Internal adaptation and micromorphological analysis of a new self-cure resin composite.

Q2 Dentistry
Eman H Albelasy, Ahmed Gamal Raghip, Hoda Saleh Ismail
{"title":"Internal adaptation and micromorphological analysis of a new self-cure resin composite.","authors":"Eman H Albelasy, Ahmed Gamal Raghip, Hoda Saleh Ismail","doi":"10.4317/jced.62900","DOIUrl":null,"url":null,"abstract":"<p><strong>Background: </strong>Enhancing the adaptation and durability of composite restorations remains a major challenge in modern adhesive dentistry. Recently, a new self-cured resin composite has gained attention with the potential to improve interfacial adaptation and reduce polymerization shrinkage stress, offering an alternative to conventional light-cured systems.</p><p><strong>Material and methods: </strong>Sixteen freshly extracted human molars were prepared with standardized Class II cavities and randomly assigned to two groups (<i>n</i>=8). The first group was restored using a self-cure bulk-fill resin composite (Stela Automix, SDI Ltd., Australia) with its respective primer, while the second group received an injecTable resin composite (G-aenial Universal InjecTable, GC Corporation, Japan) with a universal adhesive. Restorative procedures followed manufacturers' instructions. The restorations were finished and polished, before being stored in distilled water at 37°C for six months to simulate aging conditions. After storage, specimens were sectioned longitudinally and analyzed using environmental scanning electron microscopy to evaluate internal adaptation, and interfacial gap measurements were recorded.</p><p><strong>Results: </strong>An independent Sample T-test showed a statistically significant difference in interfacial gap (IG%) between the two restorative systems, with the self-cure composite showing more favourable outcomes. For stela, the IG% was13.5±6.1 while for InjecTable composite IG%=28.4±13.3.</p><p><strong>Conclusions: </strong>The Stela primer and composite used in this study demonstrated superior internal adaptation compared to the light-cured control, suggesting they could be a viable alternative, particularly for deep gingival margins or situations where light curing is inaccessible. <b>Key words:</b>Self-cure composite, internal adaptation, SEM, curing mode, Universal adhesive.</p>","PeriodicalId":15376,"journal":{"name":"Journal of Clinical and Experimental Dentistry","volume":"17 8","pages":"e912-e919"},"PeriodicalIF":0.0000,"publicationDate":"2025-08-01","publicationTypes":"Journal Article","fieldsOfStudy":null,"isOpenAccess":false,"openAccessPdf":"https://www.ncbi.nlm.nih.gov/pmc/articles/PMC12424602/pdf/","citationCount":"0","resultStr":null,"platform":"Semanticscholar","paperid":null,"PeriodicalName":"Journal of Clinical and Experimental Dentistry","FirstCategoryId":"1085","ListUrlMain":"https://doi.org/10.4317/jced.62900","RegionNum":0,"RegionCategory":null,"ArticlePicture":[],"TitleCN":null,"AbstractTextCN":null,"PMCID":null,"EPubDate":"","PubModel":"","JCR":"Q2","JCRName":"Dentistry","Score":null,"Total":0}
引用次数: 0

Abstract

Background: Enhancing the adaptation and durability of composite restorations remains a major challenge in modern adhesive dentistry. Recently, a new self-cured resin composite has gained attention with the potential to improve interfacial adaptation and reduce polymerization shrinkage stress, offering an alternative to conventional light-cured systems.

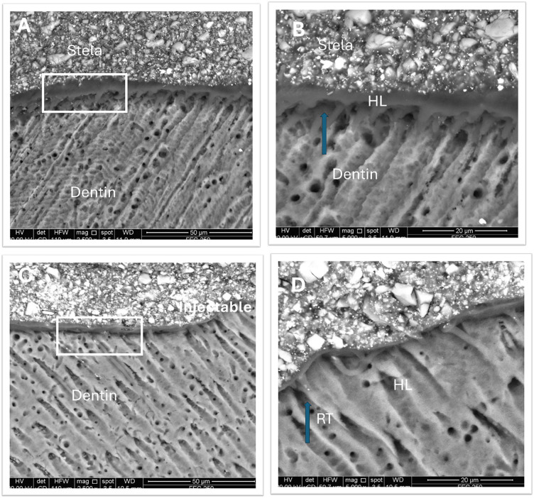
Material and methods: Sixteen freshly extracted human molars were prepared with standardized Class II cavities and randomly assigned to two groups (n=8). The first group was restored using a self-cure bulk-fill resin composite (Stela Automix, SDI Ltd., Australia) with its respective primer, while the second group received an injecTable resin composite (G-aenial Universal InjecTable, GC Corporation, Japan) with a universal adhesive. Restorative procedures followed manufacturers' instructions. The restorations were finished and polished, before being stored in distilled water at 37°C for six months to simulate aging conditions. After storage, specimens were sectioned longitudinally and analyzed using environmental scanning electron microscopy to evaluate internal adaptation, and interfacial gap measurements were recorded.

Results: An independent Sample T-test showed a statistically significant difference in interfacial gap (IG%) between the two restorative systems, with the self-cure composite showing more favourable outcomes. For stela, the IG% was13.5±6.1 while for InjecTable composite IG%=28.4±13.3.

Conclusions: The Stela primer and composite used in this study demonstrated superior internal adaptation compared to the light-cured control, suggesting they could be a viable alternative, particularly for deep gingival margins or situations where light curing is inaccessible. Key words:Self-cure composite, internal adaptation, SEM, curing mode, Universal adhesive.

Abstract Image

Abstract Image

一种新型自固化树脂复合材料的内部自适应及微形态分析。
背景:提高复合修复体的适应性和耐久性仍然是现代粘接剂牙科的主要挑战。最近,一种新型自固化树脂复合材料引起了人们的关注,它具有改善界面适应性和减少聚合收缩应力的潜力,为传统光固化体系提供了一种替代方案。材料与方法:将16颗新鲜拔除的人磨牙制作成标准的II类牙槽,随机分为两组(n=8)。第一组使用自固化填充树脂复合材料(Stela Automix, SDI Ltd,澳大利亚)和相应的底漆进行修复,而第二组使用可注射树脂复合材料(G-aenial Universal injecTable, GC Corporation,日本)和通用粘合剂进行修复。修复程序遵循制造商的说明。修复体完成并抛光,然后在37°C的蒸馏水中储存6个月以模拟老化条件。保存后,对标本进行纵向切片,利用环境扫描电镜分析内部适应性,并记录界面间隙测量值。结果:独立样本t检验显示,两种修复体系的界面间隙(IG%)差异有统计学意义,自固化复合材料表现出更有利的结果。stela组IG%为13.5±6.1,InjecTable组IG%=28.4±13.3。结论:与光固化对照相比,本研究中使用的Stela引物和复合材料表现出更好的内部适应性,这表明它们可能是一种可行的替代方法,特别是对于深牙龈边缘或无法光固化的情况。关键词:自固化复合材料;内部自适应;扫描电镜;
本文章由计算机程序翻译,如有差异,请以英文原文为准。
求助全文
约1分钟内获得全文 求助全文
来源期刊
CiteScore
2.70
自引率
0.00%
发文量
118
期刊介绍: Indexed in PUBMED, PubMed Central® (PMC) since 2012 and SCOPUSJournal of Clinical and Experimental Dentistry is an Open Access (free access on-line) - http://www.medicinaoral.com/odo/indice.htm. The aim of the Journal of Clinical and Experimental Dentistry is: - Periodontology - Community and Preventive Dentistry - Esthetic Dentistry - Biomaterials and Bioengineering in Dentistry - Operative Dentistry and Endodontics - Prosthetic Dentistry - Orthodontics - Oral Medicine and Pathology - Odontostomatology for the disabled or special patients - Oral Surgery
×
引用
GB/T 7714-2015
复制
MLA
复制
APA
复制
导出至
BibTeX EndNote RefMan NoteFirst NoteExpress
×
提示
您的信息不完整,为了账户安全,请先补充。
现在去补充
×
提示
您因"违规操作"
具体请查看互助需知
我知道了
×
提示
确定
请完成安全验证×
copy
已复制链接
快去分享给好友吧!
我知道了
右上角分享
点击右上角分享
0
联系我们:info@booksci.cn Book学术提供免费学术资源搜索服务,方便国内外学者检索中英文文献。致力于提供最便捷和优质的服务体验。 Copyright © 2023 布克学术 All rights reserved.
京ICP备2023020795号-1
ghs 京公网安备 11010802042870号
Book学术文献互助
Book学术文献互助群
群 号:604180095
Book学术官方微信