Chylothorax as a rare complication of COVID-19: a case report.

IF 2.1 Q3 MEDICINE, RESEARCH & EXPERIMENTAL
Future Science OA Pub Date : 2025-12-01 Epub Date: 2025-09-15 DOI:10.1080/20565623.2025.2560267
Asma Knaz, Iteb Ben Limem, Sana Aissa, Amina Abdelkbir, Adel Marghli, Ahmed Abdelghani
{"title":"Chylothorax as a rare complication of COVID-19: a case report.","authors":"Asma Knaz, Iteb Ben Limem, Sana Aissa, Amina Abdelkbir, Adel Marghli, Ahmed Abdelghani","doi":"10.1080/20565623.2025.2560267","DOIUrl":null,"url":null,"abstract":"<p><p>Chylothorax is an uncommon cause of pleural effusion, most often associated with malignancy, trauma, or thoracic duct obstruction. Its occurrence following SARS-CoV-2 infection is exceptional. The present case report describes a 53-year-old woman who was admitted to the pneumology department complaining of chronic dry cough with a medical history of type II diabetes and SARS-CoV-2 infection one month ago. Physical examination revealed decreased vesicular breath sounds at the left lung base. A chest X-ray revealed a left pleural effusion and thoracentesis confirmed chylothorax. This case highlights chylothorax as a rare but possible complication of COVID-19, potentially caused by inflammation and thoracic duct disruption in the absence of thrombosis. It emphasizes the importance of considering chylothorax in the differential diagnosis of unexplained pleural effusions following SARS-CoV-2 infection.</p>","PeriodicalId":12568,"journal":{"name":"Future Science OA","volume":"11 1","pages":"2560267"},"PeriodicalIF":2.1000,"publicationDate":"2025-12-01","publicationTypes":"Journal Article","fieldsOfStudy":null,"isOpenAccess":false,"openAccessPdf":"https://www.ncbi.nlm.nih.gov/pmc/articles/PMC12439548/pdf/","citationCount":"0","resultStr":null,"platform":"Semanticscholar","paperid":null,"PeriodicalName":"Future Science OA","FirstCategoryId":"1085","ListUrlMain":"https://doi.org/10.1080/20565623.2025.2560267","RegionNum":0,"RegionCategory":null,"ArticlePicture":[],"TitleCN":null,"AbstractTextCN":null,"PMCID":null,"EPubDate":"2025/9/15 0:00:00","PubModel":"Epub","JCR":"Q3","JCRName":"MEDICINE, RESEARCH & EXPERIMENTAL","Score":null,"Total":0}
引用次数: 0

Abstract

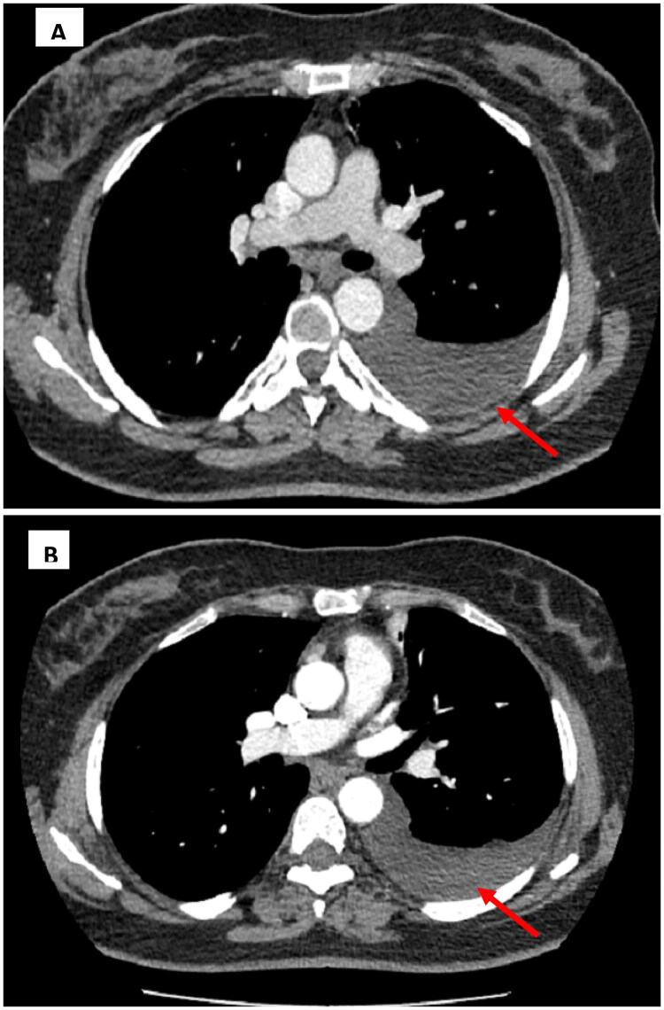
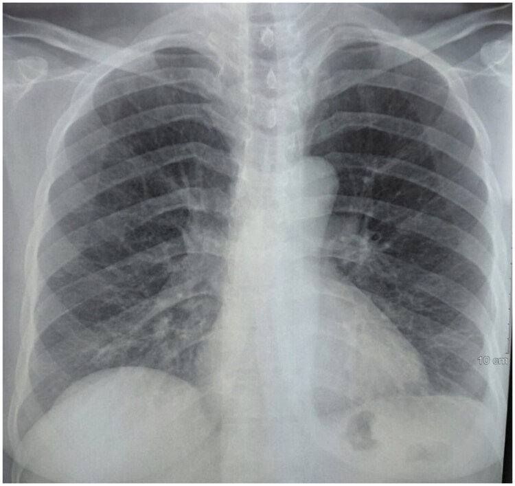
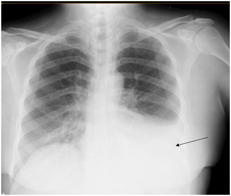
Chylothorax is an uncommon cause of pleural effusion, most often associated with malignancy, trauma, or thoracic duct obstruction. Its occurrence following SARS-CoV-2 infection is exceptional. The present case report describes a 53-year-old woman who was admitted to the pneumology department complaining of chronic dry cough with a medical history of type II diabetes and SARS-CoV-2 infection one month ago. Physical examination revealed decreased vesicular breath sounds at the left lung base. A chest X-ray revealed a left pleural effusion and thoracentesis confirmed chylothorax. This case highlights chylothorax as a rare but possible complication of COVID-19, potentially caused by inflammation and thoracic duct disruption in the absence of thrombosis. It emphasizes the importance of considering chylothorax in the differential diagnosis of unexplained pleural effusions following SARS-CoV-2 infection.

Abstract Image

Abstract Image

Abstract Image

乳糜胸作为COVID-19的罕见并发症:1例报告。
乳糜胸是一种罕见的胸腔积液的原因,最常与恶性肿瘤,创伤,或胸导管阻塞有关。它在SARS-CoV-2感染后发生是罕见的。本病例报告描述了一名53岁女性,一个月前因慢性干咳就诊于肺炎科,既往有2型糖尿病和SARS-CoV-2感染病史。体格检查显示左肺底水疱性呼吸音减少。胸部x光显示左侧胸腔积液,胸腔穿刺证实乳糜胸。乳糜胸是一种罕见但可能的COVID-19并发症,可能由炎症和无血栓形成的胸导管中断引起。强调在SARS-CoV-2感染后不明原因胸腔积液的鉴别诊断中考虑乳糜胸的重要性。
本文章由计算机程序翻译,如有差异,请以英文原文为准。
求助全文
约1分钟内获得全文 求助全文
来源期刊
Future Science OA
Future Science OA MEDICINE, RESEARCH & EXPERIMENTAL-
CiteScore
5.00
自引率
4.00%
发文量
48
审稿时长
13 weeks
期刊介绍: Future Science OA is an online, open access, peer-reviewed title from the Future Science Group. The journal covers research and discussion related to advances in biotechnology, medicine and health. The journal embraces the importance of publishing all good-quality research with the potential to further the progress of research in these fields. All original research articles will be considered that are within the journal''s scope, and have been conducted with scientific rigour and research integrity. The journal also features review articles, editorials and perspectives, providing readers with a leading source of commentary and analysis. Submissions of the following article types will be considered: -Research articles -Preliminary communications -Short communications -Methodologies -Trial design articles -Trial results (including early-phase and negative studies) -Reviews -Perspectives -Commentaries
×
引用
GB/T 7714-2015
复制
MLA
复制
APA
复制
导出至
BibTeX EndNote RefMan NoteFirst NoteExpress
×
提示
您的信息不完整,为了账户安全,请先补充。
现在去补充
×
提示
您因"违规操作"
具体请查看互助需知
我知道了
×
提示
确定
请完成安全验证×
copy
已复制链接
快去分享给好友吧!
我知道了
右上角分享
点击右上角分享
0
联系我们:info@booksci.cn Book学术提供免费学术资源搜索服务,方便国内外学者检索中英文文献。致力于提供最便捷和优质的服务体验。 Copyright © 2023 布克学术 All rights reserved.
京ICP备2023020795号-1
ghs 京公网安备 11010802042870号
Book学术文献互助
Book学术文献互助群
群 号:604180095
Book学术官方微信