A visual compendium of teratomas and their diverse anatomical locations.

IF 1 Q4 RADIOLOGY, NUCLEAR MEDICINE & MEDICAL IMAGING
Acta radiologica open Pub Date : 2025-09-10 eCollection Date: 2025-09-01 DOI:10.1177/20584601251377911
Yang Shan Edmond Lim, Shuyi Guo, Zhuyi Rebekah Lee, Emma Choon Hwee Lee, Timothy Shao Ern Tan
{"title":"A visual compendium of teratomas and their diverse anatomical locations.","authors":"Yang Shan Edmond Lim, Shuyi Guo, Zhuyi Rebekah Lee, Emma Choon Hwee Lee, Timothy Shao Ern Tan","doi":"10.1177/20584601251377911","DOIUrl":null,"url":null,"abstract":"<p><p>Teratomas are a common type of germ cell tumours which may be benign or malignant. Benign mature teratomas are the most frequent subtype and typically show intralesional fat and calcifications within a cystic mass. Immature/malignant teratomas are usually larger with irregular solid components, coarse calcifications, small amounts of fat, and with or without necrosis or haemorrhage. Teratomas can manifest in various anatomical locations, particularly in the sacrococcygeal, gonadal, mediastinal, retroperitoneal, and intracranial regions. This article explores the imaging characteristics and diverse locations of teratomas as well as discusses about possible differential diagnoses to facilitate early detection and ensure prompt treatment.</p>","PeriodicalId":72063,"journal":{"name":"Acta radiologica open","volume":"14 9","pages":"20584601251377911"},"PeriodicalIF":1.0000,"publicationDate":"2025-09-10","publicationTypes":"Journal Article","fieldsOfStudy":null,"isOpenAccess":false,"openAccessPdf":"https://www.ncbi.nlm.nih.gov/pmc/articles/PMC12423518/pdf/","citationCount":"0","resultStr":null,"platform":"Semanticscholar","paperid":null,"PeriodicalName":"Acta radiologica open","FirstCategoryId":"1085","ListUrlMain":"https://doi.org/10.1177/20584601251377911","RegionNum":0,"RegionCategory":null,"ArticlePicture":[],"TitleCN":null,"AbstractTextCN":null,"PMCID":null,"EPubDate":"2025/9/1 0:00:00","PubModel":"eCollection","JCR":"Q4","JCRName":"RADIOLOGY, NUCLEAR MEDICINE & MEDICAL IMAGING","Score":null,"Total":0}
引用次数: 0

Abstract

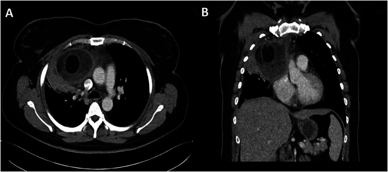
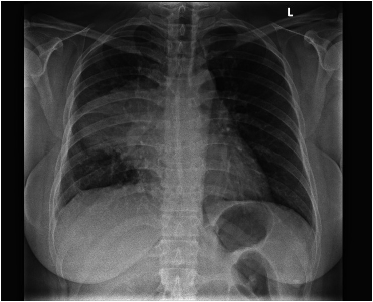
Teratomas are a common type of germ cell tumours which may be benign or malignant. Benign mature teratomas are the most frequent subtype and typically show intralesional fat and calcifications within a cystic mass. Immature/malignant teratomas are usually larger with irregular solid components, coarse calcifications, small amounts of fat, and with or without necrosis or haemorrhage. Teratomas can manifest in various anatomical locations, particularly in the sacrococcygeal, gonadal, mediastinal, retroperitoneal, and intracranial regions. This article explores the imaging characteristics and diverse locations of teratomas as well as discusses about possible differential diagnoses to facilitate early detection and ensure prompt treatment.

Abstract Image

Abstract Image

Abstract Image

畸胎瘤及其不同解剖位置的视觉概要。
畸胎瘤是一种常见的生殖细胞肿瘤,有良性和恶性之分。良性成熟畸胎瘤是最常见的亚型,通常表现为囊性肿块内的病变内脂肪和钙化。未成熟/恶性畸胎瘤通常较大,有不规则的固体成分,粗钙化,少量脂肪,伴或不伴坏死或出血。畸胎瘤可以出现在不同的解剖位置,特别是在骶尾骨、性腺、纵隔、腹膜后和颅内区域。本文探讨畸胎瘤的影像学特征和不同部位,并讨论可能的鉴别诊断,以促进早期发现和及时治疗。
本文章由计算机程序翻译,如有差异,请以英文原文为准。
求助全文
约1分钟内获得全文 求助全文
来源期刊
自引率
0.00%
发文量
0
审稿时长
12 weeks
×
引用
GB/T 7714-2015
复制
MLA
复制
APA
复制
导出至
BibTeX EndNote RefMan NoteFirst NoteExpress
×
提示
您的信息不完整,为了账户安全,请先补充。
现在去补充
×
提示
您因"违规操作"
具体请查看互助需知
我知道了
×
提示
确定
请完成安全验证×
copy
已复制链接
快去分享给好友吧!
我知道了
右上角分享
点击右上角分享
0
联系我们:info@booksci.cn Book学术提供免费学术资源搜索服务,方便国内外学者检索中英文文献。致力于提供最便捷和优质的服务体验。 Copyright © 2023 布克学术 All rights reserved.
京ICP备2023020795号-1
ghs 京公网安备 11010802042870号
Book学术文献互助
Book学术文献互助群
群 号:604180095
Book学术官方微信