Keratoameloblastoma of the jaws and review of international literature of 38 cases.

Q2 Dentistry
Rafael Netto, Maria Elisa Rangel Janini, Wladimir Cortezzi, Ludimila Lemes Moura, Silas Antonio Juvencio de Freitas-Filho
{"title":"Keratoameloblastoma of the jaws and review of international literature of 38 cases.","authors":"Rafael Netto, Maria Elisa Rangel Janini, Wladimir Cortezzi, Ludimila Lemes Moura, Silas Antonio Juvencio de Freitas-Filho","doi":"10.4317/jced.62973","DOIUrl":null,"url":null,"abstract":"<p><p>The term keratoameloblastoma has been used to describe a histologically heterogeneous group of ameloblastoma variants that share the formation of keratin by the ameloblastomatous epithelium. To date, thirty-eight cases of keratoameloblastoma have been previously reported in the literature, nine of which exhibited a papilliferous component. Here we report a new case of a recurrent tumor that falls within the keratoameloblastoma spectrum. It presented as an expansile, solid lesion with internal calcification in the right infratemporal fossa six years after ipsilateral hemimandibulectomy in a 46-year-old white female. Histological evaluation revealed islands of columnar cells resembling ameloblasts surrounding a central area with stellate reticulum-like cells, some of them completely filled with keratin. In addition, areas showed basal ranging from columnar to cuboidal with hyperchromatic nuclei. The clinical, histopathologic, and radiographic features of keratoameloblastoma are reviewed, along with treatment approaches and follow-up considerations. Although only a few cases have been documented, the tumor's aggressive biological behavior and the high recurrence rate suggest that a more aggressive therapeutic approach is warranted. Patients should be informed of the importance of clinical monitoring. Surgical resection with adequate safety margins and histopathological evaluation of the margins is strongly recommended. <b>Key words:</b>Odontogenic tumors, keratoameloblastoma, ameloblastoma, review.</p>","PeriodicalId":15376,"journal":{"name":"Journal of Clinical and Experimental Dentistry","volume":"17 8","pages":"e1006-e1013"},"PeriodicalIF":0.0000,"publicationDate":"2025-08-01","publicationTypes":"Journal Article","fieldsOfStudy":null,"isOpenAccess":false,"openAccessPdf":"https://www.ncbi.nlm.nih.gov/pmc/articles/PMC12424603/pdf/","citationCount":"0","resultStr":null,"platform":"Semanticscholar","paperid":null,"PeriodicalName":"Journal of Clinical and Experimental Dentistry","FirstCategoryId":"1085","ListUrlMain":"https://doi.org/10.4317/jced.62973","RegionNum":0,"RegionCategory":null,"ArticlePicture":[],"TitleCN":null,"AbstractTextCN":null,"PMCID":null,"EPubDate":"","PubModel":"","JCR":"Q2","JCRName":"Dentistry","Score":null,"Total":0}
引用次数: 0

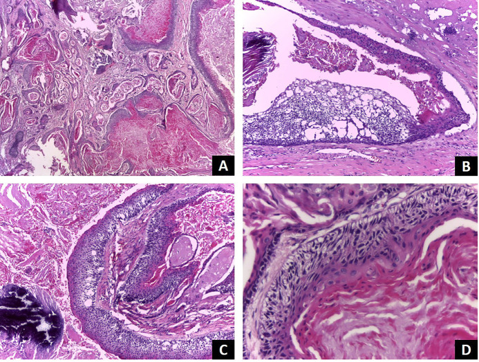
Abstract

The term keratoameloblastoma has been used to describe a histologically heterogeneous group of ameloblastoma variants that share the formation of keratin by the ameloblastomatous epithelium. To date, thirty-eight cases of keratoameloblastoma have been previously reported in the literature, nine of which exhibited a papilliferous component. Here we report a new case of a recurrent tumor that falls within the keratoameloblastoma spectrum. It presented as an expansile, solid lesion with internal calcification in the right infratemporal fossa six years after ipsilateral hemimandibulectomy in a 46-year-old white female. Histological evaluation revealed islands of columnar cells resembling ameloblasts surrounding a central area with stellate reticulum-like cells, some of them completely filled with keratin. In addition, areas showed basal ranging from columnar to cuboidal with hyperchromatic nuclei. The clinical, histopathologic, and radiographic features of keratoameloblastoma are reviewed, along with treatment approaches and follow-up considerations. Although only a few cases have been documented, the tumor's aggressive biological behavior and the high recurrence rate suggest that a more aggressive therapeutic approach is warranted. Patients should be informed of the importance of clinical monitoring. Surgical resection with adequate safety margins and histopathological evaluation of the margins is strongly recommended. Key words:Odontogenic tumors, keratoameloblastoma, ameloblastoma, review.

Abstract Image

Abstract Image

Abstract Image

颌骨角膜成釉细胞瘤并附38例国际文献复习。
“角成釉细胞瘤”一词已被用来描述组织学上异质组的成釉细胞瘤变体,它们共享由成釉细胞瘤上皮形成的角蛋白。迄今为止,已有38例角膜成釉细胞瘤的文献报道,其中9例表现出乳头状成分。在这里我们报告一个新的病例复发肿瘤落在角膜成釉细胞瘤谱。患者为46岁白人女性,同侧半下颌管切除术6年后,右侧颞下窝出现扩张性实性病变,伴有内部钙化。组织学检查显示星形网状细胞包围中心区域,其中一些细胞完全充满角蛋白,形似成釉细胞的柱状细胞岛。此外,细胞核呈深染的基底,从柱状到立方状不等。本文回顾了角膜成釉细胞瘤的临床、组织病理学和影像学特征,以及治疗方法和随访注意事项。虽然只有少数病例被记录在案,但肿瘤的侵袭性生物学行为和高复发率表明,更积极的治疗方法是必要的。应告知患者临床监测的重要性。强烈建议手术切除,并给予足够的安全边缘和组织病理学评估。关键词:牙源性肿瘤,角膜成釉细胞瘤,成釉细胞瘤,综述
本文章由计算机程序翻译,如有差异,请以英文原文为准。
求助全文
约1分钟内获得全文 求助全文
来源期刊
CiteScore
2.70
自引率
0.00%
发文量
118
期刊介绍: Indexed in PUBMED, PubMed Central® (PMC) since 2012 and SCOPUSJournal of Clinical and Experimental Dentistry is an Open Access (free access on-line) - http://www.medicinaoral.com/odo/indice.htm. The aim of the Journal of Clinical and Experimental Dentistry is: - Periodontology - Community and Preventive Dentistry - Esthetic Dentistry - Biomaterials and Bioengineering in Dentistry - Operative Dentistry and Endodontics - Prosthetic Dentistry - Orthodontics - Oral Medicine and Pathology - Odontostomatology for the disabled or special patients - Oral Surgery
×
引用
GB/T 7714-2015
复制
MLA
复制
APA
复制
导出至
BibTeX EndNote RefMan NoteFirst NoteExpress
×
提示
您的信息不完整,为了账户安全,请先补充。
现在去补充
×
提示
您因"违规操作"
具体请查看互助需知
我知道了
×
提示
确定
请完成安全验证×
copy
已复制链接
快去分享给好友吧!
我知道了
右上角分享
点击右上角分享
0
联系我们:info@booksci.cn Book学术提供免费学术资源搜索服务,方便国内外学者检索中英文文献。致力于提供最便捷和优质的服务体验。 Copyright © 2023 布克学术 All rights reserved.
京ICP备2023020795号-1
ghs 京公网安备 11010802042870号
Book学术文献互助
Book学术文献互助群
群 号:604180095
Book学术官方微信