Exploring the potential effects of Lactococcus lactis D4 on the proliferation, apoptosis, and inflammatory responses in colorectal cancer cells.

Narra J Pub Date : 2025-08-01 Epub Date: 2025-04-28 DOI:10.52225/narra.v5i2.1596
Muhammad I Rivai, Ronald E Lusikooy, Andani E Putra, Aisyah Elliyanti, Ade Sukma
{"title":"Exploring the potential effects of <i>Lactococcus lactis</i> D4 on the proliferation, apoptosis, and inflammatory responses in colorectal cancer cells.","authors":"Muhammad I Rivai, Ronald E Lusikooy, Andani E Putra, Aisyah Elliyanti, Ade Sukma","doi":"10.52225/narra.v5i2.1596","DOIUrl":null,"url":null,"abstract":"<p><p><i>Lactococcus lactis</i> D4 is a probiotic produced through the fermentation of buffalo milk in bamboo, namely \"<i>dadih</i>\", a traditional food from West Sumatera, Indonesia. To the best of our knowledge, no specific research has investigated the effects of <i>L. lactis</i> D4, derived from <i>dadih</i> extraction, on colorectal cancer or its potential clinical applications. Therefore, the aim of this study was to evaluate the potential of <i>L. lactis</i> D4 from <i>dadih</i> to inhibit colorectal cancer growth in rat models, with a focus on its effects on cell proliferation, apoptosis, and inflammatory responses. An in vivo study was conducted using 37 male Sprague-Dawley rats, allocated into five groups: (1) control (no treatment), (2) dysplasia (induced with 1,2-dimethylhydrazine until dysplasia developed), (3) dysplasia + <i>L. lactis</i> D4 (induced with 1,2-dimethylhydrazine, then treated with <i>L. lactis</i> D4 after dysplasia confirmation), (4) cancer (induced with 1,2-dimethylhydrazine until cancer was confirmed), and (5) cancer + <i>L. lactis</i> D4 (induced with 1,2-dimethylhydrazine until cancer was confirmed, then treated with <i>L. lactis</i> D4 for 15 days). The effects of <i>L. lactis</i> D4 on cancer progression were assessed through immunohistochemical analysis of cell proliferation (cyclin D1, Bcl-2), apoptosis (p53, caspase-3), and inflammation (nuclear factor-κB (NF-κB) and cyclooxygenase-2 (COX-2)). This study found that <i>L. lactis</i> D4 treatment reduced adenocarcinoma and dysplasia severity in colorectal cancer models through significant reduction in cyclin D1, Bcl-2, NF-κB, and COX-2 expression observed across all groups (<i>p</i><0.01), although changes in dysplasia and cancer subgroups were not statistically significant (<i>p</i>>0.05). No statistically significant change was noted in p53 expression (<i>p</i>=0.518), whereas caspase-3 expression varied significantly across groups (<i>p</i>=0.010). In conclusion, <i>L. lactis</i> D4 reduces the expression of cyclin D1, Bcl-2, NF-κB, and COX-2 proteins, offering insights into its potential to modulating proliferation and inflammation in colorectal cancer growth.</p>","PeriodicalId":517416,"journal":{"name":"Narra J","volume":"5 2","pages":"e1596"},"PeriodicalIF":0.0000,"publicationDate":"2025-08-01","publicationTypes":"Journal Article","fieldsOfStudy":null,"isOpenAccess":false,"openAccessPdf":"https://www.ncbi.nlm.nih.gov/pmc/articles/PMC12425524/pdf/","citationCount":"0","resultStr":null,"platform":"Semanticscholar","paperid":null,"PeriodicalName":"Narra J","FirstCategoryId":"1085","ListUrlMain":"https://doi.org/10.52225/narra.v5i2.1596","RegionNum":0,"RegionCategory":null,"ArticlePicture":[],"TitleCN":null,"AbstractTextCN":null,"PMCID":null,"EPubDate":"2025/4/28 0:00:00","PubModel":"Epub","JCR":"","JCRName":"","Score":null,"Total":0}
引用次数: 0

Abstract

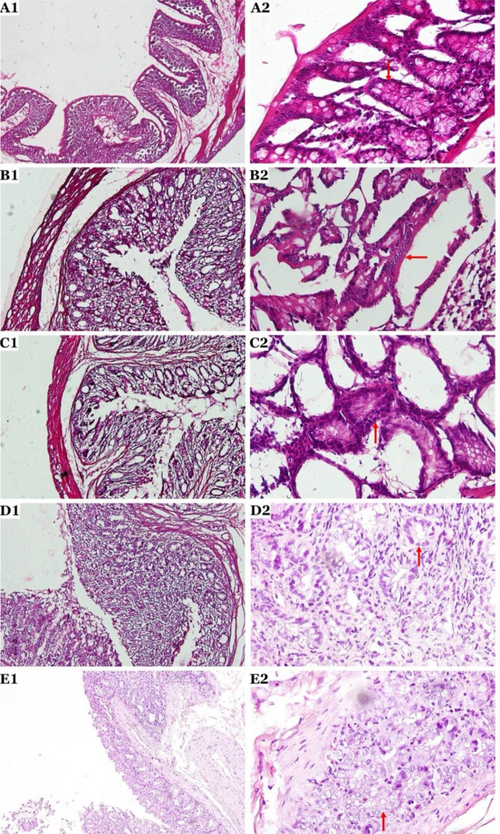
Lactococcus lactis D4 is a probiotic produced through the fermentation of buffalo milk in bamboo, namely "dadih", a traditional food from West Sumatera, Indonesia. To the best of our knowledge, no specific research has investigated the effects of L. lactis D4, derived from dadih extraction, on colorectal cancer or its potential clinical applications. Therefore, the aim of this study was to evaluate the potential of L. lactis D4 from dadih to inhibit colorectal cancer growth in rat models, with a focus on its effects on cell proliferation, apoptosis, and inflammatory responses. An in vivo study was conducted using 37 male Sprague-Dawley rats, allocated into five groups: (1) control (no treatment), (2) dysplasia (induced with 1,2-dimethylhydrazine until dysplasia developed), (3) dysplasia + L. lactis D4 (induced with 1,2-dimethylhydrazine, then treated with L. lactis D4 after dysplasia confirmation), (4) cancer (induced with 1,2-dimethylhydrazine until cancer was confirmed), and (5) cancer + L. lactis D4 (induced with 1,2-dimethylhydrazine until cancer was confirmed, then treated with L. lactis D4 for 15 days). The effects of L. lactis D4 on cancer progression were assessed through immunohistochemical analysis of cell proliferation (cyclin D1, Bcl-2), apoptosis (p53, caspase-3), and inflammation (nuclear factor-κB (NF-κB) and cyclooxygenase-2 (COX-2)). This study found that L. lactis D4 treatment reduced adenocarcinoma and dysplasia severity in colorectal cancer models through significant reduction in cyclin D1, Bcl-2, NF-κB, and COX-2 expression observed across all groups (p<0.01), although changes in dysplasia and cancer subgroups were not statistically significant (p>0.05). No statistically significant change was noted in p53 expression (p=0.518), whereas caspase-3 expression varied significantly across groups (p=0.010). In conclusion, L. lactis D4 reduces the expression of cyclin D1, Bcl-2, NF-κB, and COX-2 proteins, offering insights into its potential to modulating proliferation and inflammation in colorectal cancer growth.

Abstract Image

Abstract Image

Abstract Image

探讨乳酸乳球菌D4对结直肠癌细胞增殖、凋亡及炎症反应的潜在影响。
乳酸乳球菌D4是一种由水牛奶发酵而成的益生菌,即印度尼西亚西苏门答腊岛的传统食品“大竹”。据我们所知,目前还没有专门的研究调查从大黄提取物中提取的乳杆菌D4对结直肠癌的影响或其潜在的临床应用。因此,本研究的目的是在大鼠模型中评估大黄乳杆菌D4抑制结直肠癌生长的潜力,重点研究其对细胞增殖、凋亡和炎症反应的影响。选取雄性Sprague-Dawley大鼠37只,分为5组:(1)对照(未处理),(2)发育不良(1,2-二甲基肼诱导至发育不良),(3)发育不良+乳酸菌D4(1,2-二甲基肼诱导至发育不良,确诊后再用乳酸菌D4治疗),(4)癌变(1,2-二甲基肼诱导至确诊),(5)癌变+乳酸菌D4(1,2-二甲基肼诱导至确诊为癌变,再用乳酸菌D4治疗15天)。通过免疫组化分析细胞增殖(cyclin D1, Bcl-2),凋亡(p53, caspase-3)和炎症(核因子-κB (NF-κB)和环氧化酶-2 (COX-2))来评估乳杆菌D4对癌症进展的影响。本研究发现乳杆菌D4通过显著降低各组cyclin D1、Bcl-2、NF-κB和COX-2的表达,降低结直肠癌模型的腺癌和不典型增生严重程度(p < 0.05)。p53表达差异无统计学意义(p=0.518), caspase-3表达差异有统计学意义(p=0.010)。综上所述,L. lactis D4可降低cyclin D1、Bcl-2、NF-κB和COX-2蛋白的表达,为其调节结直肠癌增殖和炎症的潜力提供了新的见解。
本文章由计算机程序翻译,如有差异,请以英文原文为准。
求助全文
约1分钟内获得全文 求助全文
来源期刊
CiteScore
3.90
自引率
0.00%
发文量
0
×
引用
GB/T 7714-2015
复制
MLA
复制
APA
复制
导出至
BibTeX EndNote RefMan NoteFirst NoteExpress
×
提示
您的信息不完整,为了账户安全,请先补充。
现在去补充
×
提示
您因"违规操作"
具体请查看互助需知
我知道了
×
提示
确定
请完成安全验证×
copy
已复制链接
快去分享给好友吧!
我知道了
右上角分享
点击右上角分享
0
联系我们:info@booksci.cn Book学术提供免费学术资源搜索服务,方便国内外学者检索中英文文献。致力于提供最便捷和优质的服务体验。 Copyright © 2023 布克学术 All rights reserved.
京ICP备2023020795号-1
ghs 京公网安备 11010802042870号
Book学术文献互助
Book学术文献互助群
群 号:604180095
Book学术官方微信