Community-Acquired Chlamydia psittaci Severe Pneumonia: A Case Report.

IF 0.8 Q4 INFECTIOUS DISEASES
Case Reports in Infectious Diseases Pub Date : 2025-09-04 eCollection Date: 2025-01-01 DOI:10.1155/crdi/6627159
Quentin Guillemot, Thomas Clemens, Valentine Inthasot, Bhavna Mahadeb, Evelyne Maillart, Philippe Clevenbergh
{"title":"Community-Acquired <i>Chlamydia psittaci</i> Severe Pneumonia: A Case Report.","authors":"Quentin Guillemot, Thomas Clemens, Valentine Inthasot, Bhavna Mahadeb, Evelyne Maillart, Philippe Clevenbergh","doi":"10.1155/crdi/6627159","DOIUrl":null,"url":null,"abstract":"<p><p><i>Chlamydia psittaci</i>, the causative agent of psittacosis, is an intracellular bacterium typically transmitted from birds to humans, leading to atypical pneumonia. We present a case of a 60-year-old man with no reported bird exposure but a history of working as a chief cook, potentially exposed to poultry. He presented with high fever, diffuse soreness, and left-sided pulmonary consolidation. Initial treatment with β-lactams was ineffective, but a multiplex PCR on bronchoalveolar lavage identified <i>C. psittaci</i> DNA. Therapy was switched to moxifloxacin, resulting in rapid clinical improvement. <i>C. psittaci</i> causes approximately 1% of community-acquired pneumonias, often underdiagnosed due to nonspecific symptoms and the need for advanced diagnostic tools like nucleic acid amplification tests (NAATs) or metagenomic next-generation sequencing (mNGS). The bacterium is endemic in birds and poultry, with human infections linked to occupational exposure or contact with infected animals. Diagnosis relies on NAAT and mNGS, as serology and culture are less practical. Treatment with tetracyclines, quinolones, or macrolides is effective, reducing mortality from 10%-20% to < 1%. Preventive measures, including protective equipment for high-risk individuals and treatment of infected birds, are crucial. Mandatory reporting of cases could improve understanding of the disease burden. This case highlights the importance of considering psittacosis in atypical pneumonia, even without direct bird exposure, and the role of NAAT or mNGS in accurate diagnosis.</p>","PeriodicalId":9608,"journal":{"name":"Case Reports in Infectious Diseases","volume":"2025 ","pages":"6627159"},"PeriodicalIF":0.8000,"publicationDate":"2025-09-04","publicationTypes":"Journal Article","fieldsOfStudy":null,"isOpenAccess":false,"openAccessPdf":"https://www.ncbi.nlm.nih.gov/pmc/articles/PMC12425608/pdf/","citationCount":"0","resultStr":null,"platform":"Semanticscholar","paperid":null,"PeriodicalName":"Case Reports in Infectious Diseases","FirstCategoryId":"1085","ListUrlMain":"https://doi.org/10.1155/crdi/6627159","RegionNum":0,"RegionCategory":null,"ArticlePicture":[],"TitleCN":null,"AbstractTextCN":null,"PMCID":null,"EPubDate":"2025/1/1 0:00:00","PubModel":"eCollection","JCR":"Q4","JCRName":"INFECTIOUS DISEASES","Score":null,"Total":0}
引用次数: 0

Abstract

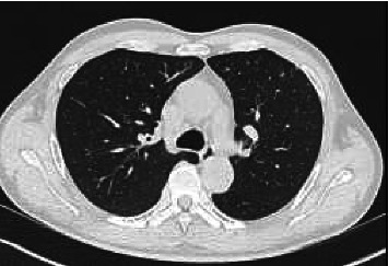
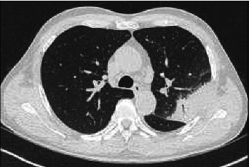
Chlamydia psittaci, the causative agent of psittacosis, is an intracellular bacterium typically transmitted from birds to humans, leading to atypical pneumonia. We present a case of a 60-year-old man with no reported bird exposure but a history of working as a chief cook, potentially exposed to poultry. He presented with high fever, diffuse soreness, and left-sided pulmonary consolidation. Initial treatment with β-lactams was ineffective, but a multiplex PCR on bronchoalveolar lavage identified C. psittaci DNA. Therapy was switched to moxifloxacin, resulting in rapid clinical improvement. C. psittaci causes approximately 1% of community-acquired pneumonias, often underdiagnosed due to nonspecific symptoms and the need for advanced diagnostic tools like nucleic acid amplification tests (NAATs) or metagenomic next-generation sequencing (mNGS). The bacterium is endemic in birds and poultry, with human infections linked to occupational exposure or contact with infected animals. Diagnosis relies on NAAT and mNGS, as serology and culture are less practical. Treatment with tetracyclines, quinolones, or macrolides is effective, reducing mortality from 10%-20% to < 1%. Preventive measures, including protective equipment for high-risk individuals and treatment of infected birds, are crucial. Mandatory reporting of cases could improve understanding of the disease burden. This case highlights the importance of considering psittacosis in atypical pneumonia, even without direct bird exposure, and the role of NAAT or mNGS in accurate diagnosis.

Abstract Image

Abstract Image

社区获得性鹦鹉热衣原体重症肺炎1例报告。
鹦鹉热衣原体是鹦鹉热的病原体,是一种细胞内细菌,通常由鸟类传播给人类,导致非典型肺炎。我们报告一例60岁男性病例,无禽类接触报告,但有厨师工作史,可能接触禽类。他表现为高烧、弥漫性疼痛和左侧肺实变。最初用β-内酰胺治疗无效,但支气管肺泡灌洗多重PCR鉴定出鹦鹉螺DNA。治疗转为莫西沙星,导致临床迅速改善。大约1%的社区获得性肺炎是由鹦鹉螺杆菌引起的,由于非特异性症状和需要先进的诊断工具,如核酸扩增试验(NAATs)或新一代宏基因组测序(mNGS),往往未得到充分诊断。这种细菌在鸟类和家禽中流行,人类感染与职业接触或接触受感染动物有关。诊断依赖于NAAT和mNGS,因为血清学和培养不太实用。用四环素类、喹诺酮类或大环内酯类药物治疗是有效的,可将死亡率从10%-20%降低到< 1%。预防措施至关重要,包括为高风险个人配备防护设备和治疗受感染的禽类。强制报告病例可增进对疾病负担的了解。该病例强调了在非典型肺炎中考虑鹦鹉热的重要性,即使没有直接接触禽类,以及NAAT或mNGS在准确诊断中的作用。
本文章由计算机程序翻译,如有差异,请以英文原文为准。
求助全文
约1分钟内获得全文 求助全文
来源期刊
自引率
0.00%
发文量
64
审稿时长
13 weeks
×
引用
GB/T 7714-2015
复制
MLA
复制
APA
复制
导出至
BibTeX EndNote RefMan NoteFirst NoteExpress
×
提示
您的信息不完整,为了账户安全,请先补充。
现在去补充
×
提示
您因"违规操作"
具体请查看互助需知
我知道了
×
提示
确定
请完成安全验证×
copy
已复制链接
快去分享给好友吧!
我知道了
右上角分享
点击右上角分享
0
联系我们:info@booksci.cn Book学术提供免费学术资源搜索服务,方便国内外学者检索中英文文献。致力于提供最便捷和优质的服务体验。 Copyright © 2023 布克学术 All rights reserved.
京ICP备2023020795号-1
ghs 京公网安备 11010802042870号
Book学术文献互助
Book学术文献互助群
群 号:604180095
Book学术官方微信