Effectiveness of customized healing abutments in immediate implants: a randomized clinical trial.

IF 1.3 4区 医学 Q3 DENTISTRY, ORAL SURGERY & MEDICINE
Brazilian oral research Pub Date : 2025-09-08 eCollection Date: 2025-01-01 DOI:10.1590/1807-3107bor-2025.vol39.084
Mauro Dal Zot Dutra, João Paulo DE Carli, Felipe Gomes Dallepiane, Julia Cadorim Facenda, Paulo Renato Pulga da Silva, Yuri Dal Bello, Letícia Copatti DOGENSKi, Marielle Bazzo DI Domenico, Pedro Henrique Corazza
{"title":"Effectiveness of customized healing abutments in immediate implants: a randomized clinical trial.","authors":"Mauro Dal Zot Dutra, João Paulo DE Carli, Felipe Gomes Dallepiane, Julia Cadorim Facenda, Paulo Renato Pulga da Silva, Yuri Dal Bello, Letícia Copatti DOGENSKi, Marielle Bazzo DI Domenico, Pedro Henrique Corazza","doi":"10.1590/1807-3107bor-2025.vol39.084","DOIUrl":null,"url":null,"abstract":"<p><p>This study evaluated the influence of a customized healing abutment (CHA) placed on immediate implants. It also assessed bone ridge volume, keratinized mucosal collar, and postoperative pain. Thirty-one patients needing tooth extraction and immediate implant were selected. Gingival papilla height, bone ridge volume, and keratinized mucosal collar thickness were measured using a millimeter periodontal probe and a dry-point caliper. A visual analog scale (VAS) was applied to determine postoperative pain. Study participants were randomly assigned to a control group (n = 15, with extraction, immediate implant placement, alveolar gap filling with a bovine bone graft, PTFE barrier, and suture) and an experimental group (n = 16, with extraction, immediate implant placement, gap filling with a bovine bone graft, and CHA). The healing abutments were prepared before surgery and customized during the procedure. The data were tabulated and statistically analyzed using the Mann-Whitney test (α = 0.05). The \"changes in the papilla\" outcome presented a statistical difference, and the control group showed higher values than those of the experimental group (p = 0.04). The remaining characteristics demonstrated no statistical differences between the groups (p > 0.05). CHA and the barriers exhibited similar behavior in maintaining bone ridge and keratinized mucosal thickness. CHA proved more effective than the conventional barrier in preserving the gingival papilla, with the distance measured three months post-surgery averaging 17% greater than the pre-surgical measurement.</p>","PeriodicalId":9240,"journal":{"name":"Brazilian oral research","volume":"39 ","pages":"e084"},"PeriodicalIF":1.3000,"publicationDate":"2025-09-08","publicationTypes":"Journal Article","fieldsOfStudy":null,"isOpenAccess":false,"openAccessPdf":"https://www.ncbi.nlm.nih.gov/pmc/articles/PMC12419190/pdf/","citationCount":"0","resultStr":null,"platform":"Semanticscholar","paperid":null,"PeriodicalName":"Brazilian oral research","FirstCategoryId":"3","ListUrlMain":"https://doi.org/10.1590/1807-3107bor-2025.vol39.084","RegionNum":4,"RegionCategory":"医学","ArticlePicture":[],"TitleCN":null,"AbstractTextCN":null,"PMCID":null,"EPubDate":"2025/1/1 0:00:00","PubModel":"eCollection","JCR":"Q3","JCRName":"DENTISTRY, ORAL SURGERY & MEDICINE","Score":null,"Total":0}
引用次数: 0

Abstract

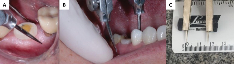
This study evaluated the influence of a customized healing abutment (CHA) placed on immediate implants. It also assessed bone ridge volume, keratinized mucosal collar, and postoperative pain. Thirty-one patients needing tooth extraction and immediate implant were selected. Gingival papilla height, bone ridge volume, and keratinized mucosal collar thickness were measured using a millimeter periodontal probe and a dry-point caliper. A visual analog scale (VAS) was applied to determine postoperative pain. Study participants were randomly assigned to a control group (n = 15, with extraction, immediate implant placement, alveolar gap filling with a bovine bone graft, PTFE barrier, and suture) and an experimental group (n = 16, with extraction, immediate implant placement, gap filling with a bovine bone graft, and CHA). The healing abutments were prepared before surgery and customized during the procedure. The data were tabulated and statistically analyzed using the Mann-Whitney test (α = 0.05). The "changes in the papilla" outcome presented a statistical difference, and the control group showed higher values than those of the experimental group (p = 0.04). The remaining characteristics demonstrated no statistical differences between the groups (p > 0.05). CHA and the barriers exhibited similar behavior in maintaining bone ridge and keratinized mucosal thickness. CHA proved more effective than the conventional barrier in preserving the gingival papilla, with the distance measured three months post-surgery averaging 17% greater than the pre-surgical measurement.

Abstract Image

Abstract Image

Abstract Image

即刻种植定制愈合基台的有效性:一项随机临床试验。
本研究评估了定制愈合基台(CHA)对即刻种植体的影响。它还评估了骨脊体积、角化的粘膜领和术后疼痛。选择31例需要拔牙即刻种植的患者。使用毫米牙周探针和干点卡尺测量牙龈乳头高度、骨脊体积和角化粘膜领厚度。采用视觉模拟评分法(VAS)评估术后疼痛。研究参与者被随机分配到对照组(n = 15,拔牙、立即种植、用牛骨移植物、聚四氟乙烯屏障和缝合填充牙槽间隙)和实验组(n = 16,拔牙、立即种植、用牛骨移植物和CHA填充间隙)。修复基台术前准备,术中定制。将数据制成表格,采用Mann-Whitney检验进行统计学分析(α = 0.05)。“乳头变化”结果有统计学差异,对照组高于实验组(p = 0.04)。其余特征组间差异无统计学意义(p < 0.05)。CHA和屏障在维持骨脊和角质化的粘膜厚度方面表现出相似的行为。CHA在保存牙龈乳头方面比传统屏障更有效,术后3个月测量的距离平均比术前测量的距离大17%。
本文章由计算机程序翻译,如有差异,请以英文原文为准。
求助全文
约1分钟内获得全文 求助全文
来源期刊
CiteScore
3.70
自引率
4.00%
发文量
107
审稿时长
12 weeks
×
引用
GB/T 7714-2015
复制
MLA
复制
APA
复制
导出至
BibTeX EndNote RefMan NoteFirst NoteExpress
×
提示
您的信息不完整,为了账户安全,请先补充。
现在去补充
×
提示
您因"违规操作"
具体请查看互助需知
我知道了
×
提示
确定
请完成安全验证×
copy
已复制链接
快去分享给好友吧!
我知道了
右上角分享
点击右上角分享
0
联系我们:info@booksci.cn Book学术提供免费学术资源搜索服务,方便国内外学者检索中英文文献。致力于提供最便捷和优质的服务体验。 Copyright © 2023 布克学术 All rights reserved.
京ICP备2023020795号-1
ghs 京公网安备 11010802042870号
Book学术文献互助
Book学术文献互助群
群 号:604180095
Book学术官方微信