Unraveling the diagnosis of rare genetic disorder - Langerhans cell histiocytosis.

Q2 Dentistry
Ankit Gupta, Prasanth Thankappan, K R Krishnaprasad, Saravanan Sampoornam Pape Reddy, Ruchi Harish, Akash Warman
{"title":"Unraveling the diagnosis of rare genetic disorder - Langerhans cell histiocytosis.","authors":"Ankit Gupta, Prasanth Thankappan, K R Krishnaprasad, Saravanan Sampoornam Pape Reddy, Ruchi Harish, Akash Warman","doi":"10.4103/jisp.jisp_217_24","DOIUrl":null,"url":null,"abstract":"<p><p>Langerhans cell histiocytosis (LCH) is a rare hematologic disorder characterized by the abnormal proliferation of Langerhans cells, resulting in a wide range of clinical manifestations and diagnostic challenges. A 36-year-old male presented with complaints of mobile teeth, gingival pain, and eczematous rashes on the toes. Clinical examination revealed advanced gingivitis, significant alveolar bone loss, and micronodular opacities in the chest on radiographic imaging. Histopathological and immunohistochemical analyses confirmed the diagnosis of LCH. This case underscores the diverse clinical spectrum of LCH and highlights the pivotal role of histopathology and immunohistochemistry in achieving a definitive diagnosis. Management strategies vary depending on the extent of disease involvement and may include surgical excision, corticosteroid therapy, or systemic chemotherapy. The case emphasizes the necessity of comprehensive evaluation and interdisciplinary collaboration in the diagnosis and treatment of rare disorders such as LCH.</p>","PeriodicalId":15890,"journal":{"name":"Journal of Indian Society of Periodontology","volume":"29 2","pages":"203-206"},"PeriodicalIF":0.0000,"publicationDate":"2025-03-01","publicationTypes":"Journal Article","fieldsOfStudy":null,"isOpenAccess":false,"openAccessPdf":"https://www.ncbi.nlm.nih.gov/pmc/articles/PMC12425242/pdf/","citationCount":"0","resultStr":null,"platform":"Semanticscholar","paperid":null,"PeriodicalName":"Journal of Indian Society of Periodontology","FirstCategoryId":"1085","ListUrlMain":"https://doi.org/10.4103/jisp.jisp_217_24","RegionNum":0,"RegionCategory":null,"ArticlePicture":[],"TitleCN":null,"AbstractTextCN":null,"PMCID":null,"EPubDate":"2025/8/19 0:00:00","PubModel":"Epub","JCR":"Q2","JCRName":"Dentistry","Score":null,"Total":0}
引用次数: 0

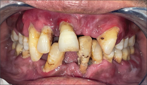
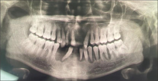
Abstract

Langerhans cell histiocytosis (LCH) is a rare hematologic disorder characterized by the abnormal proliferation of Langerhans cells, resulting in a wide range of clinical manifestations and diagnostic challenges. A 36-year-old male presented with complaints of mobile teeth, gingival pain, and eczematous rashes on the toes. Clinical examination revealed advanced gingivitis, significant alveolar bone loss, and micronodular opacities in the chest on radiographic imaging. Histopathological and immunohistochemical analyses confirmed the diagnosis of LCH. This case underscores the diverse clinical spectrum of LCH and highlights the pivotal role of histopathology and immunohistochemistry in achieving a definitive diagnosis. Management strategies vary depending on the extent of disease involvement and may include surgical excision, corticosteroid therapy, or systemic chemotherapy. The case emphasizes the necessity of comprehensive evaluation and interdisciplinary collaboration in the diagnosis and treatment of rare disorders such as LCH.

Abstract Image

Abstract Image

Abstract Image

揭示罕见的遗传性疾病-朗格汉斯细胞组织细胞增多症的诊断。
朗格汉斯细胞组织细胞增多症(LCH)是一种罕见的血液系统疾病,其特征是朗格汉斯细胞异常增殖,导致广泛的临床表现和诊断挑战。一名36岁男性,主诉牙齿活动,牙龈疼痛,脚趾湿疹皮疹。临床检查显示晚期牙龈炎,明显的牙槽骨丢失,胸片上有小结节状混浊。组织病理学和免疫组织化学分析证实了LCH的诊断。该病例强调了LCH的多种临床谱,并强调了组织病理学和免疫组织化学在获得明确诊断中的关键作用。治疗策略因疾病累及程度而异,可能包括手术切除、皮质类固醇治疗或全身化疗。该病例强调了在诊断和治疗LCH等罕见疾病方面进行综合评估和跨学科合作的必要性。
本文章由计算机程序翻译,如有差异,请以英文原文为准。
求助全文
约1分钟内获得全文 求助全文
来源期刊
CiteScore
1.70
自引率
0.00%
发文量
87
审稿时长
44 weeks
期刊介绍: The Journal of Indian Society of Periodontology publishes original scientific articles to support practice , education and research in the dental specialty of periodontology and oral implantology. Journal of Indian Society of Periodontology (JISP), is the official publication of the Society and is managed and brought out by the Editor of the society. The journal is published Bimonthly with special issues being brought out for specific occasions. The ISP had a bulletin as its publication for a large number of years and was enhanced as a Journal a few years ago
×
引用
GB/T 7714-2015
复制
MLA
复制
APA
复制
导出至
BibTeX EndNote RefMan NoteFirst NoteExpress
×
提示
您的信息不完整,为了账户安全,请先补充。
现在去补充
×
提示
您因"违规操作"
具体请查看互助需知
我知道了
×
提示
确定
请完成安全验证×
copy
已复制链接
快去分享给好友吧!
我知道了
右上角分享
点击右上角分享
0
联系我们:info@booksci.cn Book学术提供免费学术资源搜索服务,方便国内外学者检索中英文文献。致力于提供最便捷和优质的服务体验。 Copyright © 2023 布克学术 All rights reserved.
京ICP备2023020795号-1
ghs 京公网安备 11010802042870号
Book学术文献互助
Book学术文献互助群
群 号:604180095
Book学术官方微信