Fallopian Tube's Placental Site Nodule: A Case Report.

IF 0.5 Q4 PATHOLOGY
Case Reports in Pathology Pub Date : 2025-09-04 eCollection Date: 2025-01-01 DOI:10.1155/crip/4514707
Nicolas Chauveau, Jean-Christophe Tille, Jessica Kartotaroeno
{"title":"Fallopian Tube's Placental Site Nodule: A Case Report.","authors":"Nicolas Chauveau, Jean-Christophe Tille, Jessica Kartotaroeno","doi":"10.1155/crip/4514707","DOIUrl":null,"url":null,"abstract":"<p><p><b>Introduction:</b> Placental site nodules (PSNs) are uncommon lesions typically found in uterine specimens and extremely rarely in extrauterine locations such as the fallopian tubes. PSNs are usually discovered incidentally and result from prior implantation sites. This case report describes an unexpected PSN found in a fallopian tube during a cesarean section with concurrent tubal sterilization. <b>Case Presentation:</b> A 38-year-old multiparous woman (gravida 4, para 2) with a previous vaginal delivery underwent tubal sterilization during a cesarean section. The surgical procedure was uneventful, with no macroscopic abnormalities noted. The patient's medical history included treatment for an ectopic pregnancy with methotrexate. Pathological examination revealed the right fallopian tube to be unremarkable. However, the left fallopian tube contained a 0.3 cm nodule within its wall, characterized by central hyalinization, dystrophic calcifications, and peripheral intermediate trophoblast cells. Immunohistochemical analysis demonstrated GATA3 positivity and a low proliferative index (MIB-1). The absence of mitotic activity, necrosis, and typical morphology confirmed the diagnosis of a PSN. <b>Discussion:</b> PSNs are benign lesions derived from intermediate extravillous trophoblasts. Their identification relies on both morphological characteristics and immunohistochemical staining. The differential diagnosis includes various trophoblastic diseases, which can be distinguished from PSNs by their specific features. This case contributes to the limited literature on extrauterine PSNs, highlighting the importance of recognizing these lesions in atypical locations and differentiating them from pathologies that are more aggressive. <b>Conclusion:</b> This case highlights the rarity of PSNs in the fallopian tubes and underscores the importance of comprehensive pathological analysis for an accurate diagnosis.</p>","PeriodicalId":45638,"journal":{"name":"Case Reports in Pathology","volume":"2025 ","pages":"4514707"},"PeriodicalIF":0.5000,"publicationDate":"2025-09-04","publicationTypes":"Journal Article","fieldsOfStudy":null,"isOpenAccess":false,"openAccessPdf":"https://www.ncbi.nlm.nih.gov/pmc/articles/PMC12425615/pdf/","citationCount":"0","resultStr":null,"platform":"Semanticscholar","paperid":null,"PeriodicalName":"Case Reports in Pathology","FirstCategoryId":"1085","ListUrlMain":"https://doi.org/10.1155/crip/4514707","RegionNum":0,"RegionCategory":null,"ArticlePicture":[],"TitleCN":null,"AbstractTextCN":null,"PMCID":null,"EPubDate":"2025/1/1 0:00:00","PubModel":"eCollection","JCR":"Q4","JCRName":"PATHOLOGY","Score":null,"Total":0}
引用次数: 0

Abstract

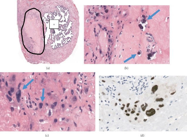
Introduction: Placental site nodules (PSNs) are uncommon lesions typically found in uterine specimens and extremely rarely in extrauterine locations such as the fallopian tubes. PSNs are usually discovered incidentally and result from prior implantation sites. This case report describes an unexpected PSN found in a fallopian tube during a cesarean section with concurrent tubal sterilization. Case Presentation: A 38-year-old multiparous woman (gravida 4, para 2) with a previous vaginal delivery underwent tubal sterilization during a cesarean section. The surgical procedure was uneventful, with no macroscopic abnormalities noted. The patient's medical history included treatment for an ectopic pregnancy with methotrexate. Pathological examination revealed the right fallopian tube to be unremarkable. However, the left fallopian tube contained a 0.3 cm nodule within its wall, characterized by central hyalinization, dystrophic calcifications, and peripheral intermediate trophoblast cells. Immunohistochemical analysis demonstrated GATA3 positivity and a low proliferative index (MIB-1). The absence of mitotic activity, necrosis, and typical morphology confirmed the diagnosis of a PSN. Discussion: PSNs are benign lesions derived from intermediate extravillous trophoblasts. Their identification relies on both morphological characteristics and immunohistochemical staining. The differential diagnosis includes various trophoblastic diseases, which can be distinguished from PSNs by their specific features. This case contributes to the limited literature on extrauterine PSNs, highlighting the importance of recognizing these lesions in atypical locations and differentiating them from pathologies that are more aggressive. Conclusion: This case highlights the rarity of PSNs in the fallopian tubes and underscores the importance of comprehensive pathological analysis for an accurate diagnosis.

Abstract Image

输卵管胎盘结节1例报告。
简介:胎盘结节(psn)是一种罕见的病变,通常发生在子宫标本中,很少发生在子宫外的部位,如输卵管。psn通常是偶然发现的,起源于先前的植入部位。本病例报告描述了一个意外的PSN发现在输卵管同时绝育的剖宫产。病例介绍:一名38岁多胎妇女(妊娠期4,第2段),既往阴道分娩,在剖宫产手术中行输卵管绝育手术。手术过程顺利,未见肉眼异常。患者的病史包括用甲氨蝶呤治疗异位妊娠。病理检查显示右输卵管无明显病变。然而,左侧输卵管壁内有一个0.3 cm的结节,其特征是中央透明化,营养不良钙化,周围有中间滋养细胞。免疫组化分析显示GATA3阳性,增殖指数(MIB-1)低。有丝分裂活性、坏死和典型形态学的缺失证实了PSN的诊断。讨论:psn是源自中层胞外滋养细胞的良性病变。它们的鉴定依赖于形态特征和免疫组织化学染色。鉴别诊断包括各种滋养层疾病,可根据其特异性特征与psn区分。本病例增加了关于宫外psn的有限文献,强调了在非典型部位识别这些病变并将其与更具侵袭性的病理区分开来的重要性。结论:本病例突出了输卵管psn的罕见性,强调了综合病理分析对准确诊断的重要性。
本文章由计算机程序翻译,如有差异,请以英文原文为准。
求助全文
约1分钟内获得全文 求助全文
来源期刊
自引率
0.00%
发文量
20
审稿时长
12 weeks
×
引用
GB/T 7714-2015
复制
MLA
复制
APA
复制
导出至
BibTeX EndNote RefMan NoteFirst NoteExpress
×
提示
您的信息不完整,为了账户安全,请先补充。
现在去补充
×
提示
您因"违规操作"
具体请查看互助需知
我知道了
×
提示
确定
请完成安全验证×
copy
已复制链接
快去分享给好友吧!
我知道了
右上角分享
点击右上角分享
0
联系我们:info@booksci.cn Book学术提供免费学术资源搜索服务,方便国内外学者检索中英文文献。致力于提供最便捷和优质的服务体验。 Copyright © 2023 布克学术 All rights reserved.
京ICP备2023020795号-1
ghs 京公网安备 11010802042870号
Book学术文献互助
Book学术文献互助群
群 号:604180095
Book学术官方微信