Paradoxical Coronary Embolism Leading to ST-segment Elevation Myocardial Infarction in a Patient with Caval Thrombosis.

IF 1 Q4 CARDIAC & CARDIOVASCULAR SYSTEMS
Journal of Cardiovascular Echography Pub Date : 2025-04-01 Epub Date: 2025-07-30 DOI:10.4103/jcecho.jcecho_75_24
Davide Restelli, Riccardo Molinari, Silvia Massaro, Gianluca Tiberti, Andrea Farina, Scipione Carerj
{"title":"Paradoxical Coronary Embolism Leading to ST-segment Elevation Myocardial Infarction in a Patient with Caval Thrombosis.","authors":"Davide Restelli, Riccardo Molinari, Silvia Massaro, Gianluca Tiberti, Andrea Farina, Scipione Carerj","doi":"10.4103/jcecho.jcecho_75_24","DOIUrl":null,"url":null,"abstract":"<p><p>We present a case of a 48-year-old man with an atypical type 2 myocardial infarction (MI)/myocardial infarction with nonobstructive coronary arteries, caused by a coronary embolism originating from the inferior vena cava and passing through a patent foramen ovale (PFO). The patient presented to the emergency department with oppressive retrosternal chest pain. His medical history included papillary renal cell carcinoma and seminoma with recent abdominal lymph node recurrence. The electrocardiogram indicated an inferolateral ST-segment elevation (STE), prompting emergency coronary angiography, that revealed distal occlusion of the circumflex artery and the obtuse marginal branch, suggesting an embolic etiology. Stent placement was deferred, and the management approach involved thromboaspiration and unfractionated heparin infusion. Abdominal imaging identified a thrombotic formation in the inferior vena cava and a transesophageal echocardiogram revealed a PFO with a right-to-left shunt, supporting the diagnosis of a paradoxical embolism. Follow-up coronary angiography showed vessel patency, and the patient was then treated with low-molecular-weight heparin. This case underscores the importance of considering alternative etiologies for STE myocardial infarction beyond acute plaque rupture, highlighting the need for individualized management strategies, particularly in patients with complex medical histories, and given the lack of standardized treatment guidelines for coronary embolism.</p>","PeriodicalId":15191,"journal":{"name":"Journal of Cardiovascular Echography","volume":"35 2","pages":"165-168"},"PeriodicalIF":1.0000,"publicationDate":"2025-04-01","publicationTypes":"Journal Article","fieldsOfStudy":null,"isOpenAccess":false,"openAccessPdf":"https://www.ncbi.nlm.nih.gov/pmc/articles/PMC12425241/pdf/","citationCount":"0","resultStr":null,"platform":"Semanticscholar","paperid":null,"PeriodicalName":"Journal of Cardiovascular Echography","FirstCategoryId":"1085","ListUrlMain":"https://doi.org/10.4103/jcecho.jcecho_75_24","RegionNum":0,"RegionCategory":null,"ArticlePicture":[],"TitleCN":null,"AbstractTextCN":null,"PMCID":null,"EPubDate":"2025/7/30 0:00:00","PubModel":"Epub","JCR":"Q4","JCRName":"CARDIAC & CARDIOVASCULAR SYSTEMS","Score":null,"Total":0}
引用次数: 0

Abstract

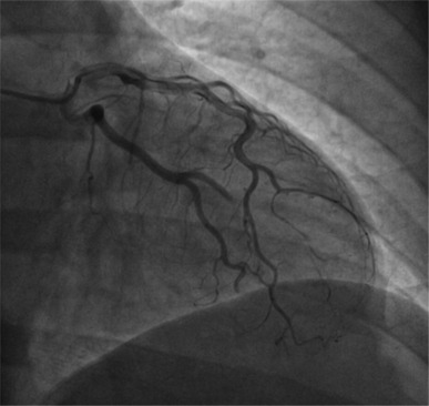
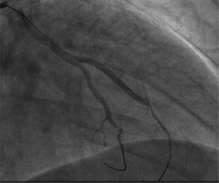
We present a case of a 48-year-old man with an atypical type 2 myocardial infarction (MI)/myocardial infarction with nonobstructive coronary arteries, caused by a coronary embolism originating from the inferior vena cava and passing through a patent foramen ovale (PFO). The patient presented to the emergency department with oppressive retrosternal chest pain. His medical history included papillary renal cell carcinoma and seminoma with recent abdominal lymph node recurrence. The electrocardiogram indicated an inferolateral ST-segment elevation (STE), prompting emergency coronary angiography, that revealed distal occlusion of the circumflex artery and the obtuse marginal branch, suggesting an embolic etiology. Stent placement was deferred, and the management approach involved thromboaspiration and unfractionated heparin infusion. Abdominal imaging identified a thrombotic formation in the inferior vena cava and a transesophageal echocardiogram revealed a PFO with a right-to-left shunt, supporting the diagnosis of a paradoxical embolism. Follow-up coronary angiography showed vessel patency, and the patient was then treated with low-molecular-weight heparin. This case underscores the importance of considering alternative etiologies for STE myocardial infarction beyond acute plaque rupture, highlighting the need for individualized management strategies, particularly in patients with complex medical histories, and given the lack of standardized treatment guidelines for coronary embolism.

Abstract Image

Abstract Image

Abstract Image

异位冠状动脉栓塞导致腔静脉血栓患者st段抬高型心肌梗死。
我们报告一例48岁男性非典型2型心肌梗死(MI)/非阻塞性冠状动脉心肌梗死,由起源于下腔静脉并通过卵圆孔未闭(PFO)的冠状动脉栓塞引起。患者以压迫性胸骨后胸痛就诊于急诊科。病史包括乳头状肾细胞癌和精原细胞瘤,近期腹部淋巴结复发。心电图显示外侧st段抬高(STE),提示紧急冠状动脉造影,显示远端旋动脉和钝缘支闭塞,提示栓塞病因。支架放置被推迟,治疗方法包括血栓抽吸和不分段肝素输注。腹部成像发现下腔静脉血栓形成,经食管超声心动图显示PFO伴右至左分流,支持悖论性栓塞的诊断。随访的冠状动脉造影显示血管通畅,患者随后接受低分子肝素治疗。该病例强调了考虑急性斑块破裂以外STE心肌梗死的其他病因的重要性,强调了个性化管理策略的必要性,特别是对于具有复杂病史的患者,并且考虑到缺乏标准化的冠状动脉栓塞治疗指南。
本文章由计算机程序翻译,如有差异,请以英文原文为准。
求助全文
约1分钟内获得全文 求助全文
来源期刊
Journal of Cardiovascular Echography
Journal of Cardiovascular Echography CARDIAC & CARDIOVASCULAR SYSTEMS-
CiteScore
1.40
自引率
12.50%
发文量
27
×
引用
GB/T 7714-2015
复制
MLA
复制
APA
复制
导出至
BibTeX EndNote RefMan NoteFirst NoteExpress
×
提示
您的信息不完整,为了账户安全,请先补充。
现在去补充
×
提示
您因"违规操作"
具体请查看互助需知
我知道了
×
提示
确定
请完成安全验证×
copy
已复制链接
快去分享给好友吧!
我知道了
右上角分享
点击右上角分享
0
联系我们:info@booksci.cn Book学术提供免费学术资源搜索服务,方便国内外学者检索中英文文献。致力于提供最便捷和优质的服务体验。 Copyright © 2023 布克学术 All rights reserved.
京ICP备2023020795号-1
ghs 京公网安备 11010802042870号
Book学术文献互助
Book学术文献互助群
群 号:604180095
Book学术官方微信