Perivalvular Complication in Infective Endocarditis: An Integrated Imaging Approach in the Diagnostic Workup.

IF 1 Q4 CARDIAC & CARDIOVASCULAR SYSTEMS
Journal of Cardiovascular Echography Pub Date : 2025-04-01 Epub Date: 2025-07-30 DOI:10.4103/jcecho.jcecho_92_24
Chiara Sordelli, Carlo Liguori, Nunzia Fele, Sara Hana Weisz, Raffaele Verde, Angela Guarino, Nunzia De Crescenzo, Alessandro Perrella, Emilio Di Lorenzo
{"title":"Perivalvular Complication in Infective Endocarditis: An Integrated Imaging Approach in the Diagnostic Workup.","authors":"Chiara Sordelli, Carlo Liguori, Nunzia Fele, Sara Hana Weisz, Raffaele Verde, Angela Guarino, Nunzia De Crescenzo, Alessandro Perrella, Emilio Di Lorenzo","doi":"10.4103/jcecho.jcecho_92_24","DOIUrl":null,"url":null,"abstract":"<p><p>Infective endocarditis (IE) is a rare disease, but its impact is significant as it affects 3-10/100,000 per year in the population. According to the current guidelines ESC 2023, the evidence of lesions characteristic of IE is a major diagnostic criterion. Echocardiography is the first-line imaging technique to diagnose IE and to assess the structural and functional damage of cardiac structures. Transesophageal echocardiography (TEE) is recommended in patients with an inconclusive or negative TTE, in patients with high suspicion of IE, as well as in patients with a positive TTE, to document local complications. Other imaging modalities, such as cardiac computed tomography and nuclear imaging, are needed to confirm or exclude the diagnosis of IE, to characterize the extent of the cardiac lesions, and to diagnose cardiac complications. The aim of this article was to review the potential role of cardiac imaging, especially of TEE and cardiac CT in evaluating IE perivalvular complications.</p>","PeriodicalId":15191,"journal":{"name":"Journal of Cardiovascular Echography","volume":"35 2","pages":"108-115"},"PeriodicalIF":1.0000,"publicationDate":"2025-04-01","publicationTypes":"Journal Article","fieldsOfStudy":null,"isOpenAccess":false,"openAccessPdf":"https://www.ncbi.nlm.nih.gov/pmc/articles/PMC12425274/pdf/","citationCount":"0","resultStr":null,"platform":"Semanticscholar","paperid":null,"PeriodicalName":"Journal of Cardiovascular Echography","FirstCategoryId":"1085","ListUrlMain":"https://doi.org/10.4103/jcecho.jcecho_92_24","RegionNum":0,"RegionCategory":null,"ArticlePicture":[],"TitleCN":null,"AbstractTextCN":null,"PMCID":null,"EPubDate":"2025/7/30 0:00:00","PubModel":"Epub","JCR":"Q4","JCRName":"CARDIAC & CARDIOVASCULAR SYSTEMS","Score":null,"Total":0}
引用次数: 0

Abstract

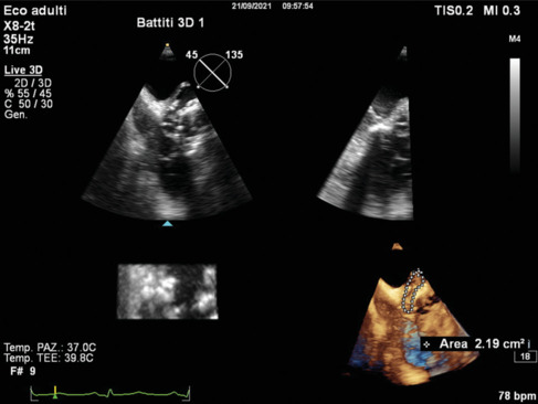
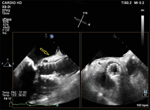
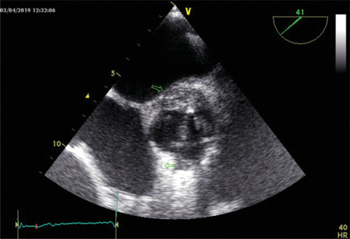
Infective endocarditis (IE) is a rare disease, but its impact is significant as it affects 3-10/100,000 per year in the population. According to the current guidelines ESC 2023, the evidence of lesions characteristic of IE is a major diagnostic criterion. Echocardiography is the first-line imaging technique to diagnose IE and to assess the structural and functional damage of cardiac structures. Transesophageal echocardiography (TEE) is recommended in patients with an inconclusive or negative TTE, in patients with high suspicion of IE, as well as in patients with a positive TTE, to document local complications. Other imaging modalities, such as cardiac computed tomography and nuclear imaging, are needed to confirm or exclude the diagnosis of IE, to characterize the extent of the cardiac lesions, and to diagnose cardiac complications. The aim of this article was to review the potential role of cardiac imaging, especially of TEE and cardiac CT in evaluating IE perivalvular complications.

Abstract Image

Abstract Image

Abstract Image

感染性心内膜炎的瓣周并发症:一种综合影像学诊断方法。
感染性心内膜炎(IE)是一种罕见的疾病,但其影响是显著的,因为它每年影响3-10/100,000人口。根据现行指南ESC 2023, IE病变特征的证据是主要的诊断标准。超声心动图是诊断IE和评估心脏结构和功能损害的一线成像技术。经食管超声心动图(TEE)推荐用于不确定或TTE阴性的患者、高度怀疑IE的患者以及TTE阳性的患者,以记录局部并发症。其他成像方式,如心脏计算机断层扫描和核成像,需要确认或排除IE的诊断,以表征心脏病变的程度,并诊断心脏并发症。本文的目的是回顾心脏成像,特别是TEE和心脏CT在评估IE瓣膜周围并发症中的潜在作用。
本文章由计算机程序翻译,如有差异,请以英文原文为准。
求助全文
约1分钟内获得全文 求助全文
来源期刊
Journal of Cardiovascular Echography
Journal of Cardiovascular Echography CARDIAC & CARDIOVASCULAR SYSTEMS-
CiteScore
1.40
自引率
12.50%
发文量
27
×
引用
GB/T 7714-2015
复制
MLA
复制
APA
复制
导出至
BibTeX EndNote RefMan NoteFirst NoteExpress
×
提示
您的信息不完整,为了账户安全,请先补充。
现在去补充
×
提示
您因"违规操作"
具体请查看互助需知
我知道了
×
提示
确定
请完成安全验证×
copy
已复制链接
快去分享给好友吧!
我知道了
右上角分享
点击右上角分享
0
联系我们:info@booksci.cn Book学术提供免费学术资源搜索服务,方便国内外学者检索中英文文献。致力于提供最便捷和优质的服务体验。 Copyright © 2023 布克学术 All rights reserved.
京ICP备2023020795号-1
ghs 京公网安备 11010802042870号
Book学术文献互助
Book学术文献互助群
群 号:604180095
Book学术官方微信