Augmenting AMPA receptor signaling after spinal cord injury increases ependymal-derived neural stem/progenitor cell migration and promotes functional recovery

IF 20 1区 医学 Q1 NEUROSCIENCES
Laureen D. Hachem, Homeira Moradi Chameh, Gustavo Balbinot, Andrea J. Mothe, Alain Pacis, Rui Tong Geng Li, Taufik A. Valiante, Wei Lu, Charles H. Tator, Michael G. Fehlings
{"title":"Augmenting AMPA receptor signaling after spinal cord injury increases ependymal-derived neural stem/progenitor cell migration and promotes functional recovery","authors":"Laureen D. Hachem, Homeira Moradi Chameh, Gustavo Balbinot, Andrea J. Mothe, Alain Pacis, Rui Tong Geng Li, Taufik A. Valiante, Wei Lu, Charles H. Tator, Michael G. Fehlings","doi":"10.1038/s41593-025-02044-8","DOIUrl":null,"url":null,"abstract":"Ependymal cells in the adult spinal cord become activated after spinal cord injury (SCI), gaining stem/progenitor cell properties. Although growing evidence has implicated these cells as potential players in the endogenous repair process after injury, their activation to a stem-cell-like state is transient and insufficient for adequate regeneration. Moreover, the drivers of their activation state remain largely unknown. Previous work suggested that AMPA receptors (AMPARs) regulate cultured ependymal-derived neural stem/progenitor cells (epNSPCs). In this study, we identified an AMPAR-dependent mechanism of epNSPC regulation after SCI. Using lineage tracing in adult mice, we demonstrate that conditional knockout of GluA1–GluA3 AMPAR subunits in epNSPCs abolishes glutamate-induced AMPA currents and impairs the acute activation of these cells after SCI. Augmenting AMPAR signaling with the ampakine CX546 alters the transcriptional profile of epNSPCs, maintaining their acute maturation reversal after SCI into the chronic injury period, increasing connexin-43 signaling, promoting their migratory capacity and enhancing ependymal–glial cell contacts, which may contribute to the spatial distribution and migratory pattern of ependymal cells after injury. CX546 treatment ameliorates the subacute decrease in corticospinal tract excitability after SCI and leads to long-term functional improvements. Together, this work identifies a neurotransmitter receptor-dependent mechanism of epNSPC activation after injury, which may be targeted to harness the regenerative potential of the spinal cord. Hachem et al. show that AMPAR signaling drives the acute activation of ependymal-derived neural stem/progenitor cells after spinal cord injury and that this mechanism can be targeted therapeutically to harness the endogenous regenerative potential of the spinal cord.","PeriodicalId":19076,"journal":{"name":"Nature neuroscience","volume":"28 10","pages":"2054-2066"},"PeriodicalIF":20.0000,"publicationDate":"2025-09-15","publicationTypes":"Journal Article","fieldsOfStudy":null,"isOpenAccess":false,"openAccessPdf":"","citationCount":"0","resultStr":null,"platform":"Semanticscholar","paperid":null,"PeriodicalName":"Nature neuroscience","FirstCategoryId":"3","ListUrlMain":"https://www.nature.com/articles/s41593-025-02044-8","RegionNum":1,"RegionCategory":"医学","ArticlePicture":[],"TitleCN":null,"AbstractTextCN":null,"PMCID":null,"EPubDate":"","PubModel":"","JCR":"Q1","JCRName":"NEUROSCIENCES","Score":null,"Total":0}
引用次数: 0

Abstract

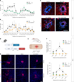
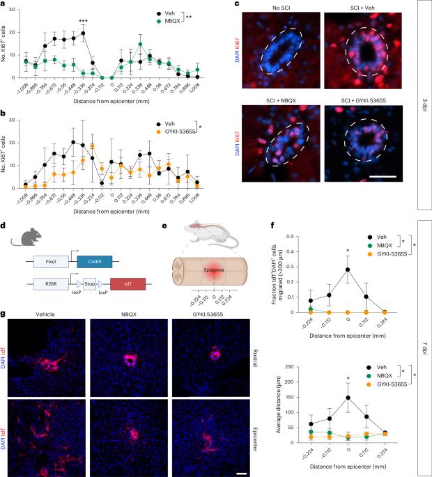
Ependymal cells in the adult spinal cord become activated after spinal cord injury (SCI), gaining stem/progenitor cell properties. Although growing evidence has implicated these cells as potential players in the endogenous repair process after injury, their activation to a stem-cell-like state is transient and insufficient for adequate regeneration. Moreover, the drivers of their activation state remain largely unknown. Previous work suggested that AMPA receptors (AMPARs) regulate cultured ependymal-derived neural stem/progenitor cells (epNSPCs). In this study, we identified an AMPAR-dependent mechanism of epNSPC regulation after SCI. Using lineage tracing in adult mice, we demonstrate that conditional knockout of GluA1–GluA3 AMPAR subunits in epNSPCs abolishes glutamate-induced AMPA currents and impairs the acute activation of these cells after SCI. Augmenting AMPAR signaling with the ampakine CX546 alters the transcriptional profile of epNSPCs, maintaining their acute maturation reversal after SCI into the chronic injury period, increasing connexin-43 signaling, promoting their migratory capacity and enhancing ependymal–glial cell contacts, which may contribute to the spatial distribution and migratory pattern of ependymal cells after injury. CX546 treatment ameliorates the subacute decrease in corticospinal tract excitability after SCI and leads to long-term functional improvements. Together, this work identifies a neurotransmitter receptor-dependent mechanism of epNSPC activation after injury, which may be targeted to harness the regenerative potential of the spinal cord. Hachem et al. show that AMPAR signaling drives the acute activation of ependymal-derived neural stem/progenitor cells after spinal cord injury and that this mechanism can be targeted therapeutically to harness the endogenous regenerative potential of the spinal cord.

Abstract Image

Abstract Image

脊髓损伤后增强AMPA受体信号可增加室管膜源性神经干/祖细胞的迁移并促进功能恢复
成人脊髓室管膜细胞在脊髓损伤(SCI)后被激活,获得干细胞/祖细胞特性。尽管越来越多的证据表明这些细胞在损伤后的内源性修复过程中扮演着潜在的角色,但它们激活到干细胞样状态是短暂的,不足以进行足够的再生。此外,它们激活状态的驱动因素在很大程度上仍然未知。先前的研究表明,AMPA受体(AMPARs)调节培养的室管膜源性神经干细胞/祖细胞(epNSPCs)。在这项研究中,我们确定了脊髓损伤后epNSPC调控的ampar依赖机制。通过对成年小鼠的谱系追踪,我们证明了在epNSPCs中有条件地敲除GluA1-GluA3 AMPAR亚基可以消除谷氨酸诱导的AMPA电流,并损害脊髓损伤后这些细胞的急性激活。用ampakine CX546增强AMPAR信号通路改变epNSPCs的转录谱,维持其在脊髓损伤后进入慢性损伤期的急性成熟逆转,增加连接蛋白43信号通路,促进其迁移能力,增强室管膜细胞与胶质细胞的接触,这可能与损伤后室管膜细胞的空间分布和迁移模式有关。CX546治疗改善了脊髓损伤后皮质脊髓束兴奋性的亚急性下降,并导致长期功能改善。总之,这项工作确定了损伤后epNSPC激活的神经递质受体依赖机制,这可能是利用脊髓再生潜力的目标。
本文章由计算机程序翻译,如有差异,请以英文原文为准。
求助全文
约1分钟内获得全文 求助全文
来源期刊
Nature neuroscience
Nature neuroscience 医学-神经科学
CiteScore
38.60
自引率
1.20%
发文量
212
审稿时长
1 months
期刊介绍: Nature Neuroscience, a multidisciplinary journal, publishes papers of the utmost quality and significance across all realms of neuroscience. The editors welcome contributions spanning molecular, cellular, systems, and cognitive neuroscience, along with psychophysics, computational modeling, and nervous system disorders. While no area is off-limits, studies offering fundamental insights into nervous system function receive priority. The journal offers high visibility to both readers and authors, fostering interdisciplinary communication and accessibility to a broad audience. It maintains high standards of copy editing and production, rigorous peer review, rapid publication, and operates independently from academic societies and other vested interests. In addition to primary research, Nature Neuroscience features news and views, reviews, editorials, commentaries, perspectives, book reviews, and correspondence, aiming to serve as the voice of the global neuroscience community.
×
引用
GB/T 7714-2015
复制
MLA
复制
APA
复制
导出至
BibTeX EndNote RefMan NoteFirst NoteExpress
×
提示
您的信息不完整,为了账户安全,请先补充。
现在去补充
×
提示
您因"违规操作"
具体请查看互助需知
我知道了
×
提示
确定
请完成安全验证×
copy
已复制链接
快去分享给好友吧!
我知道了
右上角分享
点击右上角分享
0
联系我们:info@booksci.cn Book学术提供免费学术资源搜索服务,方便国内外学者检索中英文文献。致力于提供最便捷和优质的服务体验。 Copyright © 2023 布克学术 All rights reserved.
京ICP备2023020795号-1
ghs 京公网安备 11010802042870号
Book学术文献互助
Book学术文献互助群
群 号:604180095
Book学术官方微信