Rare case of extrahepatic biliary obstruction caused by a duodenal foreign body in a cat.

IF 0.7 Q3 VETERINARY SCIENCES
Journal of Feline Medicine and Surgery Open Reports Pub Date : 2025-09-07 eCollection Date: 2025-07-01 DOI:10.1177/20551169251366439
Hyunwook Myung, Ilyong Yun, Jonghyop Lee
{"title":"Rare case of extrahepatic biliary obstruction caused by a duodenal foreign body in a cat.","authors":"Hyunwook Myung, Ilyong Yun, Jonghyop Lee","doi":"10.1177/20551169251366439","DOIUrl":null,"url":null,"abstract":"<p><strong>Case summary: </strong>A spayed female British Shorthair cat aged 1 year and weighing 2.6 kg presented with a 5-day history of vomiting and anorexia. Physical examination revealed icterus, and serum biochemistry showed markedly elevated bilirubin and liver enzyme levels. Abdominal ultrasonography revealed a dilated common bile duct (4 mm), mild gallbladder wall thickening and a round, hyperechoic foreign body located at the major duodenal papilla. A contrast-enhanced CT scan confirmed the presence of a 1.9 cm doughnut-shaped foreign body in the proximal descending duodenum, causing extramural compression of the common bile duct. Exploratory laparotomy and enterotomy were performed to remove the object. The cat recovered uneventfully, with normalisation of biliary parameters within 48 h and resolution of clinical signs by postoperative day 4.</p><p><strong>Relevance and novel information: </strong>This case highlights a rare but surgically treatable cause of extrahepatic biliary obstruction (EHBO) in cats caused by a duodenal foreign body exerting extraluminal compression without intraluminal migration or mucosal invasion. It emphasises the value of cross-sectional imaging and timely surgical intervention in achieving favourable outcomes. To the authors' knowledge, this is the first peer-reviewed report of feline EHBO caused by extramural duodenal compression that was successfully resolved without biliary tract incision.</p>","PeriodicalId":36588,"journal":{"name":"Journal of Feline Medicine and Surgery Open Reports","volume":"11 2","pages":"20551169251366439"},"PeriodicalIF":0.7000,"publicationDate":"2025-09-07","publicationTypes":"Journal Article","fieldsOfStudy":null,"isOpenAccess":false,"openAccessPdf":"https://www.ncbi.nlm.nih.gov/pmc/articles/PMC12417643/pdf/","citationCount":"0","resultStr":null,"platform":"Semanticscholar","paperid":null,"PeriodicalName":"Journal of Feline Medicine and Surgery Open Reports","FirstCategoryId":"1085","ListUrlMain":"https://doi.org/10.1177/20551169251366439","RegionNum":0,"RegionCategory":null,"ArticlePicture":[],"TitleCN":null,"AbstractTextCN":null,"PMCID":null,"EPubDate":"2025/7/1 0:00:00","PubModel":"eCollection","JCR":"Q3","JCRName":"VETERINARY SCIENCES","Score":null,"Total":0}
引用次数: 0

Abstract

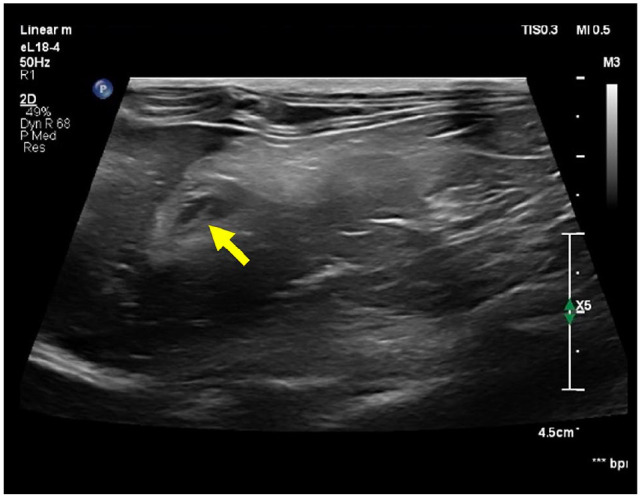
Case summary: A spayed female British Shorthair cat aged 1 year and weighing 2.6 kg presented with a 5-day history of vomiting and anorexia. Physical examination revealed icterus, and serum biochemistry showed markedly elevated bilirubin and liver enzyme levels. Abdominal ultrasonography revealed a dilated common bile duct (4 mm), mild gallbladder wall thickening and a round, hyperechoic foreign body located at the major duodenal papilla. A contrast-enhanced CT scan confirmed the presence of a 1.9 cm doughnut-shaped foreign body in the proximal descending duodenum, causing extramural compression of the common bile duct. Exploratory laparotomy and enterotomy were performed to remove the object. The cat recovered uneventfully, with normalisation of biliary parameters within 48 h and resolution of clinical signs by postoperative day 4.

Relevance and novel information: This case highlights a rare but surgically treatable cause of extrahepatic biliary obstruction (EHBO) in cats caused by a duodenal foreign body exerting extraluminal compression without intraluminal migration or mucosal invasion. It emphasises the value of cross-sectional imaging and timely surgical intervention in achieving favourable outcomes. To the authors' knowledge, this is the first peer-reviewed report of feline EHBO caused by extramural duodenal compression that was successfully resolved without biliary tract incision.

Abstract Image

Abstract Image

Abstract Image

猫因十二指肠异物引起肝外胆道梗阻的罕见病例。
病例总结:一只1岁,体重2.6 kg的雌性英国短毛猫,有5天的呕吐和厌食史。体格检查显示黄疸,血清生化显示胆红素和肝酶水平明显升高。腹部超声显示胆总管扩张(4mm),胆囊壁轻度增厚,位于十二指肠乳头处有一圆形高回声异物。CT增强扫描证实在十二指肠降段近端有一个1.9厘米的甜甜圈状异物,引起胆总管外压迫。探查性剖腹探查和肠切开切除异物。猫恢复平稳,48小时内胆道参数恢复正常,术后第4天临床症状消失。相关性和新信息:本病例强调了一种罕见但手术可治疗的猫肝外胆道梗阻(EHBO),由十二指肠异物施加腔外压迫引起,无腔内迁移或粘膜侵犯。它强调了横断成像和及时手术干预在获得良好结果中的价值。据作者所知,这是首次同行评审的由十二指肠外压迫引起的猫EHBO在没有胆道切开的情况下成功解决的报告。
本文章由计算机程序翻译,如有差异,请以英文原文为准。
求助全文
约1分钟内获得全文 求助全文
来源期刊
CiteScore
1.30
自引率
14.30%
发文量
57
审稿时长
15 weeks
×
引用
GB/T 7714-2015
复制
MLA
复制
APA
复制
导出至
BibTeX EndNote RefMan NoteFirst NoteExpress
×
提示
您的信息不完整,为了账户安全,请先补充。
现在去补充
×
提示
您因"违规操作"
具体请查看互助需知
我知道了
×
提示
确定
请完成安全验证×
copy
已复制链接
快去分享给好友吧!
我知道了
右上角分享
点击右上角分享
0
联系我们:info@booksci.cn Book学术提供免费学术资源搜索服务,方便国内外学者检索中英文文献。致力于提供最便捷和优质的服务体验。 Copyright © 2023 布克学术 All rights reserved.
京ICP备2023020795号-1
ghs 京公网安备 11010802042870号
Book学术文献互助
Book学术文献互助群
群 号:604180095
Book学术官方微信