Endoscope-assisted resection of second branchial cleft fistula via the anterior chest approach.

IF 1.4 Q2 Medicine
World Journal of OtorhinolaryngologyHead and Neck Surgery Pub Date : 2024-12-15 eCollection Date: 2025-09-01 DOI:10.1002/wjo2.227
Ping Han, Jing-Yi Wang, Fa-Ya Liang, Pei-Liang Lin, Ren-Hui Chen, Xiao-Ming Huang
{"title":"Endoscope-assisted resection of second branchial cleft fistula via the anterior chest approach.","authors":"Ping Han, Jing-Yi Wang, Fa-Ya Liang, Pei-Liang Lin, Ren-Hui Chen, Xiao-Ming Huang","doi":"10.1002/wjo2.227","DOIUrl":null,"url":null,"abstract":"<p><strong>Objectives: </strong>Traditional resection of second branchial cleft fistulas (SBCFs) involves a transcervical incision in the neck, which leaves a prominent scar; therefore, endoscope-assisted excision of SBCFs through the anterior chest approach has been proposed. To introduce endoscope-assisted excision of SBCFs via the anterior chest approach and to evaluate its feasibility, validity, safety, and clinical results.</p><p><strong>Methods: </strong>This was a study of four patients with SBCFs who underwent surgical resection with the assistance of endoscopy via the anterior chest approach between May 2012 and May 2018.</p><p><strong>Results: </strong>All procedures were successfully performed with endoscope-assisted surgery via the anterior chest approach. The volume of blood loss ranged from 5 to 10 mL (median 6 ml). The operating time ranged from 45 to 67 min (median 50 min). No patients presented evidence of long-term complications or recurrence during the median follow-up period of 72-144 months (median 99 months). All patients were satisfied with the cosmetic outcomes.</p><p><strong>Conclusions: </strong>Endoscope-assisted resection of SBCFs via the anterior chest approach is feasible, effective, and safe and has better esthetic effects. Therefore, SBCF surgery via the anterior chest approach could be a novel and superior treatment option for patients with SBCFs.</p>","PeriodicalId":32097,"journal":{"name":"World Journal of OtorhinolaryngologyHead and Neck Surgery","volume":"11 3","pages":"406-411"},"PeriodicalIF":1.4000,"publicationDate":"2024-12-15","publicationTypes":"Journal Article","fieldsOfStudy":null,"isOpenAccess":false,"openAccessPdf":"https://www.ncbi.nlm.nih.gov/pmc/articles/PMC12418354/pdf/","citationCount":"0","resultStr":null,"platform":"Semanticscholar","paperid":null,"PeriodicalName":"World Journal of OtorhinolaryngologyHead and Neck Surgery","FirstCategoryId":"3","ListUrlMain":"https://doi.org/10.1002/wjo2.227","RegionNum":0,"RegionCategory":null,"ArticlePicture":[],"TitleCN":null,"AbstractTextCN":null,"PMCID":null,"EPubDate":"2025/9/1 0:00:00","PubModel":"eCollection","JCR":"Q2","JCRName":"Medicine","Score":null,"Total":0}
引用次数: 0

Abstract

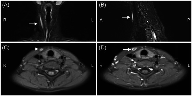
Objectives: Traditional resection of second branchial cleft fistulas (SBCFs) involves a transcervical incision in the neck, which leaves a prominent scar; therefore, endoscope-assisted excision of SBCFs through the anterior chest approach has been proposed. To introduce endoscope-assisted excision of SBCFs via the anterior chest approach and to evaluate its feasibility, validity, safety, and clinical results.

Methods: This was a study of four patients with SBCFs who underwent surgical resection with the assistance of endoscopy via the anterior chest approach between May 2012 and May 2018.

Results: All procedures were successfully performed with endoscope-assisted surgery via the anterior chest approach. The volume of blood loss ranged from 5 to 10 mL (median 6 ml). The operating time ranged from 45 to 67 min (median 50 min). No patients presented evidence of long-term complications or recurrence during the median follow-up period of 72-144 months (median 99 months). All patients were satisfied with the cosmetic outcomes.

Conclusions: Endoscope-assisted resection of SBCFs via the anterior chest approach is feasible, effective, and safe and has better esthetic effects. Therefore, SBCF surgery via the anterior chest approach could be a novel and superior treatment option for patients with SBCFs.

Abstract Image

Abstract Image

Abstract Image

经前胸入路内镜辅助切除第二鳃裂瘘。
目的:传统的第二鳃裂瘘(SBCFs)切除术涉及颈部经颈切口,留下明显的疤痕;因此,内镜辅助下经前胸入路切除SBCFs已被提出。目的介绍内窥镜辅助下经胸前路行SBCFs切除术的方法,并评价其可行性、有效性、安全性和临床效果。方法:这是一项对2012年5月至2018年5月期间通过前胸入路在内窥镜辅助下进行手术切除的4例SBCFs患者的研究。结果:所有手术均经前胸入路内镜辅助手术成功。失血量为5 ~ 10ml(中位数为6ml)。手术时间45 ~ 67 min(中位50 min)。中位随访72 ~ 144个月(中位随访99个月),无患者出现长期并发症或复发。所有患者均对美容效果满意。结论:内镜下经胸前路行SBCFs切除术可行、有效、安全,具有较好的美学效果。因此,经前胸入路的SBCF手术可能是SBCF患者的一种新颖而优越的治疗选择。
本文章由计算机程序翻译,如有差异,请以英文原文为准。
求助全文
约1分钟内获得全文 求助全文
来源期刊
CiteScore
4.10
自引率
0.00%
发文量
283
审稿时长
13 weeks
×
引用
GB/T 7714-2015
复制
MLA
复制
APA
复制
导出至
BibTeX EndNote RefMan NoteFirst NoteExpress
×
提示
您的信息不完整,为了账户安全,请先补充。
现在去补充
×
提示
您因"违规操作"
具体请查看互助需知
我知道了
×
提示
确定
请完成安全验证×
copy
已复制链接
快去分享给好友吧!
我知道了
右上角分享
点击右上角分享
0
联系我们:info@booksci.cn Book学术提供免费学术资源搜索服务,方便国内外学者检索中英文文献。致力于提供最便捷和优质的服务体验。 Copyright © 2023 布克学术 All rights reserved.
京ICP备2023020795号-1
ghs 京公网安备 11010802042870号
Book学术文献互助
Book学术文献互助群
群 号:604180095
Book学术官方微信