antioxidant in the context of cryptorchidism is increasingly recognized due to its potential protective effects against oxidative stress, a key contributor to testicular dysfunction in this condition. The aim of this study was to evaluate the antioxidant activity of CoQ10 and its impact on sperm parameters as an adjuvant therapy in a cryptorchidism mouse model. A total of 36 male Sprague Dawley mice were divided into six groups: control (negative control), cryptorchidism (positive control), orchidopexy only, and orchidopexy treated with CoQ10 at 5, 10 and 20 mg/kg body weight (BW). After seven days of induction into the cryptorchidism model, the mice underwent orchidopexy, and CoQ10 was administered orally from day 1 to day 7 post-orchidopexy. At the end of the treatment period, all mice were euthanized, and the left testes were collected for immunohistochemical analysis of malondialdehyde (MDA) and superoxide dismutase (SOD), as well as histological examination and sperm parameter assessment. Testicular tissue damage was assessed using the Cosentino grade, while spermatogenesis was evaluated using the Johnsen scoring system. Additionally, sperm parameters were analyzed from the left testis. MDA expression in the cryptorchidism group was significantly lower than in all CoQ10-treated groups (p<0.001). In contrast, SOD expression was significantly higher in the cryptorchidism group compared to the 10 mg/kg BW and 20 mg/kg BW CoQ10 groups (both had p<0.001). Cosentino grade and Johnsen score showed no significant differences between the control group and the group treated with 20 mg/kg BW CoQ10 (p=0.891 and p=0.123, respectively). Furthermore, the 20 mg/kg BW CoQ10 group had significantly greater sperm concentration and motility compared to the cryptorchidism group (p<0.001 for both). These findings demonstrated that CoQ10 had significant antioxidant activity as an adjuvant therapy in a cryptorchidism mouse model. CoQ10 supplementation could reduce oxidative stress markers, enhance antioxidant enzyme expression, and improve sperm parameters, supporting its potential to mitigate testicular damage associated with cryptorchidism.

Abstract Image

Abstract Image

Abstract Image

辅酶Q10辅助治疗可降低隐睾动物氧化应激,提高精子质量。
由于其对氧化应激的潜在保护作用,辅酶Q10 (CoQ10)作为一种抗氧化剂在隐睾症中的作用越来越被认识到,氧化应激是这种情况下睾丸功能障碍的关键因素。本研究的目的是在隐睾小鼠模型中评估辅酶q10的抗氧化活性及其作为辅助治疗对精子参数的影响。将36只雄性Sprague Dawley小鼠分为6组:对照组(阴性对照组)、隐睾组(阳性对照组)、纯睾酮治疗组和睾酮治疗组(CoQ10为5、10和20 mg/kg体重)。在诱导成隐睾模型7天后,对小鼠进行睾丸切除术,并在睾丸切除术后第1天至第7天口服辅酶q10。治疗期结束后,对所有小鼠实施安乐死,收集左侧睾丸进行丙二醛(MDA)、超氧化物歧化酶(SOD)免疫组化分析,并进行组织学检查和精子参数评估。使用Cosentino分级评估睾丸组织损伤,而使用Johnsen评分系统评估精子发生。此外,还分析了左睾丸的精子参数。隐睾组MDA表达显著低于coq10处理组(ppp=0.891, p=0.123)。此外,与隐睾组相比,20 mg/kg BW CoQ10组的精子浓度和活力显著提高(p
本文章由计算机程序翻译,如有差异,请以英文原文为准。
求助全文
约1分钟内获得全文 求助全文
来源期刊
CiteScore
3.90
自引率
0.00%
发文量
0
×
引用
GB/T 7714-2015
复制
MLA
复制
APA
复制
导出至
BibTeX EndNote RefMan NoteFirst NoteExpress
×
提示
您的信息不完整,为了账户安全,请先补充。
现在去补充
×
提示
您因"违规操作"
具体请查看互助需知
我知道了
×
提示
确定
请完成安全验证×
copy
已复制链接
快去分享给好友吧!
我知道了
右上角分享
点击右上角分享
0
联系我们:info@booksci.cn Book学术提供免费学术资源搜索服务,方便国内外学者检索中英文文献。致力于提供最便捷和优质的服务体验。 Copyright © 2023 布克学术 All rights reserved.
京ICP备2023020795号-1
ghs 京公网安备 11010802042870号
Book学术文献互助
Book学术文献互助群
群 号:604180095
Book学术官方微信