MiR-21 and MiR-155 Expressions in Oral Squamous Cell Carcinoma: A Retrospective Study in Mexican Patients using FFPE Biopsies.

IF 2.1 Q3 DENTISTRY, ORAL SURGERY & MEDICINE
Yolanda Terán-Figueroa, Obed Lemus-Rojero, Ángeles Catalina Ochoa-Martínez, Luz Eugenia Alcántara-Quintana, Iván N Pérez-Maldonado, Nuria Patiño-Marín, Jorge Alejandro Alegría-Torres
{"title":"MiR-21 and MiR-155 Expressions in Oral Squamous Cell Carcinoma: A Retrospective Study in Mexican Patients using FFPE Biopsies.","authors":"Yolanda Terán-Figueroa, Obed Lemus-Rojero, Ángeles Catalina Ochoa-Martínez, Luz Eugenia Alcántara-Quintana, Iván N Pérez-Maldonado, Nuria Patiño-Marín, Jorge Alejandro Alegría-Torres","doi":"10.4103/jispcd.jispcd_42_25","DOIUrl":null,"url":null,"abstract":"<p><strong>Aim: </strong>Oral squamous cell carcinoma (OSCC) is a prevalent malignancy with poor survival outcomes, particularly in regions with high tobacco use and less early detection. MicroRNAs (miRNAs) such as miR-21 and miR-155 have been implicated in tumor progression and viral oncogenesis. This study aimed to evaluate the expressions of miR-21 and miR-155 in OSCC tissues and their association with histological differentiation and HPV infection in a Mexican population.</p><p><strong>Materials and methods: </strong>This retrospective cross-sectional study included 30 OSCC cases and 30 age- and sex-matched healthy oral tissue controls. Total RNA was extracted from formalin-fixed paraffin-embedded tissue samples, and miR-21 and miR-155 levels were quantified using RT-qPCR. HPV genotyping (types 16 and 18) was performed via endpoint PCR. Statistical analysis included Mann-Whitney <i>U</i> test, Kruskal-Wallis test, and Fisher's exact test. Effect sizes were calculated using Glass's delta, and a significance level of <i>P</i> < 0.05 was applied.</p><p><strong>Results: </strong>MiR-21 and miR-155 were significantly upregulated in OSCC tissues compared to controls (<i>P</i> < 0.001 for both), with large effect sizes (Glass's <i>δ</i> = 3.78 and 2.63, respectively). No significant association was found between miRNA expression levels and tumor differentiation grade (<i>P</i> > 0.05). HPV was detected in 26.6% of OSCC samples, with HPV-16 being the most frequent subtype. A significant association was observed between HPV positivity and tobacco use (<i>P</i> = 0.002), but not with miRNA expression levels.</p><p><strong>Conclusion: </strong>The overexpression of miR-21 and miR-155 in OSCC supports their potential as diagnostic biomarkers in oral cancer. While their levels were not significantly associated with tumor grade or HPV status, their consistent elevation in malignant tissues warrants further investigation into their mechanistic role in OSCC pathogenesis and their applicability in biomarker panels for early detection, especially in Latin American populations.</p>","PeriodicalId":47247,"journal":{"name":"Journal of International Society of Preventive and Community Dentistry","volume":"15 4","pages":"374-381"},"PeriodicalIF":2.1000,"publicationDate":"2025-08-22","publicationTypes":"Journal Article","fieldsOfStudy":null,"isOpenAccess":false,"openAccessPdf":"https://www.ncbi.nlm.nih.gov/pmc/articles/PMC12425401/pdf/","citationCount":"0","resultStr":null,"platform":"Semanticscholar","paperid":null,"PeriodicalName":"Journal of International Society of Preventive and Community Dentistry","FirstCategoryId":"1085","ListUrlMain":"https://doi.org/10.4103/jispcd.jispcd_42_25","RegionNum":0,"RegionCategory":null,"ArticlePicture":[],"TitleCN":null,"AbstractTextCN":null,"PMCID":null,"EPubDate":"2025/7/1 0:00:00","PubModel":"eCollection","JCR":"Q3","JCRName":"DENTISTRY, ORAL SURGERY & MEDICINE","Score":null,"Total":0}
引用次数: 0

Abstract

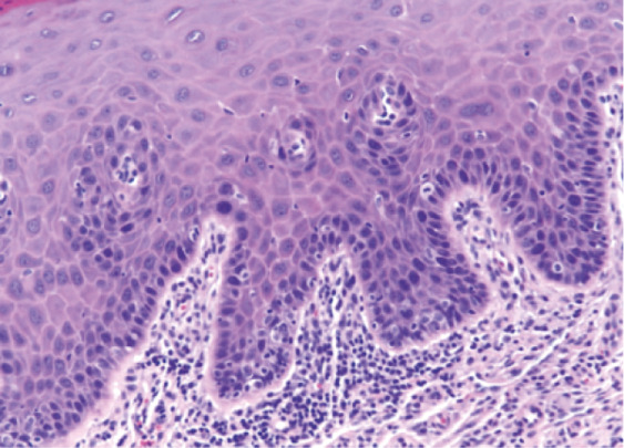
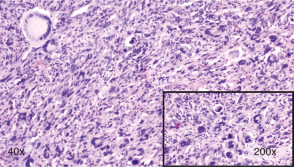
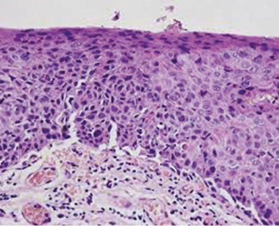
Aim: Oral squamous cell carcinoma (OSCC) is a prevalent malignancy with poor survival outcomes, particularly in regions with high tobacco use and less early detection. MicroRNAs (miRNAs) such as miR-21 and miR-155 have been implicated in tumor progression and viral oncogenesis. This study aimed to evaluate the expressions of miR-21 and miR-155 in OSCC tissues and their association with histological differentiation and HPV infection in a Mexican population.

Materials and methods: This retrospective cross-sectional study included 30 OSCC cases and 30 age- and sex-matched healthy oral tissue controls. Total RNA was extracted from formalin-fixed paraffin-embedded tissue samples, and miR-21 and miR-155 levels were quantified using RT-qPCR. HPV genotyping (types 16 and 18) was performed via endpoint PCR. Statistical analysis included Mann-Whitney U test, Kruskal-Wallis test, and Fisher's exact test. Effect sizes were calculated using Glass's delta, and a significance level of P < 0.05 was applied.

Results: MiR-21 and miR-155 were significantly upregulated in OSCC tissues compared to controls (P < 0.001 for both), with large effect sizes (Glass's δ = 3.78 and 2.63, respectively). No significant association was found between miRNA expression levels and tumor differentiation grade (P > 0.05). HPV was detected in 26.6% of OSCC samples, with HPV-16 being the most frequent subtype. A significant association was observed between HPV positivity and tobacco use (P = 0.002), but not with miRNA expression levels.

Conclusion: The overexpression of miR-21 and miR-155 in OSCC supports their potential as diagnostic biomarkers in oral cancer. While their levels were not significantly associated with tumor grade or HPV status, their consistent elevation in malignant tissues warrants further investigation into their mechanistic role in OSCC pathogenesis and their applicability in biomarker panels for early detection, especially in Latin American populations.

Abstract Image

Abstract Image

Abstract Image

MiR-21和MiR-155在口腔鳞状细胞癌中的表达:墨西哥患者FFPE活检的回顾性研究
目的:口腔鳞状细胞癌(OSCC)是一种普遍存在的恶性肿瘤,生存率较差,特别是在烟草使用高和早期发现较少的地区。microrna (mirna)如miR-21和miR-155与肿瘤进展和病毒肿瘤发生有关。本研究旨在评估miR-21和miR-155在墨西哥人群OSCC组织中的表达及其与组织学分化和HPV感染的关系。材料和方法:本回顾性横断面研究包括30例OSCC病例和30例年龄和性别匹配的健康口腔组织对照。从福尔马林固定石蜡包埋的组织样本中提取总RNA,并使用RT-qPCR定量miR-21和miR-155水平。通过终点PCR进行HPV基因分型(16型和18型)。统计分析包括Mann-Whitney U检验、Kruskal-Wallis检验和Fisher精确检验。效应量采用Glass’s delta计算,显著性水平为P < 0.05。结果:与对照组相比,MiR-21和miR-155在OSCC组织中显著上调(两者均P < 0.001),效应量大(Glass’s δ分别= 3.78和2.63)。miRNA表达水平与肿瘤分化程度无显著相关性(P < 0.05)。在26.6%的OSCC样本中检测到HPV, HPV-16是最常见的亚型。HPV阳性与烟草使用之间存在显著相关性(P = 0.002),但与miRNA表达水平无关。结论:miR-21和miR-155在OSCC中的过表达支持了它们作为口腔癌诊断生物标志物的潜力。虽然它们的水平与肿瘤级别或HPV状态没有显著相关性,但它们在恶性组织中的持续升高值得进一步研究它们在OSCC发病机制中的作用,以及它们在早期检测的生物标志物面板中的适用性,特别是在拉丁美洲人群中。
本文章由计算机程序翻译,如有差异,请以英文原文为准。
求助全文
约1分钟内获得全文 求助全文
来源期刊
CiteScore
2.50
自引率
0.00%
发文量
123
期刊介绍: It is a journal aimed for research, scientific facts and details covering all specialties of dentistry with a good determination for exploring and sharing the knowledge in the medical and dental fraternity. The scope is therefore huge covering almost all streams of dentistry - starting from original studies, systematic reviews, narrative reviews, very unique case reports. Journal scope is not limited to these subjects and is more wider covering all specialities of dentistry follows: -Preventive and Community dentistry (Dental public health)- Endodontics- Oral and maxillofacial pathology- Oral and maxillofacial radiology- Oral and maxillofacial surgery (also called oral surgery)- Orthodontics and dentofacial orthopedics- Periodontology (also called periodontics)- Pediatric dentistry (also called pedodontics)- Prosthodontics (also called prosthetic dentistry)- Oral medicine- Special needs dentistry (also called special care dentistry)- Oral Biology- Forensic odontology- Geriatric dentistry or Geriodontics- Preventive and Social Medicine (Public health)- Our journal appreciates research articles pertaining with advancement of dentistry, preventive and community dentistry including oral epidemiology, oral health services research, oral health education and promotion, behavioral sciences related to dentistry, dental jurisprudence, ethics and oral health, economics, and quality assessment, recent advances in preventive dentistry and community dentistry.
×
引用
GB/T 7714-2015
复制
MLA
复制
APA
复制
导出至
BibTeX EndNote RefMan NoteFirst NoteExpress
×
提示
您的信息不完整,为了账户安全,请先补充。
现在去补充
×
提示
您因"违规操作"
具体请查看互助需知
我知道了
×
提示
确定
请完成安全验证×
copy
已复制链接
快去分享给好友吧!
我知道了
右上角分享
点击右上角分享
0
联系我们:info@booksci.cn Book学术提供免费学术资源搜索服务,方便国内外学者检索中英文文献。致力于提供最便捷和优质的服务体验。 Copyright © 2023 布克学术 All rights reserved.
京ICP备2023020795号-1
ghs 京公网安备 11010802042870号
Book学术文献互助
Book学术文献互助群
群 号:604180095
Book学术官方微信