The Pandora's Box of Cardiac Devices: A Case of Infective Endocarditis Postpatent Foramen Ovale Closure.

IF 1 Q4 CARDIAC & CARDIOVASCULAR SYSTEMS
Journal of Cardiovascular Echography Pub Date : 2025-04-01 Epub Date: 2025-07-30 DOI:10.4103/jcecho.jcecho_11_25
Fulvio Cacciapuoti, Fabio Minicucci, Brenno Fiorani, Ilaria Caso, Mafalda Esposito, Luca Gaetano Tarquinio, Giacomo Mattiello, Elisa Di Pietro, Teresa Russo, Ciro Mauro
{"title":"The Pandora's Box of Cardiac Devices: A Case of Infective Endocarditis Postpatent Foramen Ovale Closure.","authors":"Fulvio Cacciapuoti, Fabio Minicucci, Brenno Fiorani, Ilaria Caso, Mafalda Esposito, Luca Gaetano Tarquinio, Giacomo Mattiello, Elisa Di Pietro, Teresa Russo, Ciro Mauro","doi":"10.4103/jcecho.jcecho_11_25","DOIUrl":null,"url":null,"abstract":"<p><p>Patent foramen ovale (PFO) is a congenital cardiac defect present in approximately 30% of the general population. While often asymptomatic, it is associated with cryptogenic stroke and paradoxical embolism. Percutaneous closure using atrial septal defect occluder is an effective preventive strategy, but these devices carry a risk of rare complications, including infective endocarditis. Device-associated infective endocarditis is often linked to transient bacteremia following invasive procedures, highlighting the importance of antibiotic prophylaxis. However, the clinical presentation can be variable, requiring a high index of suspicion and advanced imaging for the diagnosis. We describe the case of a 55-year-old woman with hypertension, obesity, and a history of PFO closure with an Amplatzer occluder, who developed infective endocarditis weeks after a dental procedure. She presented with fever, vomiting, and confusion, initially misdiagnosed with encephalitis. Transesophageal echocardiography revealed large filamentous vegetation on the Amplatzer occluder, causing functional mitral regurgitation. Blood cultures identified <i>Staphylococcus aureus</i> and <i>Streptococcus pneumoniae</i>, confirming a mixed bacterial infection. The patient underwent surgical removal of the infected device and mitral valve repair. Postoperatively, she improved significantly and was discharged with a complete course of antibiotics. This case underscores the need for vigilance in patients with intracardiac devices, particularly following bacteremia-inducing procedures. Early diagnosis using echocardiography and prompt surgical intervention are essential to managing device-related infective endocarditis. While antibiotic prophylaxis may reduce the risk of bacteremia-related infections, the lack of high-quality evidence necessitates further research to guide preventive strategies. Multidisciplinary care and strict adherence to diagnostic and therapeutic protocols remain pivotal to improving patient outcomes.</p>","PeriodicalId":15191,"journal":{"name":"Journal of Cardiovascular Echography","volume":"35 2","pages":"175-178"},"PeriodicalIF":1.0000,"publicationDate":"2025-04-01","publicationTypes":"Journal Article","fieldsOfStudy":null,"isOpenAccess":false,"openAccessPdf":"https://www.ncbi.nlm.nih.gov/pmc/articles/PMC12425280/pdf/","citationCount":"0","resultStr":null,"platform":"Semanticscholar","paperid":null,"PeriodicalName":"Journal of Cardiovascular Echography","FirstCategoryId":"1085","ListUrlMain":"https://doi.org/10.4103/jcecho.jcecho_11_25","RegionNum":0,"RegionCategory":null,"ArticlePicture":[],"TitleCN":null,"AbstractTextCN":null,"PMCID":null,"EPubDate":"2025/7/30 0:00:00","PubModel":"Epub","JCR":"Q4","JCRName":"CARDIAC & CARDIOVASCULAR SYSTEMS","Score":null,"Total":0}
引用次数: 0

Abstract

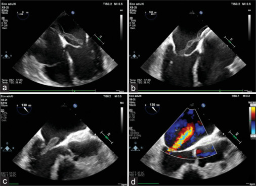
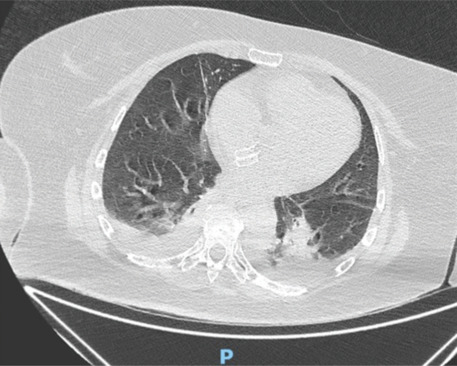
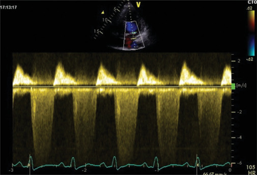
Patent foramen ovale (PFO) is a congenital cardiac defect present in approximately 30% of the general population. While often asymptomatic, it is associated with cryptogenic stroke and paradoxical embolism. Percutaneous closure using atrial septal defect occluder is an effective preventive strategy, but these devices carry a risk of rare complications, including infective endocarditis. Device-associated infective endocarditis is often linked to transient bacteremia following invasive procedures, highlighting the importance of antibiotic prophylaxis. However, the clinical presentation can be variable, requiring a high index of suspicion and advanced imaging for the diagnosis. We describe the case of a 55-year-old woman with hypertension, obesity, and a history of PFO closure with an Amplatzer occluder, who developed infective endocarditis weeks after a dental procedure. She presented with fever, vomiting, and confusion, initially misdiagnosed with encephalitis. Transesophageal echocardiography revealed large filamentous vegetation on the Amplatzer occluder, causing functional mitral regurgitation. Blood cultures identified Staphylococcus aureus and Streptococcus pneumoniae, confirming a mixed bacterial infection. The patient underwent surgical removal of the infected device and mitral valve repair. Postoperatively, she improved significantly and was discharged with a complete course of antibiotics. This case underscores the need for vigilance in patients with intracardiac devices, particularly following bacteremia-inducing procedures. Early diagnosis using echocardiography and prompt surgical intervention are essential to managing device-related infective endocarditis. While antibiotic prophylaxis may reduce the risk of bacteremia-related infections, the lack of high-quality evidence necessitates further research to guide preventive strategies. Multidisciplinary care and strict adherence to diagnostic and therapeutic protocols remain pivotal to improving patient outcomes.

Abstract Image

Abstract Image

Abstract Image

心脏装置的潘多拉盒子:一例卵圆孔闭合后感染性心内膜炎。
卵圆孔未闭(PFO)是一种先天性心脏缺陷,约占总人口的30%。虽然通常无症状,但它与隐源性中风和矛盾栓塞有关。使用房间隔缺损封堵器经皮闭锁是一种有效的预防策略,但这些装置具有罕见并发症的风险,包括感染性心内膜炎。器械相关的感染性心内膜炎通常与侵入性手术后的短暂菌血症有关,这突出了抗生素预防的重要性。然而,临床表现可能是可变的,需要高度的怀疑指数和先进的影像学诊断。我们描述了一例55岁的女性高血压、肥胖和PFO闭合史与Amplatzer咬合,谁发生感染性心内膜炎后几周牙科手术。患者表现为发热、呕吐和意识不清,最初误诊为脑炎。经食管超声心动图显示Amplatzer封堵器上有大丝状植被,引起功能性二尖瓣反流。血液培养鉴定出金黄色葡萄球菌和肺炎链球菌,证实了混合细菌感染。患者接受手术切除感染装置和二尖瓣修复。术后,患者病情明显好转,并完成一个疗程的抗生素治疗出院。本病例强调了心内装置患者警惕的必要性,特别是在菌血症诱导手术后。早期诊断使用超声心动图和及时的手术干预是必要的,以管理设备相关的感染性心内膜炎。虽然抗生素预防可以降低菌血症相关感染的风险,但由于缺乏高质量的证据,需要进一步研究以指导预防策略。多学科护理和严格遵守诊断和治疗方案仍然是改善患者预后的关键。
本文章由计算机程序翻译,如有差异,请以英文原文为准。
求助全文
约1分钟内获得全文 求助全文
来源期刊
Journal of Cardiovascular Echography
Journal of Cardiovascular Echography CARDIAC & CARDIOVASCULAR SYSTEMS-
CiteScore
1.40
自引率
12.50%
发文量
27
×
引用
GB/T 7714-2015
复制
MLA
复制
APA
复制
导出至
BibTeX EndNote RefMan NoteFirst NoteExpress
×
提示
您的信息不完整,为了账户安全,请先补充。
现在去补充
×
提示
您因"违规操作"
具体请查看互助需知
我知道了
×
提示
确定
请完成安全验证×
copy
已复制链接
快去分享给好友吧!
我知道了
右上角分享
点击右上角分享
0
联系我们:info@booksci.cn Book学术提供免费学术资源搜索服务,方便国内外学者检索中英文文献。致力于提供最便捷和优质的服务体验。 Copyright © 2023 布克学术 All rights reserved.
京ICP备2023020795号-1
ghs 京公网安备 11010802042870号
Book学术文献互助
Book学术文献互助群
群 号:604180095
Book学术官方微信