An Incomplete Anterolateral Papillary Muscle Rupture in Patient with Suspected Septic Shock.

IF 1 Q4 CARDIAC & CARDIOVASCULAR SYSTEMS
Journal of Cardiovascular Echography Pub Date : 2025-04-01 Epub Date: 2025-07-30 DOI:10.4103/jcecho.jcecho_82_24
Aurora Paraninfi, Giuseppe Colonna, Salvatore Zaccaria, Cosimo Angelo Greco
{"title":"An Incomplete Anterolateral Papillary Muscle Rupture in Patient with Suspected Septic Shock.","authors":"Aurora Paraninfi, Giuseppe Colonna, Salvatore Zaccaria, Cosimo Angelo Greco","doi":"10.4103/jcecho.jcecho_82_24","DOIUrl":null,"url":null,"abstract":"<p><p>Papillary muscle rupture (PMR) is a cardiac surgical emergency, and early treatment is associated with better short- and long-term survival outcomes. The sensitivity of the transthoracic echocardiogram for PMR is rather low (65%), and in acute, the diagnosis could be difficult given the clinical, laboratory, and radiological aspects not specific for the disease. We report a case of incomplete anterolateral PMR in a patient admitted to intensive care with bilateral pneumonia and septic shock. Transesophageal echocardiogram was fundamental for a better visualization of mitral subvalvular apparatus, allowing a correct diagnosis and a tempestive treatment.</p>","PeriodicalId":15191,"journal":{"name":"Journal of Cardiovascular Echography","volume":"35 2","pages":"169-172"},"PeriodicalIF":1.0000,"publicationDate":"2025-04-01","publicationTypes":"Journal Article","fieldsOfStudy":null,"isOpenAccess":false,"openAccessPdf":"https://www.ncbi.nlm.nih.gov/pmc/articles/PMC12425260/pdf/","citationCount":"0","resultStr":null,"platform":"Semanticscholar","paperid":null,"PeriodicalName":"Journal of Cardiovascular Echography","FirstCategoryId":"1085","ListUrlMain":"https://doi.org/10.4103/jcecho.jcecho_82_24","RegionNum":0,"RegionCategory":null,"ArticlePicture":[],"TitleCN":null,"AbstractTextCN":null,"PMCID":null,"EPubDate":"2025/7/30 0:00:00","PubModel":"Epub","JCR":"Q4","JCRName":"CARDIAC & CARDIOVASCULAR SYSTEMS","Score":null,"Total":0}
引用次数: 0

Abstract

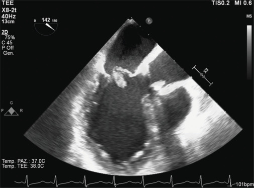
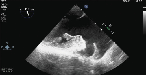
Papillary muscle rupture (PMR) is a cardiac surgical emergency, and early treatment is associated with better short- and long-term survival outcomes. The sensitivity of the transthoracic echocardiogram for PMR is rather low (65%), and in acute, the diagnosis could be difficult given the clinical, laboratory, and radiological aspects not specific for the disease. We report a case of incomplete anterolateral PMR in a patient admitted to intensive care with bilateral pneumonia and septic shock. Transesophageal echocardiogram was fundamental for a better visualization of mitral subvalvular apparatus, allowing a correct diagnosis and a tempestive treatment.

Abstract Image

Abstract Image

Abstract Image

怀疑感染性休克患者不完全前外侧乳头肌破裂。
乳头状肌破裂(PMR)是一种心脏外科急诊,早期治疗与较好的短期和长期生存结果相关。经胸超声心动图对PMR的敏感性相当低(65%),在急性期,由于临床、实验室和放射学方面的原因,诊断可能很困难。我们报告一例不完全前外侧PMR患者入院重症监护双侧肺炎和感染性休克。经食管超声心动图是更好地显示二尖瓣下器官的基础,允许正确的诊断和快速治疗。
本文章由计算机程序翻译,如有差异,请以英文原文为准。
求助全文
约1分钟内获得全文 求助全文
来源期刊
Journal of Cardiovascular Echography
Journal of Cardiovascular Echography CARDIAC & CARDIOVASCULAR SYSTEMS-
CiteScore
1.40
自引率
12.50%
发文量
27
×
引用
GB/T 7714-2015
复制
MLA
复制
APA
复制
导出至
BibTeX EndNote RefMan NoteFirst NoteExpress
×
提示
您的信息不完整,为了账户安全,请先补充。
现在去补充
×
提示
您因"违规操作"
具体请查看互助需知
我知道了
×
提示
确定
请完成安全验证×
copy
已复制链接
快去分享给好友吧!
我知道了
右上角分享
点击右上角分享
0
联系我们:info@booksci.cn Book学术提供免费学术资源搜索服务,方便国内外学者检索中英文文献。致力于提供最便捷和优质的服务体验。 Copyright © 2023 布克学术 All rights reserved.
京ICP备2023020795号-1
ghs 京公网安备 11010802042870号
Book学术文献互助
Book学术文献互助群
群 号:604180095
Book学术官方微信