Continuous Erector Spinae Plane Block for Postoperative Analgesia After Intestinal Resection and Hernia Repair Surgery: A Case Report.

IF 0.7 Q3 MEDICINE, GENERAL & INTERNAL
Gundega Ose, Irina Evansa, Edgars Krivmanis, Natalija Zlobina, Sergejs Klimcuks, Indulis Vanags, Olegs Sabelnikovs, Alain Borgeat
{"title":"Continuous Erector Spinae Plane Block for Postoperative Analgesia After Intestinal Resection and Hernia Repair Surgery: A Case Report.","authors":"Gundega Ose, Irina Evansa, Edgars Krivmanis, Natalija Zlobina, Sergejs Klimcuks, Indulis Vanags, Olegs Sabelnikovs, Alain Borgeat","doi":"10.12659/AJCR.949259","DOIUrl":null,"url":null,"abstract":"<p><p>BACKGROUND Erector spinae plane block is a reliable and efficient analgesic method that can be used when alternatives are ineffective or impractical, and is a possible alternative to epidural anesthesia. This case report details the effective implementation of a continuous bilateral erector spinae plane block in a post-laparotomy patient, addressing the clinical complexities associated with the patient's polymorbidity and, notably, the main challenge of reinitiating anticoagulants postoperatively. CASE REPORT A 64-year-old man was scheduled for a major anterior abdominal wall hernioplasty. The surgery revealed severe complications from the previous hernioplasty, necessitating intestinal resection, and because of the ischemic changes in the sigmoid colon, a sigmoid resection with the creation of anastomoses was performed in addition to the scheduled hernioplasty. After the surgery, the patient was transferred to the Intensive Care Unit (ICU), with severe postoperative pain. Two catheters were placed bilaterally at the Th11 level for erector spinae plane blockade, and a 0.125% bupivacaine infusion was initiated at a rate of 5 ml/h. Despite the need for immediate application of anticoagulants due to the comorbidities of the patient, no complications associated with catheters occurred during the postoperative period. CONCLUSIONS The use of a prolonged ESP block with bilateral catheter insertion is a reliable and efficient approach for providing long-term pain relief in patients following extensive abdominal surgery.</p>","PeriodicalId":39064,"journal":{"name":"American Journal of Case Reports","volume":"26 ","pages":"e949259"},"PeriodicalIF":0.7000,"publicationDate":"2025-09-12","publicationTypes":"Journal Article","fieldsOfStudy":null,"isOpenAccess":false,"openAccessPdf":"https://www.ncbi.nlm.nih.gov/pmc/articles/PMC12439507/pdf/","citationCount":"0","resultStr":null,"platform":"Semanticscholar","paperid":null,"PeriodicalName":"American Journal of Case Reports","FirstCategoryId":"1085","ListUrlMain":"https://doi.org/10.12659/AJCR.949259","RegionNum":0,"RegionCategory":null,"ArticlePicture":[],"TitleCN":null,"AbstractTextCN":null,"PMCID":null,"EPubDate":"","PubModel":"","JCR":"Q3","JCRName":"MEDICINE, GENERAL & INTERNAL","Score":null,"Total":0}
引用次数: 0

Abstract

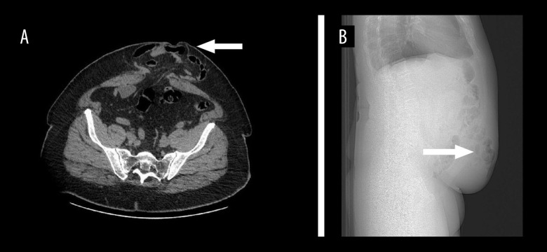
BACKGROUND Erector spinae plane block is a reliable and efficient analgesic method that can be used when alternatives are ineffective or impractical, and is a possible alternative to epidural anesthesia. This case report details the effective implementation of a continuous bilateral erector spinae plane block in a post-laparotomy patient, addressing the clinical complexities associated with the patient's polymorbidity and, notably, the main challenge of reinitiating anticoagulants postoperatively. CASE REPORT A 64-year-old man was scheduled for a major anterior abdominal wall hernioplasty. The surgery revealed severe complications from the previous hernioplasty, necessitating intestinal resection, and because of the ischemic changes in the sigmoid colon, a sigmoid resection with the creation of anastomoses was performed in addition to the scheduled hernioplasty. After the surgery, the patient was transferred to the Intensive Care Unit (ICU), with severe postoperative pain. Two catheters were placed bilaterally at the Th11 level for erector spinae plane blockade, and a 0.125% bupivacaine infusion was initiated at a rate of 5 ml/h. Despite the need for immediate application of anticoagulants due to the comorbidities of the patient, no complications associated with catheters occurred during the postoperative period. CONCLUSIONS The use of a prolonged ESP block with bilateral catheter insertion is a reliable and efficient approach for providing long-term pain relief in patients following extensive abdominal surgery.

Abstract Image

Abstract Image

Abstract Image

连续竖脊肌平面阻滞用于肠切除术和疝修补术后镇痛1例报告。
背景:竖脊肌平面阻滞是一种可靠、有效的镇痛方法,可用于其他麻醉无效或不可行的情况,是硬膜外麻醉的一种可能的替代方法。本病例报告详细介绍了剖腹手术后患者连续双侧竖脊肌平面阻滞的有效实施,解决了与患者多发性疾病相关的临床复杂性,特别是术后重新启动抗凝药物的主要挑战。病例报告一名64岁的男性被安排进行前腹壁疝成形术。手术显示先前疝成形术的严重并发症,需要肠切除术,并且由于乙状结肠的缺血性改变,在预定的疝成形术之外进行乙状结肠切除术并建立吻合口。手术后,患者被转移到重症监护病房(ICU),术后疼痛严重。在Th11水平双侧放置两根导管阻断竖脊平面,并以5ml /h的速率开始0.125%布比卡因输注。尽管由于患者的合并症需要立即应用抗凝血剂,但在术后期间未发生与导管相关的并发症。结论:延长ESP阻滞并双侧置管是一种可靠、有效的方法,可为腹部大范围手术后患者提供长期疼痛缓解。
本文章由计算机程序翻译,如有差异,请以英文原文为准。
求助全文
约1分钟内获得全文 求助全文
来源期刊
American Journal of Case Reports
American Journal of Case Reports Medicine-Medicine (all)
CiteScore
1.80
自引率
0.00%
发文量
599
期刊介绍: American Journal of Case Reports is an international, peer-reviewed scientific journal that publishes single and series case reports in all medical fields. American Journal of Case Reports is issued on a continuous basis as a primary electronic journal. Print copies of a single article or a set of articles can be ordered on demand.
×
引用
GB/T 7714-2015
复制
MLA
复制
APA
复制
导出至
BibTeX EndNote RefMan NoteFirst NoteExpress
×
提示
您的信息不完整,为了账户安全,请先补充。
现在去补充
×
提示
您因"违规操作"
具体请查看互助需知
我知道了
×
提示
确定
请完成安全验证×
copy
已复制链接
快去分享给好友吧!
我知道了
右上角分享
点击右上角分享
0
联系我们:info@booksci.cn Book学术提供免费学术资源搜索服务,方便国内外学者检索中英文文献。致力于提供最便捷和优质的服务体验。 Copyright © 2023 布克学术 All rights reserved.
京ICP备2023020795号-1
ghs 京公网安备 11010802042870号
Book学术文献互助
Book学术文献互助群
群 号:604180095
Book学术官方微信